GSK3 beta Recombinant Rabbit Monoclonal Antibody [SY28-03] - BSA and Azide free
概述
产品名称
GSK3 beta Recombinant Rabbit Monoclonal Antibody [SY28-03] - BSA and Azide free
抗体类型
Recombinant Rabbit monoclonal Antibody
免疫原
Synthetic peptide within human GSK3 beta aa 360-400.
种属反应性
Human, Mouse, Rat
验证应用
WB, IF-Cell, IF-Tissue, IHC-P, FC, IHC-Fr
分子量
Predicted band size: 47 kDa
阳性对照
HeLa cell lysate, HEK-293 cell lysate, NIH/3T3 cell lysate, PC-12 cell lysate, Jurkat cell lysate, A549 cell lysate, HepG2 cell lysate, MCF7 cell lysate, Hela, C2C12 cell lysate, C6 cell lysate, PC-3M, SKOV-3, human breast tissue, human breast carcinoma tissue, mouse testis tissue, mouse prostate tissue, mouse hippocampus tissue, mouse cerebral cortex tissue.
偶联
unconjugated
克隆号
SY28-03
产品特性
形态
Liquid
存放说明
Store at +4℃ after thawing. Aliquot store at -20℃ or -80℃. Avoid repeated freeze / thaw cycles.
存储缓冲液
PBS (pH7.4).
亚型
IgG
纯化方式
Protein A affinity purified.
应用稀释度
-
WB
-
1:1,000-1:2,000
-
IF-Cell
-
1:50-1:200
-
IF-Tissue
-
1:50-1:200
-
IHC-P
-
1:50-1:1,000
-
FC
-
1:50-1:100
-
IHC-Fr
-
1:100
靶点
功能
Glycogen synthase kinase 3 beta, also known as GSK3B, is an enzyme that in humans is encoded by the GSK3B gene. Abnormal regulation and expression of GSK3β is associated with an increased susceptibility towards bipolar disorder. Glycogen synthase kinase-3 (GSK-3) is a proline-directed serine-threonine kinase that was initially identified as a phosphorylating and an inactivating agent of glycogen synthase. Two isoforms, alpha (GSK3A) and beta, show a high degree of amino acid homology. GSK3B is involved in energy metabolism, neuronal cell development, and body pattern formation. It might be a new therapeutic target for ischemic stroke.
背景文献
1. Das I et al. Heat Shock Protein 90 Positively Regulates Chikungunya Virus Replication by Stabilizing Viral Non-Structural Protein nsP2 during Infection. PLoS One 9:e100531 (2014).
2. Gao B et al. Dose-Dependent Effect of Estrogen Suppresses the Osteo-Adipogenic Transdifferentiation of Osteoblasts via Canonical Wnt Signaling Pathway. PLoS One 9:e99137 (2014).
序列相似性
Belongs to the protein kinase superfamily. CMGC Ser/Thr protein kinase family. GSK-3 subfamily.
组织特异性
Expressed in testis, thymus, prostate and ovary and weakly expressed in lung, brain and kidney. Colocalizes with EIF2AK2/PKR and TAU in the Alzheimer disease (AD) brain.
翻译后修饰
Phosphorylated by AKT1 and ILK1. Upon insulin-mediated signaling, the activated PKB/AKT1 protein kinase phosphorylates and desactivates GSK3B, resulting in the dephosphorylation and activation of GYS1. Activated by phosphorylation at Tyr-216. Inactivated by phosphorylation at Ser-9 (Probable). Phosphorylated in a circadian manner in the hippocampus (By similarity).; Mono-ADP-ribosylation by PARP10 negatively regulates kinase activity.
亚细胞定位
Cytoplasm, Nucleus, Cell membrane.
