Catalog# HA601173
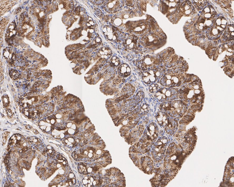
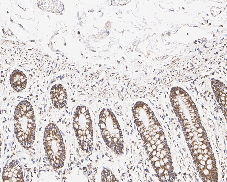
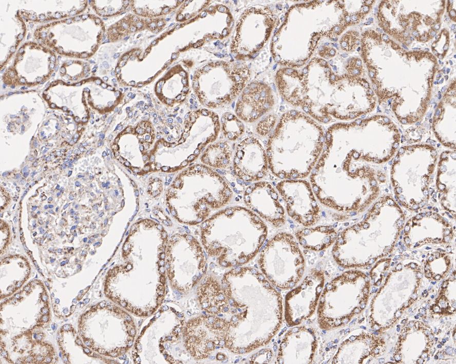
GC1q R Recombinant Mouse Monoclonal Antibody [A8F4-R]
Application
-
WB
-
IHC-P
-
IF-Cell
Reactivity
-
Human
-
Mouse
-
Rat
BSA and Azide free
-
HA610057
不含抗保成分
Conjugation
-
unconjugated



浙公网安备 33019202000643号