RMB: 950 特惠 1500 1500
产品规格
概述
产品名称
Alkaline Phosphatase Recombinant Rabbit Monoclonal Antibody [SA40-00]
抗体类型
Recombinant Rabbit monoclonal Antibody
免疫原
Synthetic peptide within human Alkaline Phosphatase aa 18-50.
种属反应性
Human, Mouse, Rat
验证应用
WB, IHC-P, IF-Tissue
分子量
Predicted band size: 57 kDa
阳性对照
Saos-2 cell lysate, HeLa cell lysate, A549 cell lysate, Mouse liver tissue lysate, Rat liver tissue lysate, HepG2, SW480, mouse kidney tissue, mouse jawbone tissue, rat liver tissue, mouse liver tissue, Hela.
偶联
unconjugated
克隆号
SA40-00
RRID
产品特性
形态
Liquid
浓度
存放说明
Shipped at 4℃. Store at +4℃ short term (1-2 weeks). It is recommended to aliquot into single-use upon delivery. Store at -20℃ long term.
存储缓冲液
1*TBS (pH7.4), 0.05% BSA, 40% Glycerol. Preservative: 0.05% Sodium Azide.
亚型
IgG
纯化方式
Protein A affinity purified.
应用稀释度
-
WB
-
1:5,000
-
IHC-P
-
1:1,000-1:8,000
-
IF-Tissue
-
1:200
靶点
功能
This gene encodes a member of the alkaline phosphatase family of proteins. There are at least four distinct but related alkaline phosphatases: intestinal, placental, placental-like, and liver/bone/kidney (tissue non-specific). The first three are located together on chromosome 2, while the tissue non-specific form is located on chromosome 1. The product of this gene is a membrane bound glycosylated enzyme that is not expressed in any particular tissue and is, therefore, referred to as the tissue-nonspecific form of the enzyme. Alternative splicing results in multiple transcript variants, at least one of which encodes a preproprotein that is proteolytically processed to generate the mature enzyme. This enzyme may play a role in bone mineralization. Mutations in this gene have been linked to hypophosphatasia, a disorder that is characterized by hypercalcemia and skeletal defects.
背景文献
1. Chen M. et. al. Low-dose X-ray irradiation promotes osteoblast proliferation, differentiation and fracture healing. PLoS One 9:e104016 (2014).
序列相似性
Belongs to the alkaline phosphatase family.
翻译后修饰
N-glycosylated.
亚细胞定位
Cell membrane, Mitochondrion membrane, Mitochondrion intermembrane space, Extracellular vesicle membrane.
别名
Alkaline phosphatase antibody
Alkaline phosphatase placental antibody
Alkaline phosphatase placental type antibody
Alkaline phosphatase Regan isozyme antibody
ALP antibody
Alp1 antibody
ALPP antibody
FLJ61142 antibody
Germ-cell alkaline phosphatase antibody
nagao isozyme antibody
展开Alkaline phosphatase antibody
Alkaline phosphatase placental antibody
Alkaline phosphatase placental type antibody
Alkaline phosphatase Regan isozyme antibody
ALP antibody
Alp1 antibody
ALPP antibody
FLJ61142 antibody
Germ-cell alkaline phosphatase antibody
nagao isozyme antibody
OTTHUMP00000164354 antibody
PALP antibody
Placental alkaline phosphatase 1 antibody
placental heat-stable alkaline phosphatase antibody
placental type antibody
PLAP antibody
PLAP-1 antibody
PLAP1 antibody
PPB1_HUMAN antibody
折叠图片
-
Western blot analysis of Alkaline Phosphatase on different lysates with Rabbit anti-Alkaline Phosphatase antibody (ET1601-21) at 1/5,000 dilution.
