Catalog# ET1705-57
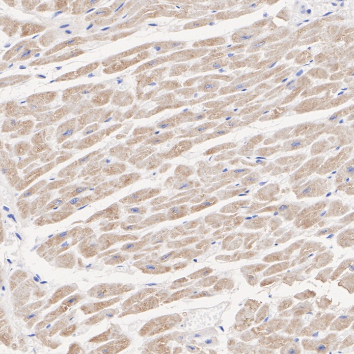
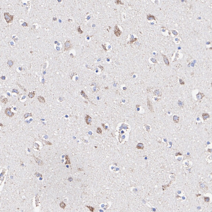
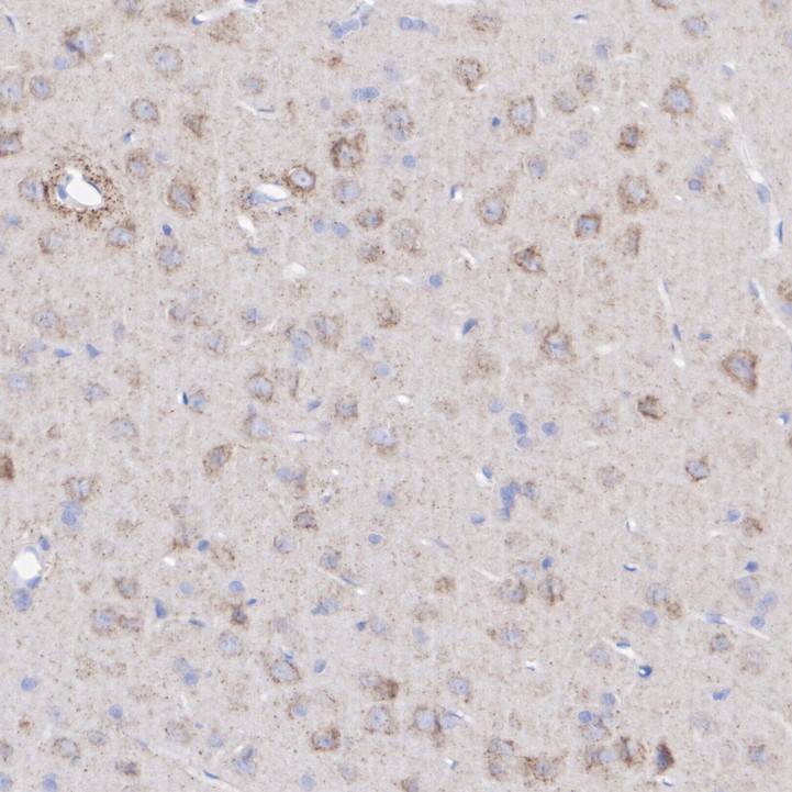
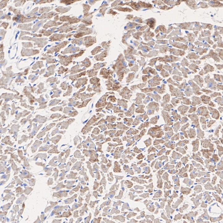
PDHB Recombinant Rabbit Monoclonal Antibody [JM66-33]
Application
-
WB
-
IHC-P
-
FC
-
IP
Reactivity
-
Human
-
Mouse
-
Rat
Conjugation
-
unconjugated
This product has been cited in peer reviewed publications, see list HERE


浙公网安备 33019202000643号