Catalog# HA601122
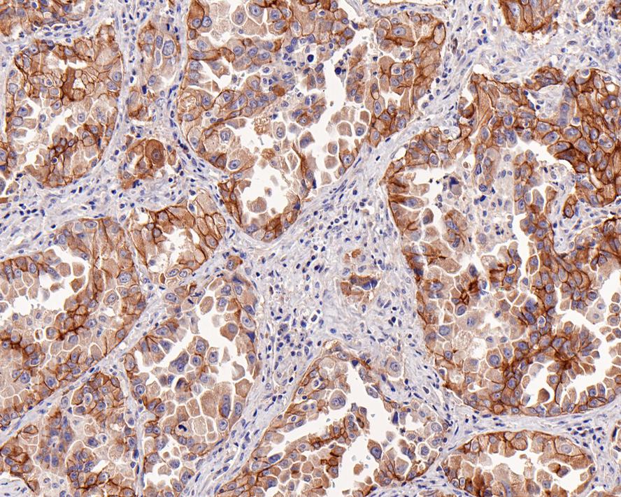
c-Met Recombinant Mouse Monoclonal Antibody [A9A4-R]
Application
-
WB
-
IHC-P
Reactivity
-
Human
BSA and Azide free
-
HA610037
不含抗保成分
Conjugation
-
unconjugated

浙公网安备 33019202000643号