Catalog# ET1610-69
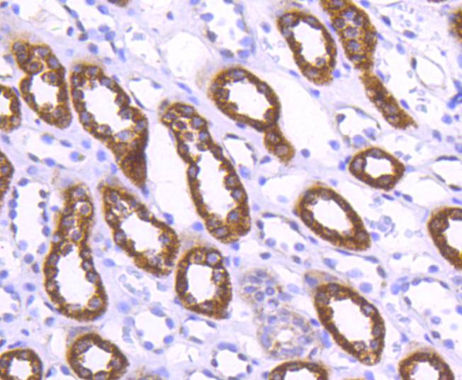
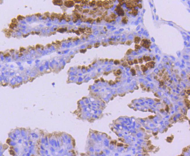
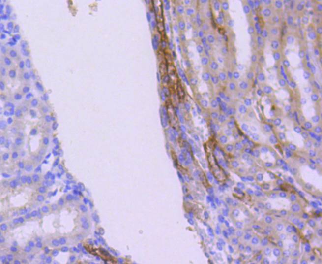
WASF2 Recombinant Rabbit Monoclonal Antibody [SC66-05]
Application
-
WB
-
IHC-P
Reactivity
-
Human
-
Mouse
Predicted reactivity
预测的种属支持售后
-
Rat
Conjugation
-
unconjugated

浙公网安备 33019202000643号