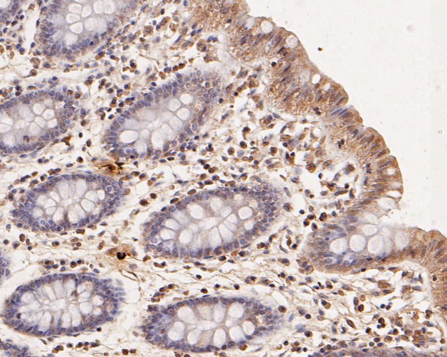
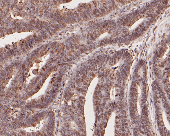
Catalog# HA500042
CCL2 / MCP-1 Rabbit Polyclonal Antibody
Application
-
WB
-
IHC-P
-
IF-Cell
Reactivity
-
Human
Conjugation
-
unconjugated
This product has been cited in peer reviewed publications, see list HERE

浙公网安备 33019202000643号