RMB: 900 特惠 1500 1500
产品规格
概述
产品名称
ACSL4 / FACL4 Recombinant Rabbit Monoclonal Antibody [JE56-33]
抗体类型
Recombinant Rabbit monoclonal Antibody
免疫原
Recombinant protein within human FACL4 aa 561-711 (Cytoplasmic).
种属反应性
Human, Mouse, Rat
验证应用
WB, IHC-P
分子量
Predicted band size: 79 kDa
阳性对照
PC-12 cell lysate, C6 cell lysate, L6 cell lysate, Rat brain tissue lysate, Rat lung tissue lysate, Rat thymus tissue lysate, A549 cell lysate, Mouse brain tissue lysate, mouse brain tissue, mouse lung tissue, rat brain tissue.
偶联
unconjugated
克隆号
JE56-33
RRID
产品特性
形态
Liquid
浓度
存放说明
Shipped at 4℃. Store at +4℃ short term (1-2 weeks). It is recommended to aliquot into single-use upon delivery. Store at -20℃ long term.
存储缓冲液
1*TBS (pH7.4), 0.05% BSA, 40% Glycerol. Preservative: 0.05% Sodium Azide.
亚型
IgG
纯化方式
Protein A affinity purified.
应用稀释度
-
WB
-
1:1,000-1:5,000
-
IHC-P
-
1:1,000
靶点
功能
The protein encoded by this gene is an isozyme of the long-chain fatty-acid-coenzyme A ligase family. Although differing in substrate specificity, subcellular localization, and tissue distribution, all isozymes of this family convert free long-chain fatty acids into fatty acyl-CoA esters, and thereby play a key role in lipid biosynthesis and fatty acid degradation. This isozyme preferentially utilizes arachidonate as substrate. The absence of this enzyme may contribute to the cognitive disability or Alport syndrome. Alternative splicing of this gene generates multiple transcript variants.
背景文献
1. Cheng J. et. al. ACSL4 suppresses glioma cells proliferation via activating ferroptosis. Oncol Rep. 2020 Jan
2. Kuwata H. et. al. Role of acyl-CoA synthetase ACSL4 in arachidonic acid metabolism. Prostaglandins Other Lipid Mediat. 2019 Oct
亚细胞定位
Peroxisome membrane, Mitochondrion outer membrane, Microsome membrane, Endoplasmic reticulum membrane, Cell membrane.
别名
ACS 4 antibody
ACS4 antibody
ACSL 4 antibody
Acsl4 antibody
ACSL4_HUMAN antibody
acyl CoA synthetase 4 antibody
Acyl CoA synthetase long chain family member 4 antibody
FACL 4 antibody
FACL4 antibody
Fatty acid Coenzyme A ligase antibody
展开ACS 4 antibody
ACS4 antibody
ACSL 4 antibody
Acsl4 antibody
ACSL4_HUMAN antibody
acyl CoA synthetase 4 antibody
Acyl CoA synthetase long chain family member 4 antibody
FACL 4 antibody
FACL4 antibody
Fatty acid Coenzyme A ligase antibody
fatty acid Coenzyme A ligase long-chain 4 antibody
LACS 4 antibody
LACS4 antibody
Lignoceroyl CoA synthase antibody
Long chain 4 antibody
long chain acyl CoA synthetase 4 antibody
long chain fatty acid CoA ligase 4 antibody
long chain fatty acid Coenzyme A ligase 4 antibody
Long-chain acyl-CoA synthetase 4 antibody
Long-chain-fatty-acid--CoA ligase 4 antibody
MRX63 antibody
MRX68 antibody
折叠图片
-
☑ Knockdown (KD)
Western blot analysis of ACSL4 / FACL4 on different lysates with Rabbit anti-ACSL4 / FACL4 antibody (ET7111-43) at 1/5,000 dilution.
Lane 1: A549-si NT cell lysate
Lane 2: A549-si ACSL4 / FACL4 cell lysate
Lysates/proteins at 10 µg/Lane.
