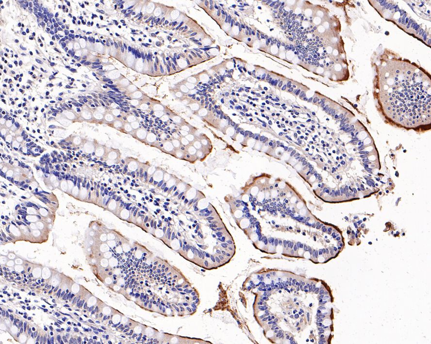
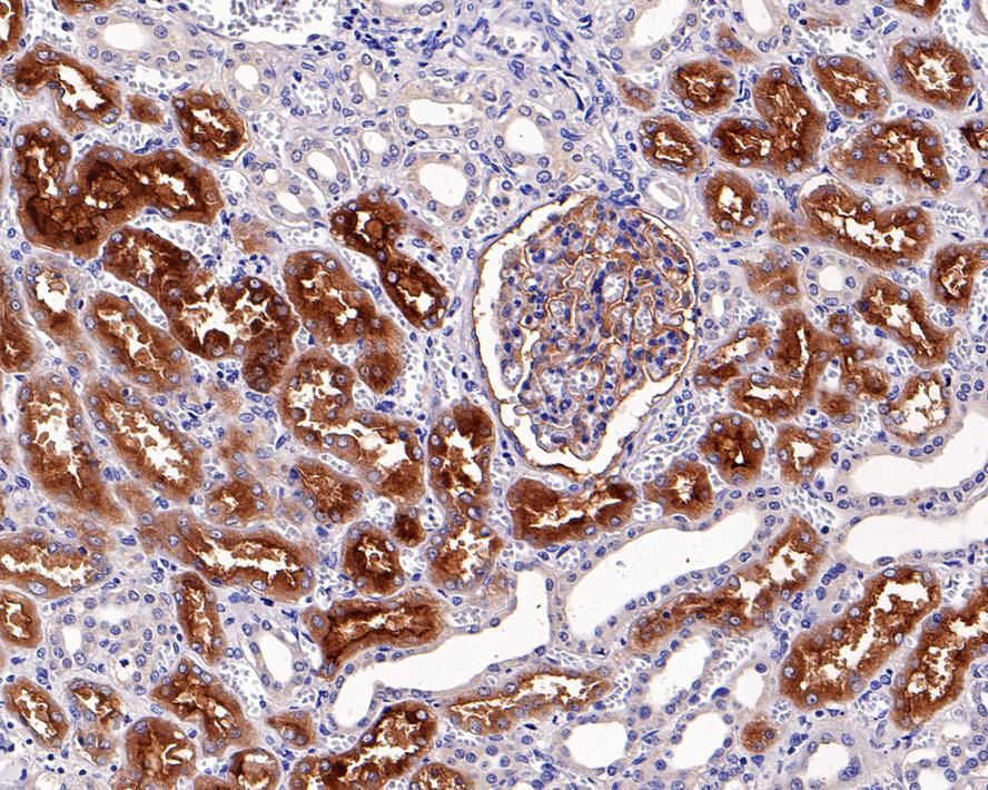
Catalog# ET7109-45
AP-A Recombinant Rabbit Monoclonal Antibody [JE46-03]
Application
-
WB
-
IHC-P
Reactivity
-
Human
Conjugation
-
unconjugated

浙公网安备 33019202000643号