Lane 1: Saos-2 cell lysate (15 µg/Lane)
Lane 2: HeLa cell lysate (15 µg/Lane)
Lane 3: A549 cell lysate (15 µg/Lane)
Lane 4: Mouse liver tissue lysate (20 µg/Lane)
Lane 5: Rat liver tissue lysate (20 µg/Lane)
Predicted band size: 57 kDa
Observed band size: 75 kDa
Exposure time: 24 seconds; ECL: K1801;
4-20% SDS-PAGE gel.
Proteins were transferred to a PVDF membrane and blocked with 5% NFDM/TBST for 1 hour at room temperature. The primary antibody (ET1601-21) at 1/5,000 dilution was used in 5% NFDM/TBST at 4℃ overnight. Goat Anti-Rabbit IgG - HRP Secondary Antibody (HA1001) at 1:50,000 dilution was used for 1 hour at room temperature. -
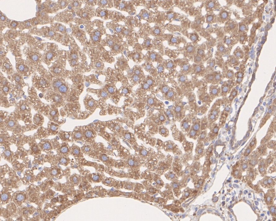
Immunohistochemical analysis of paraffin-embedded human liver tissue with Rabbit anti-Alkaline Phosphatase antibody (ET1601-21) at 1/8,000 dilution.
The section was pre-treated using heat mediated antigen retrieval with Tris-EDTA buffer (pH 9.0) for 20 minutes. The tissues were blocked in 1% BSA for 20 minutes at room temperature, washed with ddH2O and PBS, and then probed with the primary antibody (ET1601-21) at 1/8,000 dilution for 1 hour at room temperature. The detection was performed using an HRP conjugated compact polymer system. DAB was used as the chromogen. Tissues were counterstained with hematoxylin and mounted with DPX. -
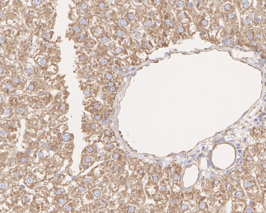
Immunohistochemical analysis of paraffin-embedded mouse liver tissue with Rabbit anti-Alkaline Phosphatase antibody (ET1601-21) at 1/8,000 dilution.
The section was pre-treated using heat mediated antigen retrieval with Tris-EDTA buffer (pH 9.0) for 20 minutes. The tissues were blocked in 1% BSA for 20 minutes at room temperature, washed with ddH2O and PBS, and then probed with the primary antibody (ET1601-21) at 1/8,000 dilution for 1 hour at room temperature. The detection was performed using an HRP conjugated compact polymer system. DAB was used as the chromogen. Tissues were counterstained with hematoxylin and mounted with DPX. -
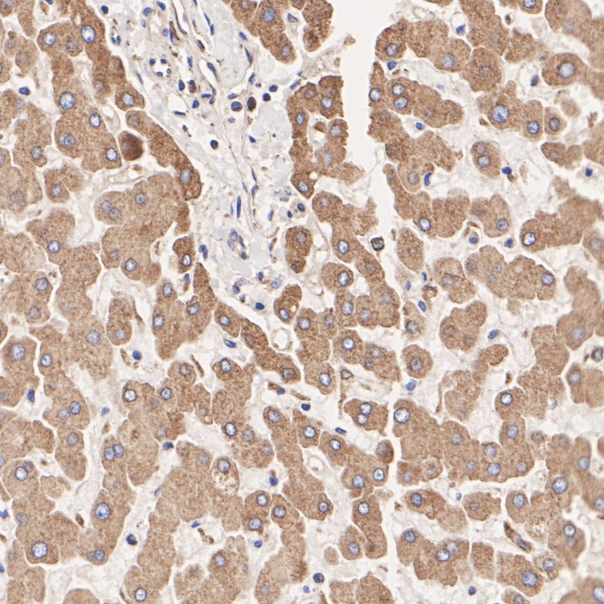
Immunohistochemical analysis of paraffin-embedded rat liver tissue with Rabbit anti-Alkaline Phosphatase antibody (ET1601-21) at 1/8,000 dilution.
