Skip to content

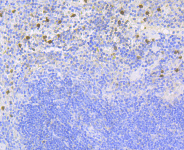
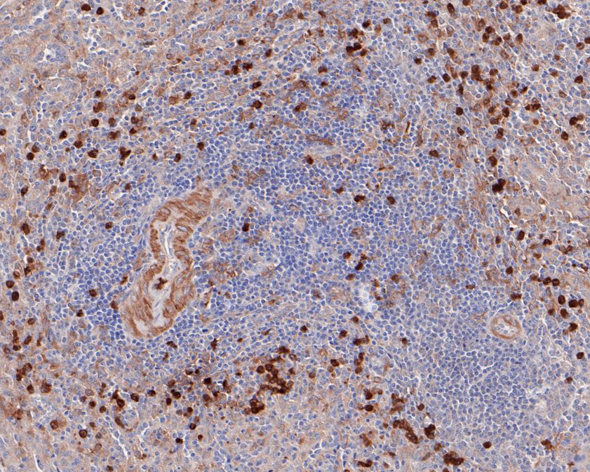
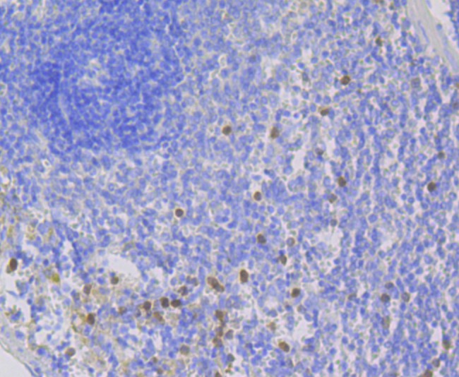
NOXA2 Recombinant Rabbit Monoclonal Antibody [JG86-31]

RMB: 900 特惠 1500

产品规格

Catalog# ET7108-72

NOXA2 Recombinant Rabbit Monoclonal Antibody [JG86-31]

Application
  • WB

  • IHC-P

  • IP

Reactivity
  • Human

  • Mouse

  • Rat

Conjugation
  • unconjugated

Close (esc)

Popup

Use this popup to embed a mailing list sign up form. Alternatively use it as a simple call to action with a link to a product or a page.

Age verification

By clicking enter you are verifying that you are old enough to consume alcohol.

搜索