Catalog# HA601068
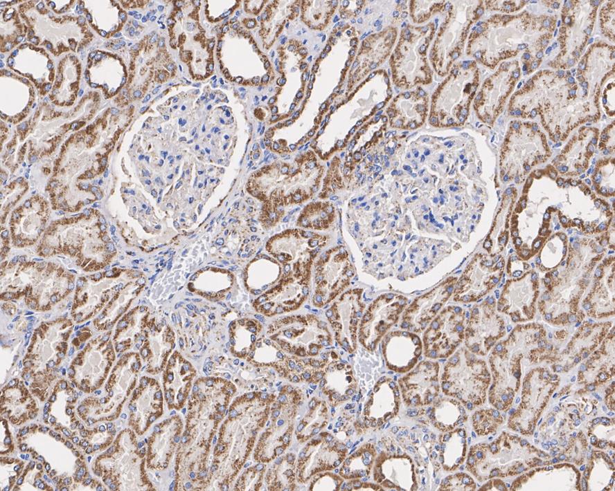
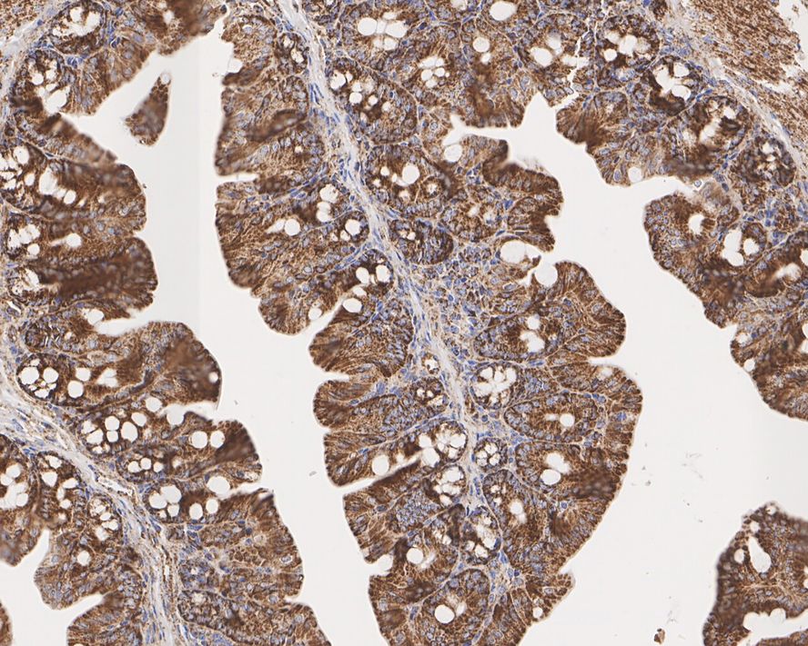
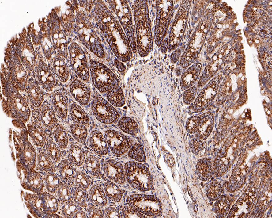
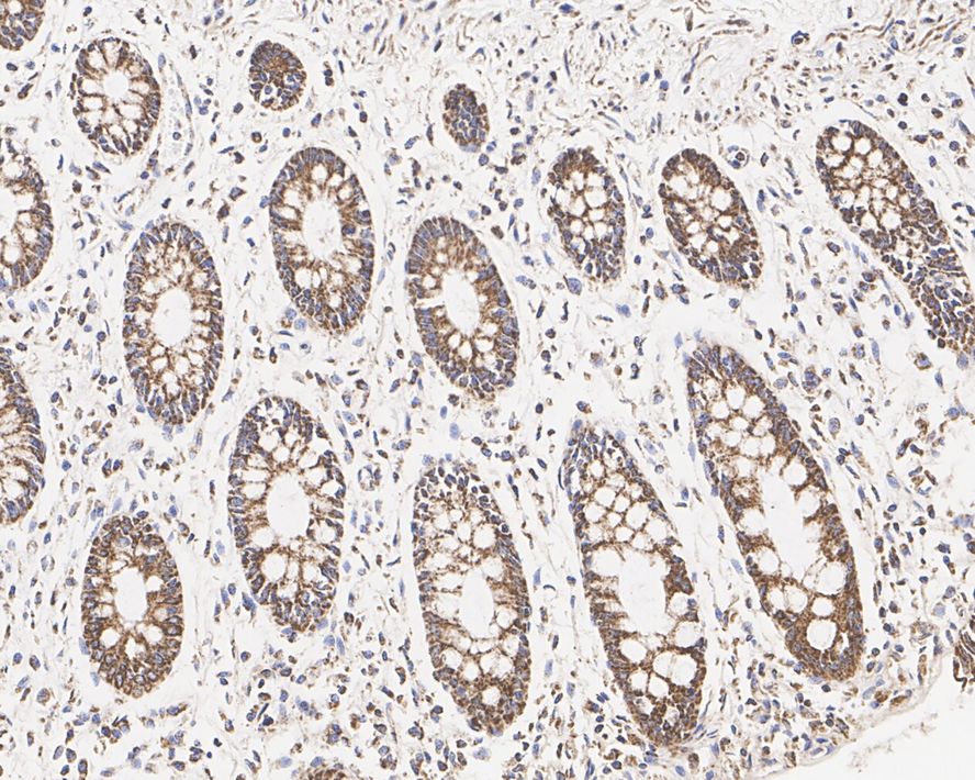
GC1q R Mouse Monoclonal Antibody [A8F5]
Application
-
WB
-
IHC-P
-
IF-Cell
-
FC
Reactivity
-
Human
-
Mouse
-
Rat
Conjugation
-
unconjugated


浙公网安备 33019202000643号