Skip to content

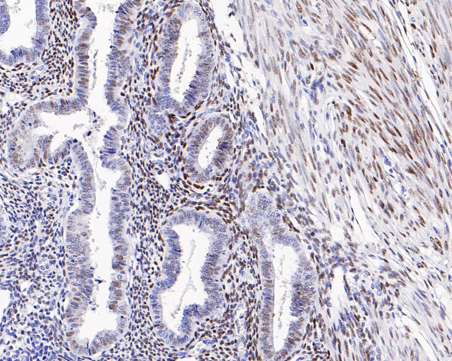
Estrogen Receptor alpha Recombinant Rabbit Monoclonal Antibody [PD00-04]

RMB: 900 特惠 1500

产品规格

Catalog# HA721140

Estrogen Receptor alpha Recombinant Rabbit Monoclonal Antibody [PD00-04]

Application
  • IHC-P

  • IF-Tissue

  • mIHC

Reactivity
  • Human

Conjugation
  • unconjugated

Close (esc)

Popup

Use this popup to embed a mailing list sign up form. Alternatively use it as a simple call to action with a link to a product or a page.

Age verification

By clicking enter you are verifying that you are old enough to consume alcohol.

搜索