The section was pre-treated using heat mediated antigen retrieval with Tris-EDTA buffer (pH 9.0) for 20 minutes. The tissues were blocked in 1% BSA for 20 minutes at room temperature, washed with ddH2O and PBS, and then probed with the primary antibody (ET1601-21) at 1/8,000 dilution for 1 hour at room temperature. The detection was performed using an HRP conjugated compact polymer system. DAB was used as the chromogen. Tissues were counterstained with hematoxylin and mounted with DPX. -
Immunohistochemical analysis of paraffin-embedded mouse jawbone tissue with Rabbit anti-Alkaline Phosphatase antibody (ET1601-21) at 1/200 dilution.
The section was pre-treated using heat mediated antigen retrieval with Tris-EDTA buffer (pH 9.0) for 20 minutes. The tissues were blocked in 1% BSA for 20 minutes at room temperature, washed with ddH2O and PBS, and then probed with the primary antibody (ET1601-21) at 1/200 dilution for 1 hour at room temperature. The detection was performed using an HRP conjugated compact polymer system. DAB was used as the chromogen. Tissues were counterstained with hematoxylin and mounted with DPX. -
Application: IF-Tissue
Species: Human
Site: liver
Sample: Paraffin-embedded section
Antibody concentration: 1/200 -
Application: IF-Tissue
Species: Mouse
Site: bone
Sample: Paraffin-embedded section
Antibody concentration: 1/200 -
Application: IF-Tissue
Species: Mouse
Site: bone
Sample: Paraffin-embedded section
Antibody concentration: 1/200
请注意: All products are "FOR RESEARCH USE ONLY AND ARE NOT INTENDED FOR DIAGNOSTIC OR THERAPEUTIC USE"
引文
-
Sympathetic overactivity-induced type H endothelial cell senescence contributes to the impairment of vascularized osteogenesis by PKM2-mediated glycolysis in preclinical stages of Alzheimer's mice
期刊: Bone
DOI: 10.1016/j.bone.2026.117859
IF: 3.6
应用: IHC
反应种属: Mouse
发表时间: 2026 Mar
-
Mild Photothermal Stimulation Driven Nanoparticles Hybrid Dual-Network Hydrogels for Bone Repair
期刊: Small
DOI: 10.1002/smll.202512528
IF: 12.1
应用: WB,IF
反应种属: Rat
发表时间: 2026 Jan
-
Farnesol Targets the GSTP1/MAPK Axis to Inhibit Trauma-Induced Tendon Heterotopic Ossification
期刊: Phytotherapy Research
DOI: 10.1002/ptr.70283
IF: 6.3
应用: WB
反应种属: Mouse
发表时间: 2026 Feb
-
Aldehyde dehydrogenase family 6A1 restores implant osseointegration in hyperlipidemia by disrupting ROS-ERS-LPO vicious cycle and reestablishing adhesion-osteogenesis coupling
期刊: International Journal Of Biological Macromolecules
DOI: 10.1016/j.ijbiomac.2026.150700
IF: 8.5
应用: IF-tissue
反应种属: Mouse
发表时间: 2026 Feb
-
Biomimetic hydrogel strategy inspired by sea cucumbers: Integrating antibacterial, osteoimmune, and osteogenic functions for infected bone repair
