Catalog# ET1705-98
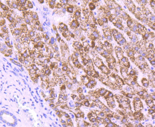
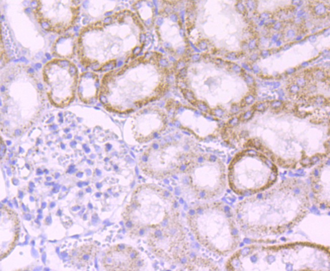
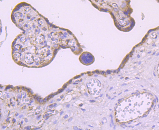
MMP-3 Recombinant Rabbit Monoclonal Antibody [JM46-22]
Application
-
WB
-
IHC-P
-
IF-Tissue
Reactivity
-
Human
-
Mouse
-
Rat
Conjugation
-
unconjugated
This product has been cited in peer reviewed publications, see list HERE

浙公网安备 33019202000643号