别名
Glycogen Synthase Kinase 3 Beta antibody
Glycogen synthase kinase-3 beta antibody
GSK 3 beta antibody
GSK-3 beta antibody
GSK3B antibody
GSK3B_HUMAN antibody
GSK3beta isoform antibody
Serine/threonine-protein kinase GSK3B antibody
图片
-
Western blot analysis of GSK3 beta on different lysates with Rabbit anti-GSK3 beta antibody (HA750131) at 1/1,000 dilution.
Lane 1: HeLa cell lysate
Lane 2: HEK-293 cell lysate
Lane 3: NIH/3T3 cell lysate
Lane 4: PC-12 cell lysate
Lane 5: Jurkat cell lysate
Lane 6: A549 cell lysate
Lane 7: HepG2 cell lysate
Lane 8: MCF7 cell lysate
Lysates/proteins at 15 µg/Lane.
Predicted band size: 47 kDa
Observed band size: 40 kDa
Exposure time: 3 minutes;
4-20% SDS-PAGE gel.
Proteins were transferred to a PVDF membrane and blocked with 5% NFDM/TBST for 1 hour at room temperature. The primary antibody (HA750131) at 1/1,000 dilution was used in 5% NFDM/TBST at 4℃ overnight. Goat Anti-Rabbit IgG - HRP Secondary Antibody (HA1001) at 1:100,000 dilution was used for 1 hour at room temperature. -
ICC staining of GSK3 beta in Hela cells (green). Formalin fixed cells were permeabilized with 0.1% Triton X-100 in TBS for 10 minutes at room temperature and blocked with 1% Blocker BSA for 15 minutes at room temperature. Cells were probed with the primary antibody (HA750131, 1/50) for 1 hour at room temperature, washed with PBS. Alexa Fluor®488 Goat anti-Rabbit IgG was used as the secondary antibody at 1/1,000 dilution. The nuclear counter stain is DAPI (blue).
-
Western blot analysis of GSK3 beta on different lysates with Rabbit anti-GSK3 beta antibody (HA750131) at 1/1,000 dilution.
Lane 1: HeLa cell lysate
Lane 2: HEK-293 cell lysate
Lane 3: A549 cell lysate
Lane 4: HepG2 cell lysate
Lane 5: C2C12 cell lysate
Lane 6: C6 cell lysate
Lysates/proteins at 15 µg/Lane.
Predicted band size: 47 kDa
Observed band size: 40 kDa
Exposure time: 3 minutes 20 seconds;
4-20% SDS-PAGE gel.
Proteins were transferred to a PVDF membrane and blocked with 5% NFDM/TBST for 1 hour at room temperature. The primary antibody (HA750131) at 1/1,000 dilution was used in 5% NFDM/TBST at 4℃ overnight. Goat Anti-Rabbit IgG - HRP Secondary Antibody (HA1001) at 1/50,000 dilution was used for 1 hour at room temperature. -
ICC staining of GSK3 beta in PC-3M cells (green). Formalin fixed cells were permeabilized with 0.1% Triton X-100 in TBS for 10 minutes at room temperature and blocked with 1% Blocker BSA for 15 minutes at room temperature. Cells were probed with the primary antibody (HA750131, 1/50) for 1 hour at room temperature, washed with PBS. Alexa Fluor®488 Goat anti-Rabbit IgG was used as the secondary antibody at 1/1,000 dilution. The nuclear counter stain is DAPI (blue).
-
ICC staining of GSK3 beta in SKOV-3 cells (green). Formalin fixed cells were permeabilized with 0.1% Triton X-100 in TBS for 10 minutes at room temperature and blocked with 1% Blocker BSA for 15 minutes at room temperature. Cells were probed with the primary antibody (HA750131, 1/50) for 1 hour at room temperature, washed with PBS. Alexa Fluor®488 Goat anti-Rabbit IgG was used as the secondary antibody at 1/1,000 dilution. The nuclear counter stain is DAPI (blue).
-
Immunohistochemical analysis of paraffin-embedded human breast tissue with Rabbit anti-GSK3 beta antibody (HA750131) at 1/200 dilution.
