Orphan receptor. Interaction with RXR shifts RXR from its role as a silent DNA-binding partner to an active ligand-binding subunit in mediating retinoid responses through target genes defined by LXRES. LXRES are DR4-type response elements characterized by direct repeats of two similar hexanuclotide half-sites spaced by four nucleotides. Plays an important role in the regulation of cholesterol homeostasis, regulating cholesterol uptake through MYLIP-dependent ubiquitination of LDLR, VLDLR and LRP8.
背景文献
1. Chen T. et. al. EGFR/FOXO3A/LXR-alpha Axis Promotes Prostate Cancer Proliferation and Metastasis and Dual-Targeting LXR-alpha/EGFR Shows Synthetic Lethality. Front Oncol. 2020 Nov
2. Xiao Y. et. al. miR-203 promotes HaCaT cell overproliferation through targeting LXR-alpha and PPAR-gamma. Cell Cycle. 2020 Aug
序列相似性
Belongs to the nuclear hormone receptor family. NR1 subfamily.
组织特异性
Visceral organs specific expression. Strong expression was found in liver, kidney and intestine followed by spleen and to a lesser extent the adrenals.
翻译后修饰
Ubiquitinated leading to its degradation by the proteasome.
Nuclear receptor subfamily 1 group H member 3 antibody
Oxysterols receptor LXR alpha antibody
Oxysterols receptor LXR-alpha antibody
RLD 1 antibody
RLD1 antibody
图片
Western blot analysis of LXR alpha on different lysates with Rabbit anti-LXR alpha antibody (ET1704-51) at 1/5,000 dilution.
Lane 1: Jurkat cell lysate (15 µg/Lane) Lane 2: HeLa cell lysate (15 µg/Lane) Lane 3: Mouse stomach tissue lysate (20 µg/Lane) Lane 4: Mouse lung tissue lysate (20 µg/Lane) Lane 5: Rat liver tissue lysate (20 µg/Lane) Lane 6: Rat lung tissue lysate (20 µg/Lane)
Predicted band size: 50 kDa Observed band size: 50 kDa
Exposure time: 1 minute; ECL: K1802;
4-20% SDS-PAGE gel.
Proteins were transferred to a PVDF membrane and blocked with 5% NFDM/TBST for 1 hour at room temperature. The primary antibody (ET1704-51) at 1/5,000 dilution was used in 5% NFDM/TBST at 4℃ overnight. Goat Anti-Rabbit IgG - HRP Secondary Antibody (HA1001) at 1/50,000 dilution was used for 1 hour at room temperature.
Western blot analysis of LXR alpha on different lysates with Rabbit anti-LXR alpha antibody (ET1704-51) at 1/5,000 dilution.
Lane 1: Jurkat cell lysate (20 µg/Lane) Lane 2: HepG2 cell lysate (20 µg/Lane) Lane 3: Huh7 cell lysate (20 µg/Lane) Lane 4: Mouse lung tissue lysate (40 µg/Lane) Lane 5: Rat liver tissue lysate (40 µg/Lane) Lane 6: Rat lung tissue lysate (40 µg/Lane)
Predicted band size: 50 kDa Observed band size: 50 kDa
Proteins were transferred to a PVDF membrane and blocked with 5% NFDM/TBST for 1 hour at room temperature. The primary antibody (ET1704-51) at 1/5,000 dilution was used in 5% NFDM/TBST at 4℃ overnight. Goat Anti-Rabbit IgG - HRP Secondary Antibody (HA1001) at 1/50,000 dilution was used for 1 hour at room temperature.
ICC staining of LXR alpha in HepG2 cells (green). Formalin fixed cells were permeabilized with 0.1% Triton X-100 in TBS for 10 minutes at room temperature and blocked with 1% Blocker BSA for 15 minutes at room temperature. Cells were probed with the primary antibody (ET1704-51, 1/50) for 1 hour at room temperature, washed with PBS. Alexa Fluor®488 Goat anti-Rabbit IgG was used as the secondary antibody at 1/1,000 dilution. The nuclear counter stain is DAPI (blue).
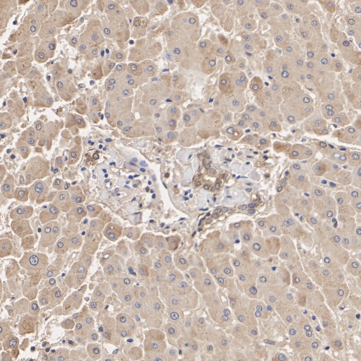
Immunohistochemical analysis of paraffin-embedded human liver tissue with Rabbit anti-LXR alpha antibody (ET1704-51) at 1/200 dilution.
The section was pre-treated using heat mediated antigen retrieval with Tris-EDTA buffer (pH 9.0) for 20 minutes. The tissues were blocked in 1% BSA for 20 minutes at room temperature, washed with ddH2O and PBS, and then probed with the primary antibody (ET1704-51) at 1/200 dilution for 1 hour at room temperature. The detection was performed using an HRP conjugated compact polymer system. DAB was used as the chromogen. Tissues were counterstained with hematoxylin and mounted with DPX.
Immunohistochemical analysis of paraffin-embedded mouse liver tissue with Rabbit anti-LXR alpha antibody (ET1704-51) at 1/200 dilution.
The section was pre-treated using heat mediated antigen retrieval with Tris-EDTA buffer (pH 9.0) for 20 minutes. The tissues were blocked in 1% BSA for 20 minutes at room temperature, washed with ddH2O and PBS, and then probed with the primary antibody (ET1704-51) at 1/200 dilution for 1 hour at room temperature. The detection was performed using an HRP conjugated compact polymer system. DAB was used as the chromogen. Tissues were counterstained with hematoxylin and mounted with DPX.
Immunohistochemical analysis of paraffin-embedded rat liver tissue with Rabbit anti-LXR alpha antibody (ET1704-51) at 1/200 dilution.
The section was pre-treated using heat mediated antigen retrieval with Tris-EDTA buffer (pH 9.0) for 20 minutes. The tissues were blocked in 1% BSA for 20 minutes at room temperature, washed with ddH2O and PBS, and then probed with the primary antibody (ET1704-51) at 1/200 dilution for 1 hour at room temperature. The detection was performed using an HRP conjugated compact polymer system. DAB was used as the chromogen. Tissues were counterstained with hematoxylin and mounted with DPX.
Flow cytometric analysis of LXR alpha was done on HepG2 cells. The cells were fixed, permeabilized and stained with the primary antibody (ET1704-51, 1/50) (red). After incubation of the primary antibody at room temperature for an hour, the cells were stained with a Alexa Fluor 488-conjugated Goat anti-Rabbit IgG Secondary antibody at 1/1000 dilution for 30 minutes.Unlabelled sample was used as a control (cells without incubation with primary antibody; black).
请注意: All products are "FOR RESEARCH USE ONLY AND ARE NOT INTENDED FOR DIAGNOSTIC OR THERAPEUTIC USE"