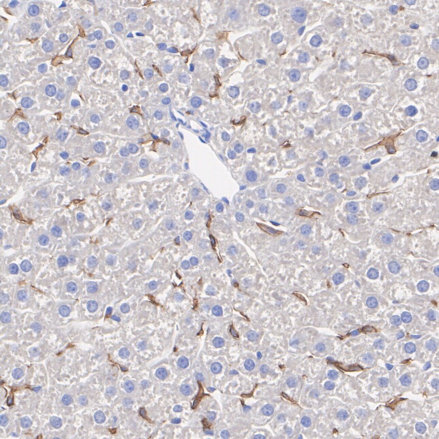
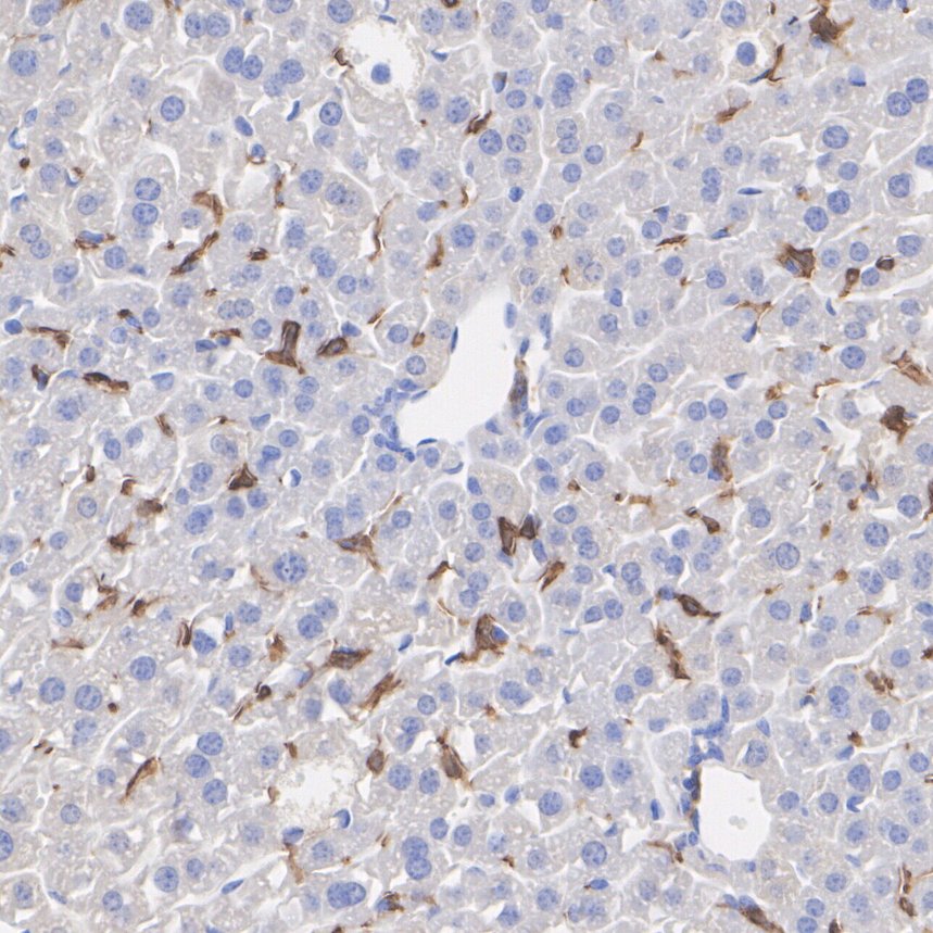
F4/80 Recombinant Antibody [PSH0-85] - Rat IgG1 (Chimeric) - BSA and Azide free
Catalog# HA610319
F4/80 Recombinant Antibody [PSH0-85] - Rat IgG1 (Chimeric) - BSA and Azide free
Application
-
IHC-P
Reactivity
-
Mouse
-
Rat
With BSA and Azide
-
HA601485
含抗保成分
Conjugation
-
unconjugated
浙公网安备 33019202000643号