图片
-
Western blot analysis of HA tag on different lysates with Mouse anti-HA tag antibody (HA610320) at 1/10,000 dilution.
Lane 1: 293T cell lysate
Lane 2: 293T transfected with HA-tagged Nanos homolog 3 (N-terminal) cell lysate
Lane 3: 293T transfected with HA-tagged LIPT1 (N-terminal) cell lysate
Lysates/proteins at 10 µg/Lane.
Exposure time: 4 seconds; ECL: K1801;
4-20% SDS-PAGE gel.
Proteins were transferred to a PVDF membrane and blocked with 5% NFDM/TBST for 1 hour at room temperature. The primary antibody (HA610320) at 1/10,000 dilution was used in 5% NFDM/TBST at 4℃ overnight. Goat Anti-Mouse IgG - HRP Secondary Antibody (HA1006) at 1/50,000 dilution was used for 1 hour at room temperature.
-
Western blot analysis of HA tag on different lysates with Mouse anti-HA tag antibody (HA610320) at 1/25,000 dilution.
Lane 1: 293T cell lysate (10 µg/Lane)
Lane 2: 293T transfected with HA-tagged Nanos homolog 3 (N-terminal) cell lysate (10 µg/Lane)
Lane 3: 293T transfected with HA-tagged CLK4 (C-terminal) cell lysate (20 µg/Lane)
Exposure time: 1minute 50 seconds; ECL: K1801;
4-20% SDS-PAGE gel.
Proteins were transferred to a PVDF membrane and blocked with 5% NFDM/TBST for 1 hour at room temperature. The primary antibody (HA610320) at 1/25,000 dilution was used in 5% NFDM/TBST at 4℃ overnight. Goat Anti-Mouse IgG - HRP Secondary Antibody (HA1006) at 1/50,000 dilution was used for 1 hour at room temperature.
-
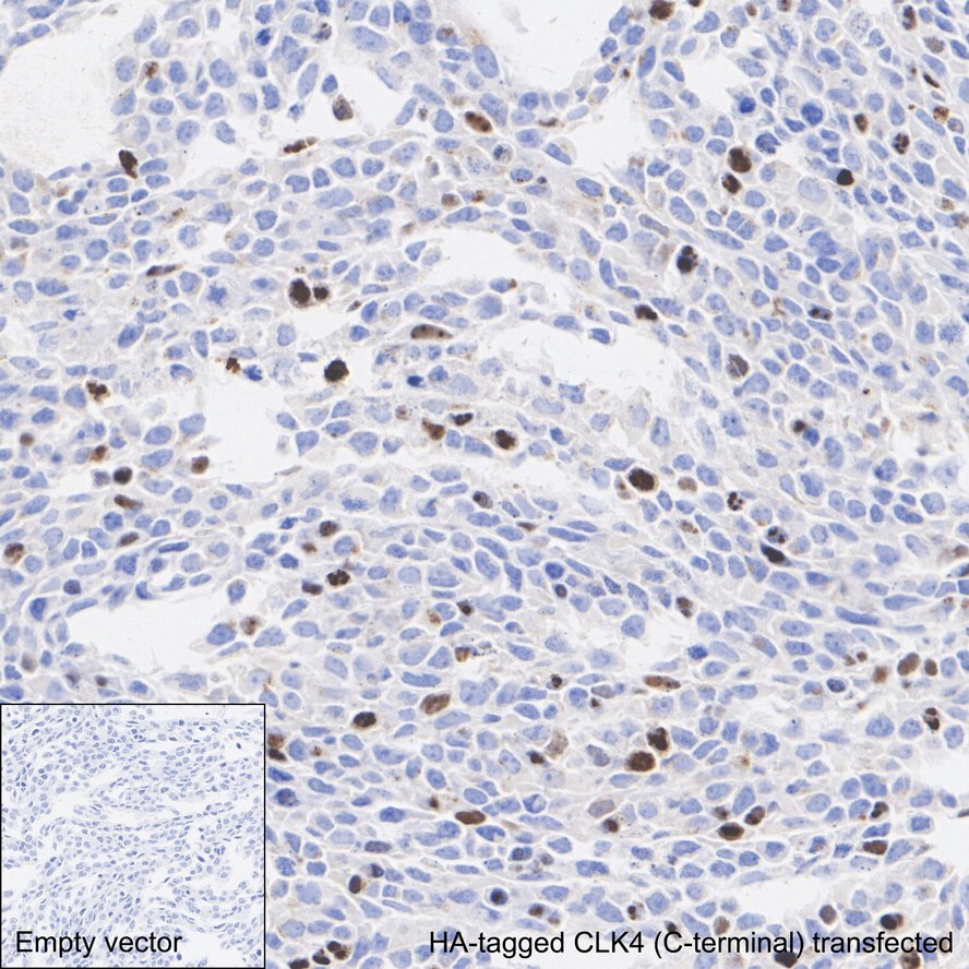
Immunohistochemical analysis of paraffin-embedded 293T cells transfected with HA-tagged CLK4 (C-terminal) with Mouse anti-HA tag antibody (HA610320) at 1/1,000 dilution.
The section was pre-treated using heat mediated antigen retrieval with Tris-EDTA buffer (pH 9.0) for 20 minutes. The tissues were blocked in 1% BSA for 20 minutes at room temperature, washed with ddH2O and PBS, and then probed with the primary antibody (HA610320) at 1/1,000 dilution for 1 hour at room temperature. The detection was performed using an HRP conjugated compact polymer system. DAB was used as the chromogen. Tissues were counterstained with hematoxylin and mounted with DPX.