The section was pre-treated using heat mediated antigen retrieval with sodium citrate buffer (pH 6.0) (high pressure) for 2 minutes. The tissues were blocked in 1% BSA for 20 minutes at room temperature, washed with ddH2O and PBS, and then probed with the primary antibody (HA750131) at 1/200 dilution for 1 hour at room temperature. The detection was performed using an HRP conjugated compact polymer system. DAB was used as the chromogen. Tissues were counterstained with hematoxylin and mounted with DPX. -
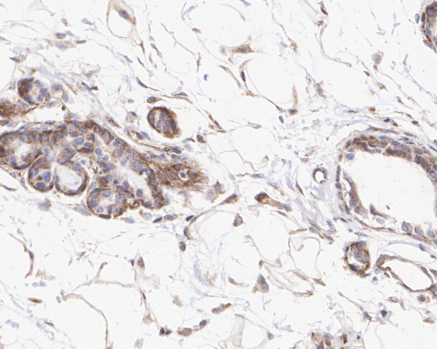
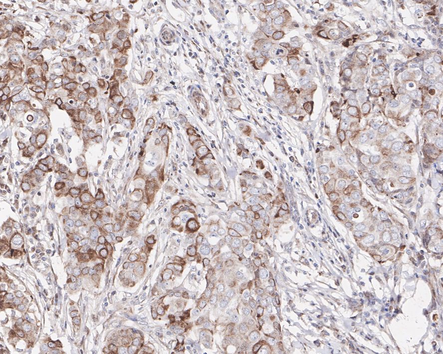
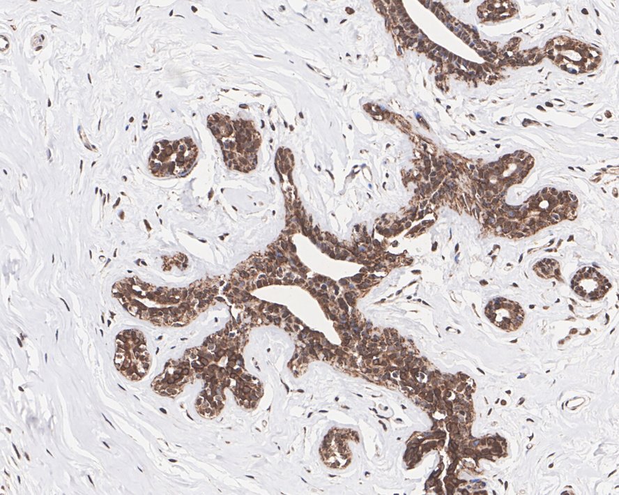
Immunohistochemical analysis of paraffin-embedded human breast carcinoma tissue with Rabbit anti-GSK3 beta antibody (HA750131) at 1/200 dilution.
The section was pre-treated using heat mediated antigen retrieval with sodium citrate buffer (pH 6.0) (high pressure) for 2 minutes. The tissues were blocked in 1% BSA for 20 minutes at room temperature, washed with ddH2O and PBS, and then probed with the primary antibody (HA750131) at 1/200 dilution for 1 hour at room temperature. The detection was performed using an HRP conjugated compact polymer system. DAB was used as the chromogen. Tissues were counterstained with hematoxylin and mounted with DPX. -
Immunohistochemical analysis of paraffin-embedded mouse testis tissue using anti-GSK3 beta antibody. The section was pre-treated using heat mediated antigen retrieval with Tris-EDTA buffer (pH 8.0-8.4) for 20 minutes.The tissues were blocked in 5% BSA for 30 minutes at room temperature, washed with ddH2O and PBS, and then probed with the primary antibody (HA750131, 1/50) for 30 minutes at room temperature. The detection was performed using an HRP conjugated compact polymer system. DAB was used as the chromogen. Tissues were counterstained with hematoxylin and mounted with DPX.