Predicted band size: 79 kDa
Observed band size: 75 kDa
Exposure time: 1 minute; ECL: K1801;
4-20% SDS-PAGE gel.
Proteins were transferred to a PVDF membrane and blocked with 5% NFDM/TBST for 1 hour at room temperature. The primary antibody (ET7111-43) at 1/5,000 dilution was used in 5% NFDM/TBST at 4℃ overnight. Goat Anti-Rabbit IgG - HRP Secondary Antibody (HA1001) at 1/50,000 dilution was used for 1 hour at room temperature. -
Western blot analysis of ACSL4 / FACL4 on different lysates with Rabbit anti-ACSL4 / FACL4 antibody (ET7111-43) at 1/1,000 dilution.
Lane 1: PC-12 cell lysate
Lane 2: C6 cell lysate
Lane 3: L6 cell lysate
Lane 4: Rat brain tissue lysate
Lane 5: Rat lung tissue lysate
Lane 6: Rat thymus tissue lysate
Lysates/proteins at 20 µg/Lane.
Predicted band size: 79 kDa
Observed band size: 75 kDa
Exposure time: 42 seconds; ECL: K1801;
4-20% SDS-PAGE gel.
Proteins were transferred to a PVDF membrane and blocked with 5% NFDM/TBST for 1 hour at room temperature. The primary antibody (ET7111-43) at 1/1,000 dilution was used in 5% NFDM/TBST at 4℃ overnight. Goat Anti-Rabbit IgG - HRP Secondary Antibody (HA1001) at 1/50,000 dilution was used for 1 hour at room temperature. -
Western blot analysis of ACSL4 / FACL4 on different lysates with Rabbit anti-ACSL4 / FACL4 antibody (ET7111-43) at 1/1,000 dilution.
Lane 1: A549 cell lysate (20 µg/Lane)
Lane 2: Mouse brain tissue lysate (40 µg/Lane)
Predicted band size: 79 kDa
Observed band size: 75 kDa
Exposure time: 25 seconds; ECL: K1801;
4-20% SDS-PAGE gel.
Proteins were transferred to a PVDF membrane and blocked with 5% NFDM/TBST for 1 hour at room temperature. The primary antibody (ET7111-43) at 1/1,000 dilution was used in 5% NFDM/TBST at 4℃ overnight. Goat Anti-Rabbit IgG - HRP Secondary Antibody (HA1001) at 1/50,000 dilution was used for 1 hour at room temperature. -
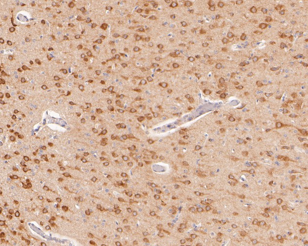
Immunohistochemical analysis of paraffin-embedded mouse brain tissue with Rabbit anti-ACSL4 / FACL4 antibody (ET7111-43) at 1/1,000 dilution.
The section was pre-treated using heat mediated antigen retrieval with Tris-EDTA buffer (pH 9.0) for 20 minutes. The tissues were blocked in 1% BSA for 20 minutes at room temperature, washed with ddH2O and PBS, and then probed with the primary antibody (ET7111-43) at 1/1,000 dilution for 1 hour at room temperature. The detection was performed using an HRP conjugated compact polymer system. DAB was used as the chromogen. Tissues were counterstained with hematoxylin and mounted with DPX. -
Immunohistochemical analysis of paraffin-embedded mouse lung tissue with Rabbit anti-ACSL4 / FACL4 antibody (ET7111-43) at 1/1,000 dilution.