期刊: Biomaterials
DOI: 10.1016/j.biomaterials.2026.124080
IF: 12.9
应用: WB
反应种属: Rat
发表时间: 2026 Feb
-
Interconnected Porous Hydroxyapatite Scaffolds Functionalized by the Peptide DP7-C Incorporating miR-26a with Enhanced Osteogenic Activity for Critical Bone Defect Regeneration
期刊: ACS Biomaterials Science & Engineering
DOI: 10.1021/acsbiomaterials.5c00595
IF: 5.5
应用: IHC
反应种属: Rat
发表时间: 2025 Sept
-
Piezo1 activation suppresses bone marrow adipogenesis to prevent osteoporosis by inhibiting a mechanoinflammatory autocrine loop
期刊: Signal Transduction And Targeted Therapy
DOI: 10.1038/s41392-025-02455-w
IF: 52.7
应用: IHC
反应种属: Mouse
发表时间: 2025 Oct
-
Plectin promotes bone formation via phase separation and sequestering annexin A2
期刊: Biochemical Pharmacology
DOI: 10.1016/j.bcp.2025.117403
IF: 5.6
应用: WB
反应种属: Mouse
发表时间: 2025 Oct
-
Evaluation of bone regenerative potential of sticky bone combined with DPBM and APRF in a rabbit tibial model: an in vivo study
期刊: BMC Oral Health
DOI: 10.1186/s12903-025-07085-w
IF: 3.1
应用: IHC
反应种属: Rabbit
发表时间: 2025 Oct
-
Diosgenin activates ERα-dependent PI3K/AKT/GSK3β signaling to enhance brain-derived serotonin and alleviate postmenopausal bone loss
期刊: Journal Of Advanced Research
DOI: 10.1016/j.jare.2025.11.053
IF: 13
应用: IHC
反应种属: Mouse
发表时间: 2025 Nov
-
Lipid droplet accumulation impairs osseointegration by disturbing the osteogenesis-osteoclasis balance on titanium implant surface in hyperlipidemia
期刊: BMC Oral Health
DOI: 10.1186/s12903-025-06218-5
IF: 2.6
应用: IF
反应种属: Mouse
发表时间: 2025 May
-
Zinc finger protein 750 is a novel regulator of osteoblast differentiation and bone homeostasis by transcriptionally deactivating SNAI1 signaling
期刊: Stem Cells Translational Medicine
DOI: 10.1093/stcltm/szaf013
IF: 4.9
应用: IHC
反应种属: Mouse
发表时间: 2025 May
-
Tannic Acid-Programmed Hydroxyapatite Biomineralization Enables Bilayered Bone-Mimetic Hydrogels for Mandibular Regeneration
期刊: Chemistry of Materials
DOI: 10.1021/acs.chemmater.5c00840
IF: 7.2
应用: IF,IHC
反应种属: Rat
发表时间: 2025 May
-
Impact of intercellular adhesion molecule 1-positive dental pulp stem cells in deep caries progression
期刊: International endodontic journal
DOI: 10.1111/iej.14248
IF: 5.4
应用: WB
反应种属: Human
发表时间: 2025 May
-
Klotho senses mechanical stimuli and modulates tension-induced osteogenesis
期刊: Bone
DOI: 10.1016/j.bone.2025.117464
IF: 3.5
应用: IHC-P
反应种属: Human
发表时间: 2025 Mar
-
Synergistic effects of polydopamine-coated reduced graphene oxide on osteogenesis and anti-inflammation in periodontitis
期刊: Journal Of Materials Science-materials In Medicine
DOI: 10.1007/s10856-025-06905-3
IF: 4.5
应用: WB
反应种属: Rat
发表时间: 2025 Jun
-
