Catalog# HA721313
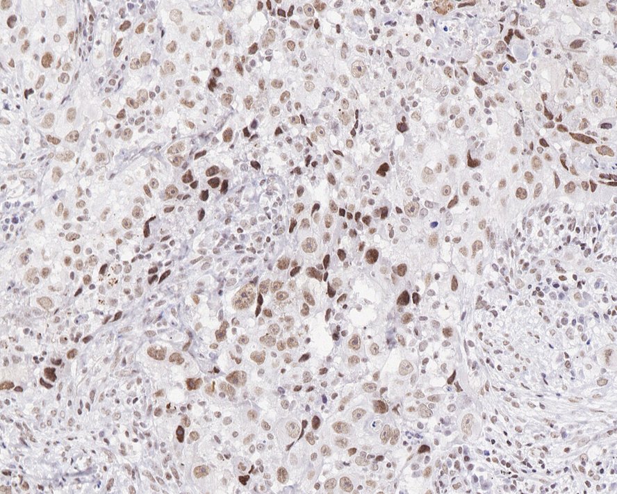
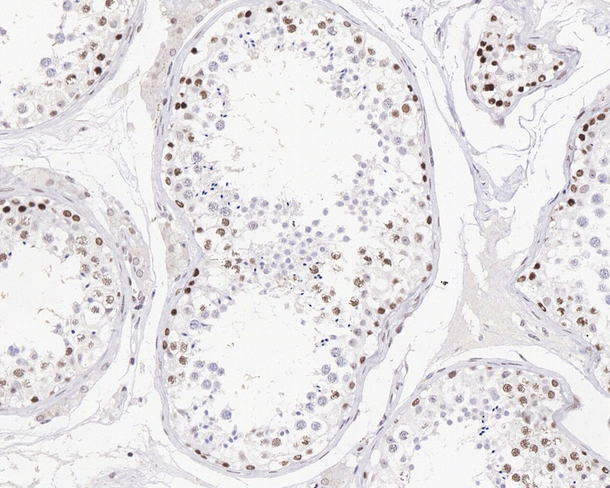
Menin Recombinant Rabbit Monoclonal Antibody [JE30-97]
Application
-
WB
-
IHC-P
Reactivity
-
Human
Conjugation
-
unconjugated
This product has been cited in peer reviewed publications, see list HERE



浙公网安备 33019202000643号