The section was pre-treated using heat mediated antigen retrieval with Tris-EDTA buffer (pH 9.0) for 20 minutes. The tissues were blocked in 1% BSA for 20 minutes at room temperature, washed with ddH2O and PBS, and then probed with the primary antibody (ET7111-43) at 1/1,000 dilution for 1 hour at room temperature. The detection was performed using an HRP conjugated compact polymer system. DAB was used as the chromogen. Tissues were counterstained with hematoxylin and mounted with DPX. -
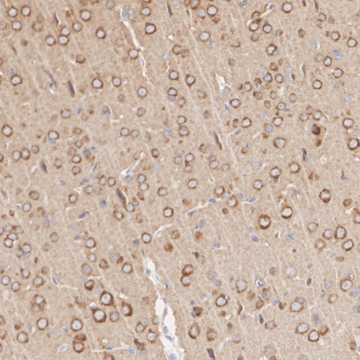
Immunohistochemical analysis of paraffin-embedded rat brain tissue using anti-ACSL4 / FACL4 antibody. The section was pre-treated using heat mediated antigen retrieval with Tris-EDTA buffer (pH 9.0) for 20 minutes.The tissues were blocked in 5% BSA for 30 minutes at room temperature, washed with ddH2O and PBS, and then probed with the primary antibody (ET7111-43, 1/200) for 30 minutes at room temperature. The detection was performed using an HRP conjugated compact polymer system. DAB was used as the chromogen. Tissues were counterstained with hematoxylin and mounted with DPX.
请注意: All products are "FOR RESEARCH USE ONLY AND ARE NOT INTENDED FOR DIAGNOSTIC OR THERAPEUTIC USE"
引文
-
Surface-charge-dependent ovarian toxicity of polystyrene microplastics: Insights into accumulation, mitochondrial damage, and macrophage polarization
期刊: Journal Of Hazardous Materials
DOI: 10.1016/j.jhazmat.2026.141197
IF: 11.3
应用: IHC
反应种属: Rat
发表时间: 2026 Jan
-
Metallothionein 2A alleviates ulcerative colitis by inhibiting ferroptosis in intestinal epithelial cells with Tfrc downregulation
期刊: Journal Of Trace Elements In Medicine And Biology
DOI: 10.1016/j.jtemb.2025.127746
IF: 3.3
应用: WB
反应种属: Human
发表时间: 2025 Sept
-
USP28 participates in high glucose-mediated endothelial dysfunction via deubiquitinating SIRT1 protein in diabetic foot ulcers
期刊: Journal Of Orthopaedic Surgery And Research
DOI: 10.1186/s13018-025-06244-7
IF: 2.8
应用: WB
反应种属: Human
发表时间: 2025 Sept
-
Low-Dose Valproic Acid Ameliorates Osteoporosis by Restoring Redox Homeostasis and Suppressing Ferritinophagy-Dependent Ferroptosis via EZH2/H3K27me3 Signaling
期刊: Free Radical Biology And Medicine
DOI: 10.1016/j.freeradbiomed.2025.09.023
IF: 8.2
应用: WB
反应种属: Rat
发表时间: 2025 Sept
-
Licochalcone B targets neural cell adhesion molecule 1 to inhibit osteosarcoma progression and ferroptosis resistance via extracellular signal-regulated kinase 5 and nuclear factor kappa B pathways
期刊: Phytomedicine
DOI: 10.1016/j.phymed.2025.157584
IF: 8.3
应用: WB
反应种属: Human
发表时间: 2025 Nov
-
Olfactory ensheathing cells exosomes enhance neurological recovery in brain-injured rats by modulating Nrf2-ferroptosis pathway
期刊: Bioengineering & Translational Medicine
DOI: 10.1002/btm2.70097
IF: 5.7
应用: WB
反应种属: Rat
发表时间: 2025 Nov
-
Polystyrene Microplastics Induce Radiotherapy Resistance in Lung Cancer by Suppressing Ferroptosis Through NF-κB Activation
期刊: Antioxidants & Redox Signaling
DOI: 10.1177/15230864251389969
IF: 6.1
应用: WB
反应种属: Human
发表时间: 2025 Nov
-
Sorafenib-loaded metal-organic framework nanoparticles for anti-hepatocellular carcinoma effects through synergistically potentiating ferroptosis and remodeling tumor immune microenvironment