-
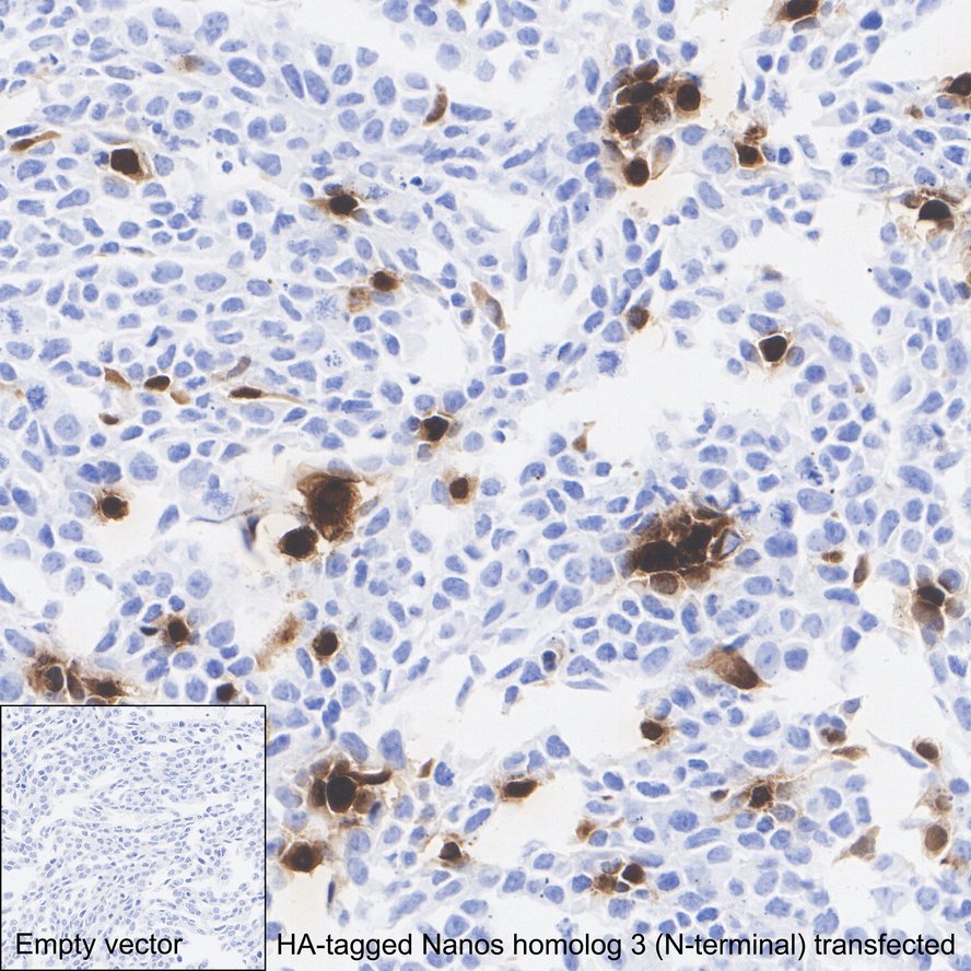
Immunohistochemical analysis of paraffin-embedded 293T cells transfected with HA-tagged Nanos homolog 3 (N-terminal) with Mouse anti-HA tag antibody (HA610320) at 1/10,000 dilution.
The section was pre-treated using heat mediated antigen retrieval with Tris-EDTA buffer (pH 9.0) for 20 minutes. The tissues were blocked in 1% BSA for 20 minutes at room temperature, washed with ddH2O and PBS, and then probed with the primary antibody (HA610320) at 1/10,000 dilution for 1 hour at room temperature. The detection was performed using an HRP conjugated compact polymer system. DAB was used as the chromogen. Tissues were counterstained with hematoxylin and mounted with DPX.
-
Immunocytochemistry analysis of 293T cells labeling HA tag with Mouse anti-HA tag antibody (HA610320) at 1/1,000 dilution.
293T cells, transfected with empty control (upper, negative) / HA-tagged Nanos homolog 3 (N-terminal) (lower, positive) expression vector, respectively, were fixed in 4% paraformaldehyde for 15 minutes at room temperature, permeabilized with 0.1% Triton X-100 in PBS for 15 minutes at room temperature, then blocked with 1% BSA in 10% negative goat serum for 1 hour at room temperature. Cells were then incubated with Mouse anti-HA tag antibody (HA610320) at 1/1,000 dilution in 1% BSA in PBST overnight at 4 ℃. Goat Anti-Mouse IgG H&L (iFluor™ 488, HA1125) was used as the secondary antibody at 1/1,000 dilution. PBS instead of the primary antibody was used as the secondary antibody only control. Nuclear DNA was labelled in blue with DAPI.
beta Tubulin (ET1602-4, red) was stained at 1/100 dilution overnight at +4℃. Goat Anti-Rabbit IgG H&L (iFluor™ 594, HA1122) were used as the secondary antibody at 1/1,000 dilution.
请注意: All products are "FOR RESEARCH USE ONLY AND ARE NOT INTENDED FOR DIAGNOSTIC OR THERAPEUTIC USE"