Catalog# ET7107-61
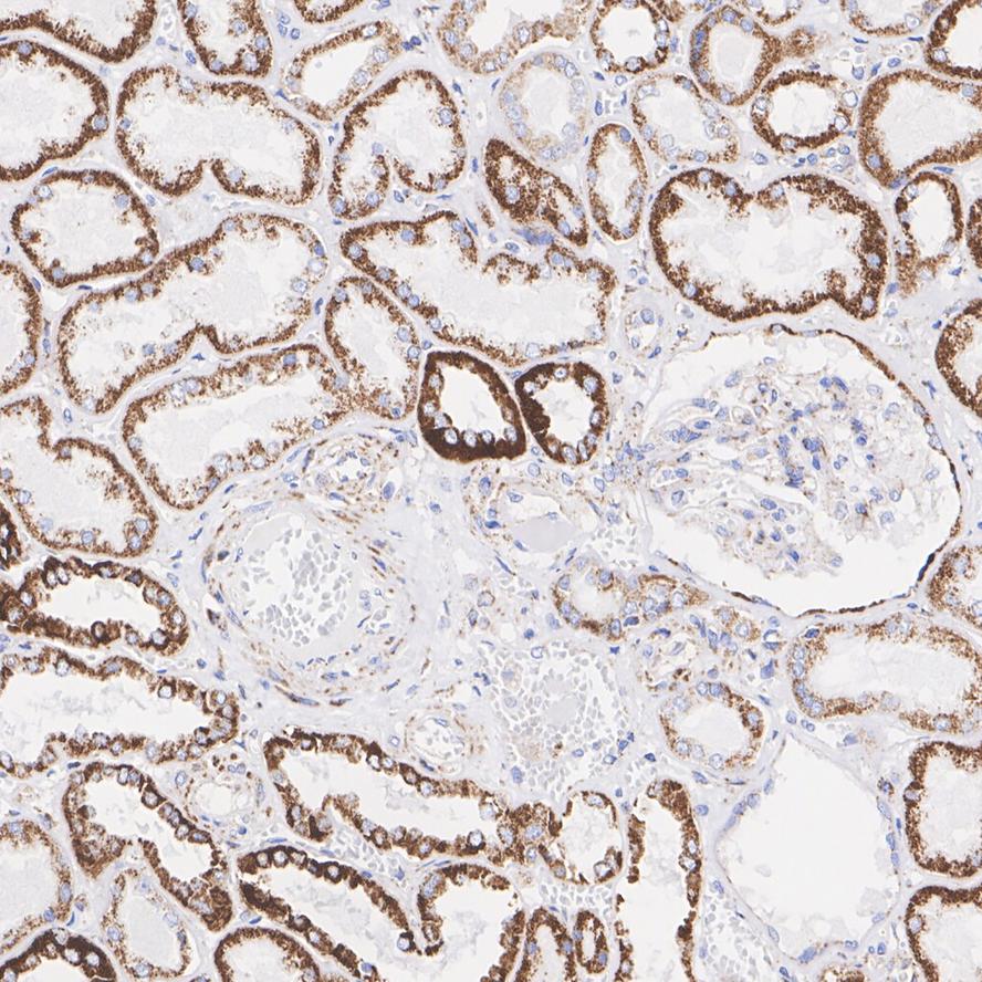
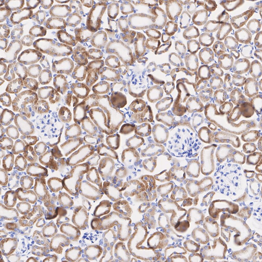
CYP17A1 Recombinant Rabbit Monoclonal Antibody [JB93-32]
Application
-
WB
-
IHC-P
-
IF-Tissue
Reactivity
-
Human
-
Mouse
-
Rat
This product has been cited in peer reviewed publications, see list HERE