期刊: Materials Today Bio
DOI: 10.1016/j.mtbio.2025.101848
IF: 8.7
应用: WB
反应种属: Human
发表时间: 2025 May
-
Gut microbiota participates in polystyrene microplastics-induced defective implantation through impairing uterine receptivity
期刊: Journal Of Environmental Management
DOI: 10.1016/j.jenvman.2025.124997
IF: 8
应用: WB
反应种属: Mouse
发表时间: 2025 Mar
-
Bimetallic NiCu-MOF Protects DOX-Induced Myocardial Injury and Cardiac Dysfunction by Suppressing Ferroptosis and Inflammation
期刊: Advanced Healthcare Materials
DOI: 10.1002/adhm.202405175
IF: 10
应用: WB
反应种属: Mouse,Rat
发表时间: 2025 Mar
-
Inhalation exposure to cationic nanoplastic induces ferroptosis in the lung by perturbing core circadian transcription factors Bmal1
期刊: Journal Of Hazardous Materials
DOI: 10.1016/j.jhazmat.2025.139048
IF: 11.3
应用: WB
反应种属: Mouse
发表时间: 2025 Jun
-
Metabolism and Mendelian randomization study on the mechanism of Buyang Huanwu Decoction in regulating iron metabolism and improving cerebral ischemia-reperfusion injury
期刊: Journal Of Ethnopharmacology
DOI: 10.1016/j.jep.2025.120062
IF: 5.4
应用: WB
反应种属: Rat
发表时间: 2025 Jun
-
Solute carrier family 6 member 3 promotes the development of clear cell renal cell carcinoma by enhancing glycolysis and inhibiting ferroptosis
期刊: CytoJournal
DOI: 10.25259/Cytojournal_35_2025
IF: 3.1
应用: WB
反应种属: Human
发表时间: 2025 Jul
-
Herbacetin mitigates oxidative stress and ferroptosis to protect against doxorubicin-induced cardiotoxicity
期刊: Biochemical Pharmacology
DOI: 10.1016/j.bcp.2025.117117
IF: 5.6
应用: WB
反应种属: Rat
发表时间: 2025 Jul
-
Vitamin D ameliorates prediabetic cardiac injure via modulation of the ErbB4/ferroptosis signaling axis
期刊: Frontiers In Immunology
DOI: 10.3389/fimmu.2025.1626295
IF: 5.9
应用: WB
反应种属: Mouse,Rat
发表时间: 2025 Jul
-
THEM6 modulates carboplatin sensitivity by regulating ferroptosis through FDFT1 in triple-negative breast cancer
期刊: Breast Cancer Research
DOI: 10.1186/s13058-025-02078-7
IF: 5.6
应用: WB
反应种属: Mouse,Human
发表时间: 2025 Jul
-
Almonertinib inhibits liver cancer progression by triggering autophagy-dependent ferroptosis through inhibition of the PI3K/Akt1/mTOR pathway
期刊: Biochemical Pharmacology
DOI: 10.1016/j.bcp.2025.117628
IF: 5.6
应用: WB
反应种属: Human
发表时间: 2025 Dec
-
Downregulation of Mg2+ Efflux Protein CNNM3 Predicts Poor Prognosis but Enhances Ferroptosis Sensitivity in Kidney Renal Clear Cell Carcinoma via NCOA4-Mediated Ferritinophagy
期刊: FASEB Journal
DOI: 10.1096/fj.202500808RR
IF: 4.2
应用: WB
反应种属: Human
发表时间: 2025 Aug
-
RRM2-mediated inhibition of GPX4 ubiquitination: A novel mechanism for ferroptosis suppression and reduced cisplatin sensitivity in small cell lung cancer
期刊: Cellular Signalling
DOI: 10.1016/j.cellsig.2025.112034
IF: 3.7
应用: WB
反应种属:
发表时间: 2025 Aug
-
Engineering Neutrophil Vesicles for Synergistic Protection against Ischemia/Reperfusion Injury after Lung Transplant
期刊: Advanced Science
DOI: 10.1002/advs.202506127
IF: 14.1
应用: WB
反应种属: Rat,Human
发表时间: 2025 Aug
-
Circ-0069561 as a novel diagnostic biomarker for progression of diabetic kidney disease
期刊: Renal Failure
DOI: 10.1080/0886022X.2025.2490200
IF: 3
应用: WB,IF-cell
反应种属: Human,Mouse
