Catalog# ET1602-43
Survivin Recombinant Rabbit Monoclonal Antibody [SR44-02]
Application
-
WB
-
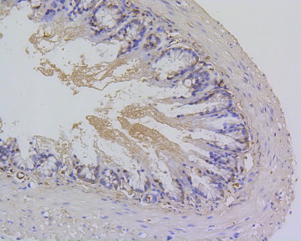
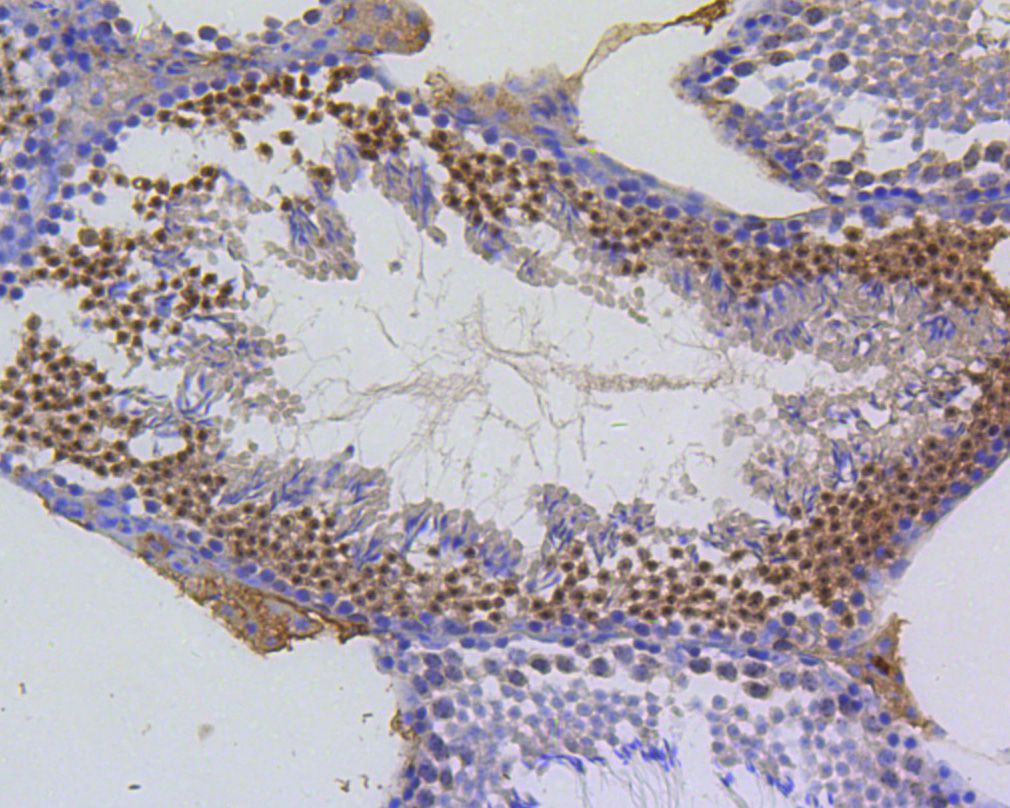
IHC-P
-
IP
Reactivity
-
Mouse
-
Rat
Conjugation
-
unconjugated
This product has been cited in peer reviewed publications, see list HERE

浙公网安备 33019202000643号