-
Immunohistochemical analysis of paraffin-embedded mouse prostate tissue using anti-GSK3 beta antibody. The section was pre-treated using heat mediated antigen retrieval with Tris-EDTA buffer (pH 8.0-8.4) for 20 minutes.The tissues were blocked in 5% BSA for 30 minutes at room temperature, washed with ddH2O and PBS, and then probed with the primary antibody (HA750131, 1/50) for 30 minutes at room temperature. The detection was performed using an HRP conjugated compact polymer system. DAB was used as the chromogen. Tissues were counterstained with hematoxylin and mounted with DPX.
-
Flow cytometric analysis of GSK3 beta was done on Hela cells. The cells were fixed, permeabilized and stained with the primary antibody (HA750131, 1/50) (blue). After incubation of the primary antibody at room temperature for an hour, the cells were stained with a Alexa Fluor 488-conjugated Goat anti-Rabbit IgG Secondary antibody at 1/1,000 dilution for 30 minutes.Unlabelled sample was used as a control (cells without incubation with primary antibody; red).
-
Immunofluorescence analysis of frozen mouse hippocampus tissue labeling GSK3 beta with Rabbit anti-GSK3 beta antibody (HA750131).
The tissues were blocked in 3% BSA for 30 minutes at room temperature, washed with PBS, and then probed with the primary antibody (HA750131, green) at 1/100 dilution overnight at 4℃, washed with PBS. Goat Anti-Rabbit IgG H&L (Alexa Fluor® 488) was used as the secondary antibody at 1/200 dilution. Nuclei were counterstained with DAPI (blue). Image acquisition was performed with KFBIO KF-FL-400 Scanner. -
Immunofluorescence analysis of frozen mouse cerebral cortex tissue labeling GSK3 beta with Rabbit anti-GSK3 beta antibody (HA750131).
The tissues were blocked in 3% BSA for 30 minutes at room temperature, washed with PBS, and then probed with the primary antibody (HA750131, green) at 1/100 dilution overnight at 4℃, washed with PBS. Goat Anti-Rabbit IgG H&L (Alexa Fluor® 488) was used as the secondary antibody at 1/200 dilution. Nuclei were counterstained with DAPI (blue). Image acquisition was performed with KFBIO KF-FL-400 Scanner. -
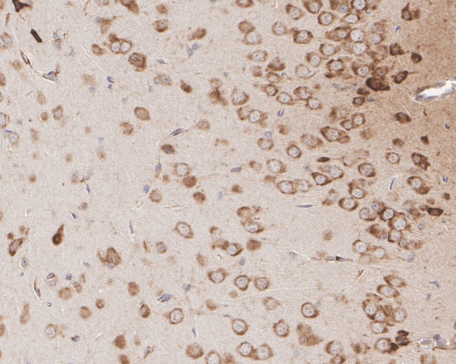
Immunohistochemical analysis of paraffin-embedded mouse brain tissue with Rabbit anti-GSK3 beta antibody (HA750131) at 1/1,000 dilution.
The section was pre-treated using heat mediated antigen retrieval with Tris-EDTA buffer (pH 9.0) for 20 minutes. The tissues were blocked in 1% BSA for 20 minutes at room temperature, washed with ddH2O and PBS, and then probed with the primary antibody (HA750131) at 1/1,000 dilution for 1 hour at room temperature. The detection was performed using an HRP conjugated compact polymer system. DAB was used as the chromogen. Tissues were counterstained with hematoxylin and mounted with DPX. -
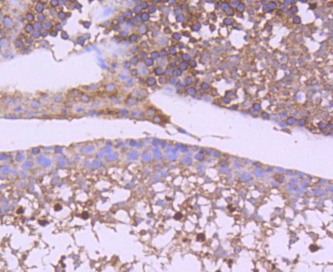
Immunohistochemical analysis of paraffin-embedded rat brain tissue with Rabbit anti-GSK3 beta antibody (HA750131) at 1/1,000 dilution.