发表时间: 2025 Apr
-
Ferroptosis and Low-Grade Glioma: The Breakthrough Potential of NUAK2
期刊: Free Radical Biology And Medicine
DOI: 10.1016/j.freeradbiomed.2025.04.035
IF: 7.1
应用: WB
反应种属: Human
发表时间: 2025 Apr
-
DCI improves diabetic encephalopathy by modulating the BDNF/NF-κB/GSK-3β pathway
期刊: Experimental Neurology
DOI: 10.1016/j.expneurol.2025.115236
IF: 4.6
应用: WB
反应种属: Rat,Human
发表时间: 2025 Apr
-
Polystyrene nanoplastic exposure actives ferroptosis by oxidative stress-induced lipid peroxidation in porcine oocytes during maturation
期刊: Journal Of Animal Science And Biotechnology
DOI:
IF: 6.3
应用: WB
反应种属: Pig
发表时间: 2024 Sep
-
Periodontal pathogen Fusobacterium nucleatum promotes ulcerative colitis by ferroptosis-mediated gut barrier disruption
期刊: Research Square
DOI:
IF:
应用: WB
反应种属: Human,Mouse
发表时间: 2024 Oct
-
A novel apoferritin nanocage with ECM promoting, ferroptosis suppressing and inflammation targeting property for osteoarthritis therapy
期刊: Chemical Engineering Journal
DOI:
IF: 15.1
应用: WB
反应种属: Mouse
发表时间: 2024 May
-
A DNA tetrahedron-based ferroptosis-suppressing nanoparticle: superior delivery of curcumin and alleviation of diabetic osteoporosis
期刊: Bone Research
DOI:
IF: 12.7
应用: IF
反应种属: Mouse
发表时间: 2024 Mar
-
Central role of Sigma-1 receptor in ochratoxin A-induced ferroptosis
期刊: Archives Of Toxicology
DOI: 10.1007/s00204-024-03805-3
IF: 4.8
应用: WB
反应种属: Human
发表时间: 2024 Jun
-
Zinc deficiency drives ferroptosis resistance by lactate production in esophageal squamous cell carcinoma
期刊: Free Radical Biology And Medicine
DOI:
IF: 7.4
应用: WB
反应种属: Human
发表时间: 2024 Feb
-
Upregulation of circ-0069561 promotes diabetic kidney disease progression
期刊: Research Square
DOI:
IF:
应用: WB
反应种属: Mouse
发表时间: 2024 Dec
-
Serum HMGB-1 released by ferroptosis and necroptosis as a novel potential biomarker for systemic lupus erythematosus
期刊: International Immunopharmacology
DOI: 10.1016/j.intimp.2024.112886
IF: 4.8
应用: WB
反应种属: Human
发表时间: 2024 Aug
-
Ferroptosis-related lncRNA NRAV affects the prognosis of hepatocellular carcinoma via the miR-375-3P/SLC7A11 axis
期刊: BMC Cancer
DOI: 10.1186/s12885-024-12265-y
IF: 3.4
应用: WB
反应种属: Human
发表时间: 2024 Apr
-
Cpd-A1 alleviates acute kidney injury by inhibiting ferroptosis
期刊: Acta Pharmacologica Sinica
DOI:
IF: 8.2
应用: WB
反应种属: Mouse
发表时间: 2024 Apr
-
Vitamin D inhibits ferroptosis and mitigates the kidney injury of prediabetic mice by activating the Klotho/p53 signaling pathway
期刊: Apoptosis
DOI:
IF: 7.2
应用: WB
反应种属: Mouse
发表时间: 2024 Apr
-
Ferritin was involved in interleukin-17A enhanced osteogenesis through autophagy activation
期刊: International Immunopharmacology
DOI: 10.1016/j.intimp.2023.110916
IF: 5.6
应用:
反应种属:
发表时间: 2023 Sept
-
YAP/ACSL4 Pathway-Mediated Ferroptosis Promotes Renal Fibrosis in the Presence of Kidney Stones
期刊: Biomedicines
DOI:
IF: 4.7
应用: WB
反应种属: Mouse
发表时间: 2023 Oct
-
Analysis and Identification of Ferroptosis-Related Gene Signature for Acute Lung Injury
期刊: Shock
DOI: 10.1097/SHK.0000000000002247
IF: 3.1
应用: IHC-P
反应种属: Mouse
发表时间: 2023 Oct
-
Transcriptome profile analysis revealed the potential mechanism of LIPUS treatment for Adriamycin-induced chronic kidney disease rat.