One-step strategy for fabricating icariin-encapsulated biomimetic Scaffold: Orchestrating immune, angiogenic, and osteogenic cascade for enhanced bone regeneration
期刊: Bioactive Materials
DOI: 10.1016/j.bioactmat.2025.06.001
IF: 20.3
应用: IF
反应种属: Rat
发表时间: 2025 Jun
-
α-Asarone Promotes Tendon–Bone Healing Through Regulating Dmp1 Transcription via Targeting Transcription Factor PPARG in BMSCs
期刊: FASEB Journal
DOI: 10.1096/fj.202403274RR
IF: 4.2
应用: WB
反应种属: Mouse,Human
发表时间: 2025 Jun
-
Mechano-sensitive long noncoding RNA AK091765 inhibits bone formation via microRNA-489-3p binding
期刊: Acta Astronautica
DOI: 10.1016/j.actaastro.2025.06.060
IF: 3.4
应用: WB
反应种属: Human
发表时间: 2025 Jun
-
Maresin1 ameliorates osseointegration in type 2 diabetes mellitus by promoting FAM134B-mediated ER-phagy in osteoblasts
期刊: Biochemical Pharmacology
DOI: 10.1016/j.bcp.2025.117099
IF: 5.6
应用: WB
反应种属: Mouse
发表时间: 2025 Jul
-
Aldehyde Dehydrogenase 6 Family Member A1 Facilitates Ti Implant Osseointegration in Hyperlipidemia
期刊: Oral Diseases
DOI: 10.1111/odi.15342
IF: 2.9
应用: WB,IF
反应种属: Mouse
发表时间: 2025 Jul
-
LncRNA CTD-2555A7.2 promotes bone formation with LncRNA-specific cascade amplification strategy
期刊: Scientific Reports
DOI: 10.1038/s41598-025-05826-z
IF: 3.9
应用: WB
反应种属: Human
发表时间: 2025 Jul
-
Improved Black Phosphorus Nanocomposite Hydrogel for Bone Defect Repairing: Mechanisms for Advancing Osteogenesis
期刊: Advanced Healthcare Materials
DOI: 10.1002/adhm.202404934
IF: 9.6
应用: WB,IHC
反应种属: Rat
发表时间: 2025 Jan
-
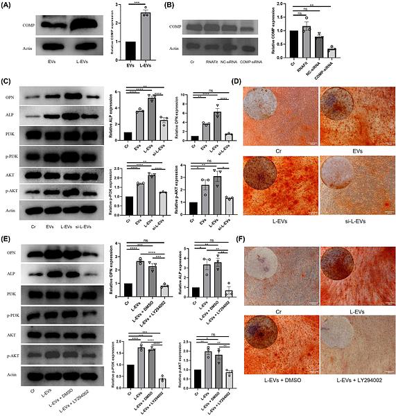
Low-intensity pulsed ultrasound enhances the osteogenic potential of PDLSCs-derived extracellular vesicles through COMP/PI3K/AKT
期刊: FASEB Journal
DOI:
IF: 4.4
应用: WB
反应种属: Human
发表时间: 2025 Jan
-
Improved Black Phosphorus Nanocomposite Hydrogel for Bone Defect Repairing: Mechanisms for Advancing Osteogenesis
期刊: Advanced Healthcare Materials
DOI:
IF: 10
应用: WB,IHC-P
反应种属: Rat
发表时间: 2025 Jan
-
Low-intensity pulsed ultrasound enhances the osteogenic potential of PDLSCs-derived extracellular vesicles through COMP/PI3K/AKT
期刊: FASEB JOURNAL
DOI: 10.1096/fj.202402463R
IF: 4.2
应用: WB
反应种属: Human
发表时间: 2025 Jan
-
Development of a Dual Gene-Targeted Multi-Sirna with Branched Structure and Its Role in the Therapy of Liver Cancer
期刊: Pharmaceuticals
DOI: 10.3390/ph18121844
IF: 4.8
应用: WB
反应种属: Human
发表时间: 2025 Dec
-
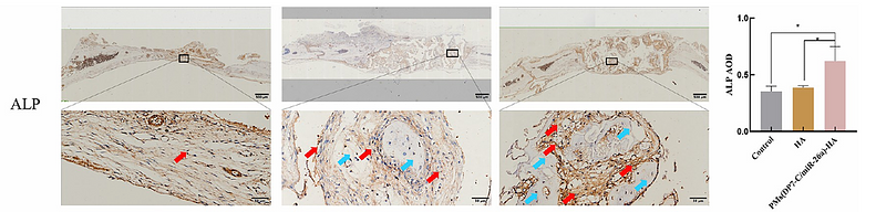
Injectable Dual Network Hydrogel Containing Mg2+-Gallate-Based MOF and Bone Growth Polypeptide for Extraction Socket Site Preservation
期刊: ACS Biomaterials Science & Engineering
DOI: 10.1021/acsbiomaterials.5c01060
IF: 5.5
应用: IHC,WB
反应种属: Rat
发表时间: 2025 Aug
-
