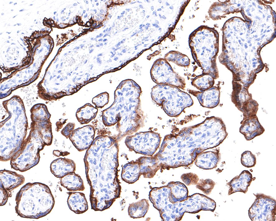
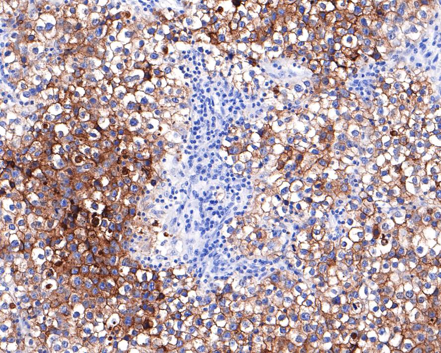
Catalog# ET1705-21
Placental alkaline phosphatase Recombinant Rabbit Monoclonal Antibody [JM22-53]
Application
-
WB
-
IF-Tissue
-
IHC-P
Reactivity
-
Human
Conjugation
-
unconjugated
This product has been cited in peer reviewed publications, see list HERE


浙公网安备 33019202000643号