The section was pre-treated using heat mediated antigen retrieval with Tris-EDTA buffer (pH 9.0) for 20 minutes. The tissues were blocked in 1% BSA for 20 minutes at room temperature, washed with ddH2O and PBS, and then probed with the primary antibody (HA750131) at 1/1,000 dilution for 1 hour at room temperature. The detection was performed using an HRP conjugated compact polymer system. DAB was used as the chromogen. Tissues were counterstained with hematoxylin and mounted with DPX. -
Immunohistochemical analysis of paraffin-embedded rat breast tissue with Rabbit anti-GSK3 beta antibody (HA750131) at 1/1,000 dilution.
The section was pre-treated using heat mediated antigen retrieval with Tris-EDTA buffer (pH 9.0) for 20 minutes. The tissues were blocked in 1% BSA for 20 minutes at room temperature, washed with ddH2O and PBS, and then probed with the primary antibody (HA750131) at 1/1,000 dilution for 1 hour at room temperature. The detection was performed using an HRP conjugated compact polymer system. DAB was used as the chromogen. Tissues were counterstained with hematoxylin and mounted with DPX. -
Immunofluorescence analysis of paraffin-embedded mouse hippocampus tissue labeling GSK3 beta with Rabbit anti-GSK3 beta antibody (HA750131) at 1/200 dilution.
The section was pre-treated using heat mediated antigen retrieval with Tris-EDTA buffer (pH 9.0) for 20 minutes. The tissues were blocked in 10% negative goat serum for 1 hour at room temperature, washed with PBS, and then probed with the primary antibody (HA750131, green) at 1/200 dilution overnight at 4 ℃, washed with PBS. Goat Anti-Rabbit IgG H&L (iFluor™ 488, HA1121) was used as the secondary antibody at 1/1,000 dilution. Nuclei were counterstained with DAPI (blue). -
☑ Knockdown (KD)
Western blot analysis of GSK3 beta on different lysates with Rabbit anti-GSK3 beta antibody (HA750131) at 1/1,000 dilution.
Lane 1: HCT 116-si NT cell lysate
Lane 2: HCT 116-si GSK3 beta cell lysate
Lysates/proteins at 10 µg/Lane.
Predicted band size: 47 kDa
Observed band size: 40 kDa
Exposure time: 5 seconds; ECL: K1801;
4-20% SDS-PAGE gel.
Proteins were transferred to a PVDF membrane and blocked with 5% NFDM/TBST for 1 hour at room temperature. The primary antibody (HA750131) at 1/1,000 dilution was used in 5% NFDM/TBST at 4℃ overnight. Goat Anti-Rabbit IgG - HRP Secondary Antibody (HA1001) at 1/50,000 dilution was used for 1 hour at room temperature.
请注意: All products are "FOR RESEARCH USE ONLY AND ARE NOT INTENDED FOR DIAGNOSTIC OR THERAPEUTIC USE"
同靶点 & 同通路的产品
Phospho-GSK3 beta (S9) Recombinant Rabbit Monoclonal Antibody [SY02-71]
Application: WB,IF-Cell,IF-Tissue,IHC-P,FC
Reactivity: Human,Mouse,Rat
Conjugate: unconjugated
GSK3 beta Rabbit Polyclonal Antibody
Application: IF-Cell,IHC-P,FC
Reactivity: Human,Mouse,Rat
Conjugate: unconjugated
Phospho-GSK3 beta (S9) Recombinant Rabbit Monoclonal Antibody [SY02-71] - BSA and Azide free
Application: WB,IF-Cell,IF-Tissue,IHC-P,FC
Reactivity: Human,Mouse,Rat
Conjugate: unconjugated
GSK3 beta Recombinant Rabbit Monoclonal Antibody [SY28-03]
Application: WB,IF-Cell,IF-Tissue,IHC-P,FC,IHC-Fr
Reactivity: Human,Mouse,Rat
Conjugate: unconjugated