期刊: Heliyon
DOI: 10.1016/j.heliyon.2023.e21531
IF: 4
应用: WB
反应种属: Rat
发表时间: 2023 Nov
-
Anomanolide C suppresses tumor progression and metastasis by ubiquitinating GPX4-driven autophagy-dependent ferroptosis in triple negative breast cancer
期刊: International Journal Of Biological Sciences
DOI:
IF: 10.750
应用: WB
反应种属: Mouse
发表时间: 2023 May
-
Multifunctional Fe3O4-PEI@HA nanoparticles in the ferroptosis treatment of hepatocellular carcinoma through modulating reactive oxygen species
期刊: Colloids And Surfaces B: Biointerfaces
DOI: 10.1016/j.colsurfb.2023.113358
IF: 5.8
应用: WB
反应种属: Human
发表时间: 2023 May
-
Ferrostatin-1 improves BMSC survival by inhibiting ferroptosis
期刊: Archives Of Biochemistry And Biophysics
DOI:
IF: 4.114
应用: WB
反应种属: Rat
发表时间: 2023 Mar
-
FDX1 regulates leydig cell ferroptosis mediates PM2. 5-induced testicular dysfunction of mice
期刊: Ecotoxicology And Environmental Safety
DOI:
IF: 6.8
应用: WB
反应种属: Mouse
发表时间: 2023 Jul
-
Fisetin ameliorates fibrotic kidney disease in mice via inhibiting ACSL4-mediated tubular ferroptosis
期刊: Acta Pharmacologica Sinica
DOI:
IF: 8.2
应用: IHC-P
反应种属: Mouse
发表时间: 2023 Jan
-
Di-(2-ethylhexyl) phthalate induces ferroptosis in prepubertal mouse testes via the lipid metabolism pathway
期刊: Environmental Toxicology
DOI: 10.1002/tox.24065
IF: 4.5
应用: WB
反应种属: Mouse
发表时间: 2023 Dec
-
H1N1 influenza virus infection through NRF2-KEAP1-GCLC pathway induces ferroptosis in nasal mucosal epithelial cells
期刊: Free Radical Biology And Medicine
DOI:
IF: 7.4
应用: WB
反应种属: Mouse
发表时间: 2023 Aug
-
Low intensity pulsed ultrasound ameliorates Adriamycin-induced chronic renal injury by inhibiting ferroptosis
期刊: Redox Report
DOI:
IF: 3.8
应用: WB
反应种属: Rat
发表时间: 2023 Aug
-
Galangin ameliorates severe acute pancreatitis in mice by activating the nuclear factor E2-related factor 2/heme oxygenase 1 pathway
期刊: Biomedicine & Pharmacotherapy
DOI:
IF: 6.524
应用: WB
反应种属: Mouse
发表时间: 2021 Dec
同靶点 & 同通路的产品
ACSL4 / FACL4 Recombinant Rabbit Monoclonal Antibody [JE56-33] - BSA and Azide free
Application: WB,IHC-P
Reactivity: Human,Mouse,Rat
Conjugate: unconjugated


浙公网安备 33019202000643号