Catalog# ET7107-50
Securin Recombinant Rabbit Monoclonal Antibody [JB37-37]
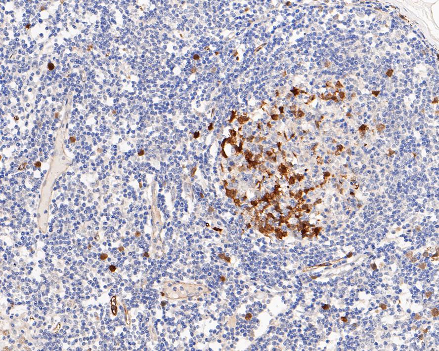
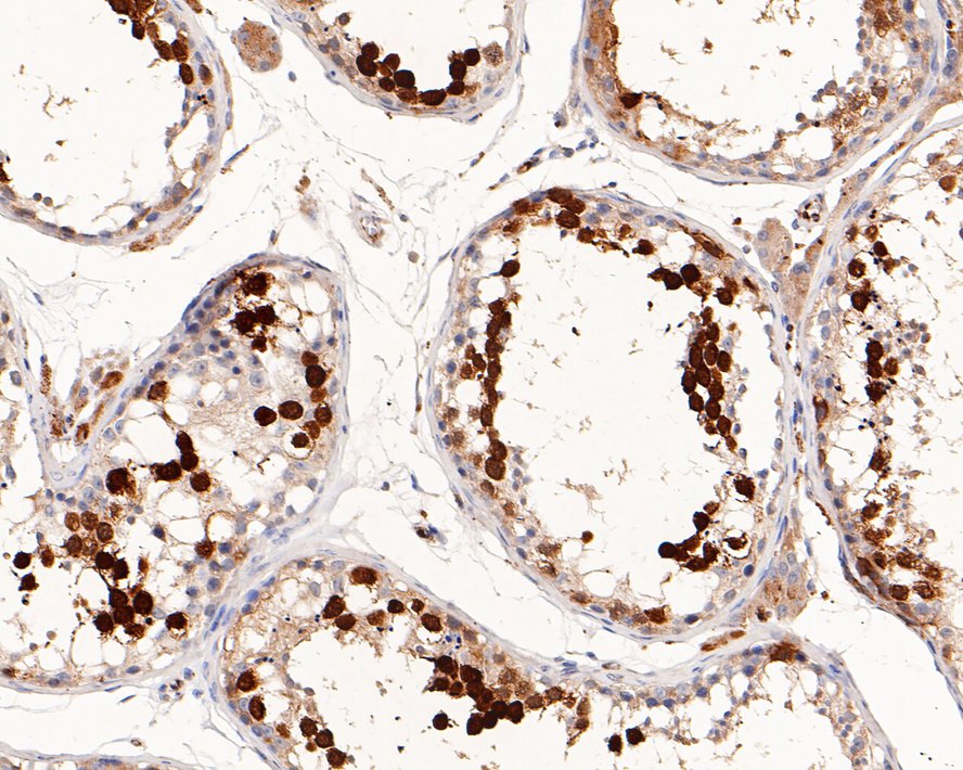
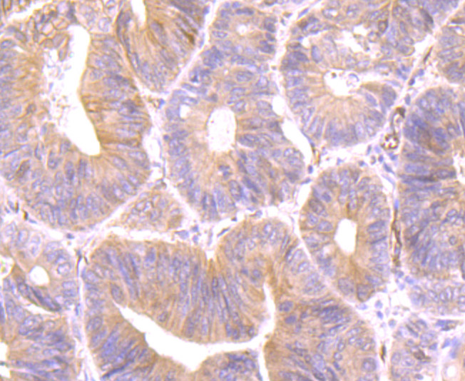
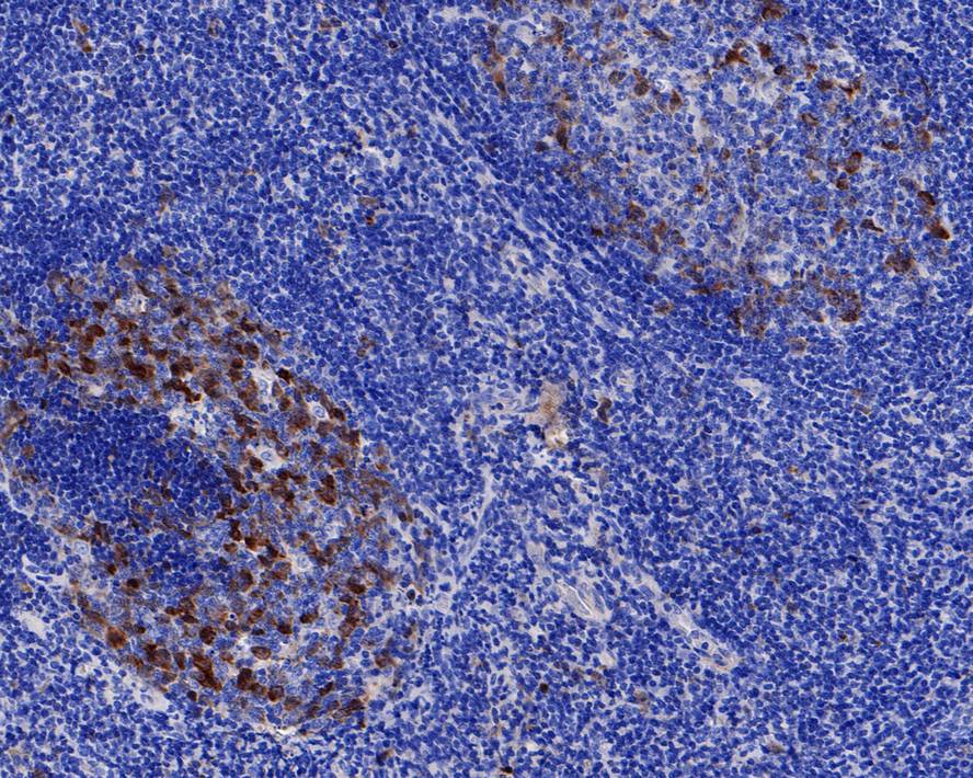
Application
-
WB
-
IF-Cell
-
IF-Tissue
-
IHC-P
-
FC
-
IP
Reactivity
-
Human
Conjugation
-
unconjugated
This product has been cited in peer reviewed publications, see list HERE

浙公网安备 33019202000643号