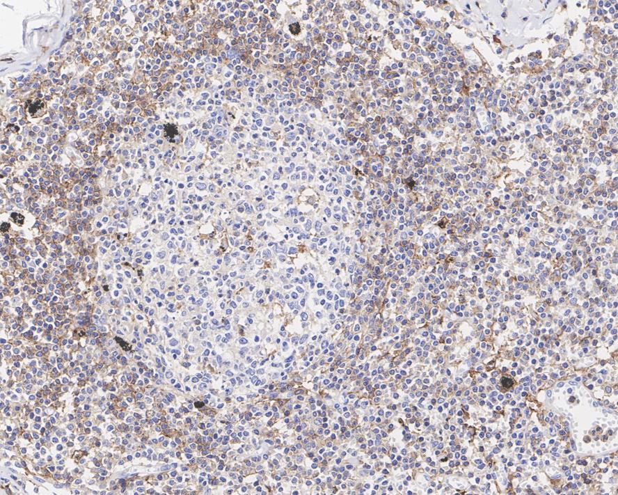
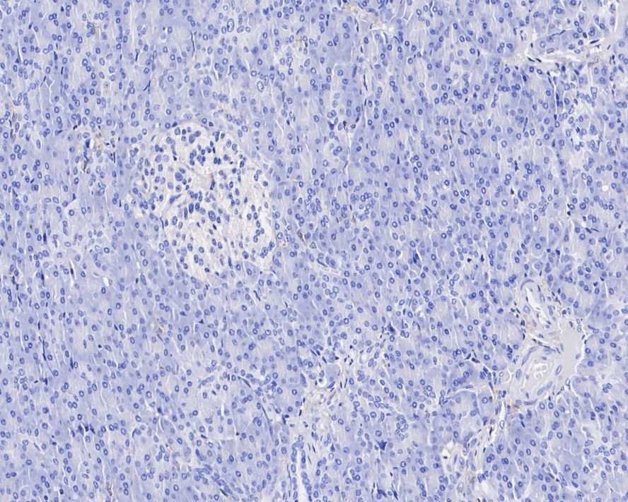
LAIR1 Recombinant Mouse Monoclonal Antibody [PSH04-50] - BSA and Azide free
Catalog# HA610201
LAIR1 Recombinant Mouse Monoclonal Antibody [PSH04-50] - BSA and Azide free
Application
-
WB
-
IHC-P
Reactivity
-
Human
With BSA and Azide
-
HA601329
含抗保成分
Conjugation
-
unconjugated
浙公网安备 33019202000643号