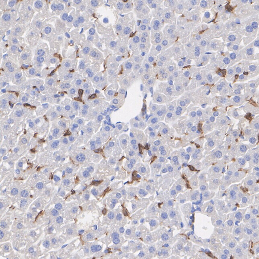
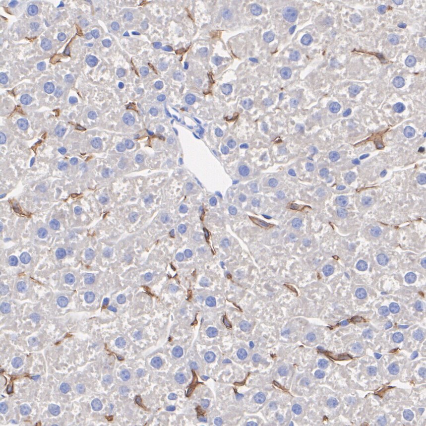
Catalog# HA601485
F4/80 Recombinant Antibody [PSH0-85] - Rat IgG1 (Chimeric)
Application
-
IHC-P
Reactivity
-
Mouse
-
Rat