M2 Macrophage-Derived Extracellular Vesicles Reprogram Immature Neutrophils into Anxa1hi Neutrophils to Enhance Inflamed Bone Regeneration
期刊: Advanced Science
DOI: 10.1002/advs.202416159
IF: 14.3
应用: IHC-P,IF
反应种属: Mouse
发表时间: 2025 Apr
-
A pH-Responsive Polyetheretherketone Implant Modified with a Core–Shell Metal–Organic Framework to Promote Antibacterial and Osseointegration Abilities
期刊: Biomaterials Research
DOI: 10.34133/bmr.0188
IF: 8.1
应用: WB
反应种属: Rat
发表时间: 2025 Apr
-
Kaempferol combats the osteogenic differentiation damage of periodontal ligament stem cells in periodontitis via regulating EphrinB2-mediated PI3K/Akt and P38 pathways
期刊: Phytomedicine
DOI: 10.1016/j.phymed.2025.156733
IF: 6.7
应用: WB
反应种属: Human
发表时间: 2025 Apr
-
DCI improves diabetic encephalopathy by modulating the BDNF/NF-κB/GSK-3β pathway
期刊: Experimental Neurology
DOI: 10.1016/j.expneurol.2025.115236
IF: 4.6
应用: IHC,WB
反应种属: Rat
发表时间: 2025 Apr
-
Precision Reactive Species Scavenging Enabled by Engineered Manganese-Doped Bimetallic MOF for Tailored Stem Cell Fate Regulation
期刊: Nanoscale
DOI: 10.1039/D5NR00890E
IF: 5.8
应用: IF
反应种属: Mouse
发表时间: 2025 Apr
-
KLF6-mediated glutamine metabolism governs odontogenic differentiation and matrix mineralization of dental pulp stem cells
期刊: Stem Cell Research & Therapy
DOI: 10.1186/s13287-025-04308-3
IF: 7.1
应用: WB
反应种属: Human
发表时间: 2025 Apr
-
Metformin reduced the alkaline resistance of Enterococcus faecalis against calcium hydroxide via Man-PTS EII: in vitro and in vivo studies
期刊: Clinical Oral Investigations
DOI: 10.1007/s00784-024-05909-7
IF: 3.1
应用:
反应种属:
发表时间: 2024 Sept
-
Mitochondria-related HSDL2 is a potential biomarker in temporal lobe epilepsy by modulating astrocytic lipid metabolism
期刊: Neurotherapeutics
DOI: https://doi.org/10.1016/j.neurot.2024.e00447
IF: 5.7
应用: IHC-P
反应种属: Rat
发表时间: 2024 Sep
-
ED-71 promotes osseointegration of titanium implants in a rat model of GIOP by alleviating the effects of dexamethasone on bone remodeling in a SIRT1-dependent manner
期刊: Journal Of Oral Biosciences
DOI:
IF: 2.6
应用: IHC-P,WB
反应种属: Rat
发表时间: 2024 Oct
-
The effects of heat and hydrogen peroxide treatment on the osteoinductivity of demineralized cortical bone: a potential method for preparing tendon/ligament repair scaffolds
期刊: Regenerative Biomaterials
DOI:
IF: 5.6
应用: WB
反应种属: Cow
发表时间: 2024 Oct
-
Low-intensity pulsed ultrasound regulates bone marrow mesenchymal stromal cells differentiation and inhibits bone loss by activating the IL-11-Wnt/β-catenin signaling pathway
期刊: International Immunopharmacology
DOI:
IF: 4.8
应用: WB
反应种属: Mouse
发表时间: 2024 Oct
-
Matrix vesicles from osteoblasts promote atherosclerotic calcification
期刊: Matrix Biology
DOI:
IF: 4.5
应用: WB
反应种属: Human
发表时间: 2024 Oct
-
Aβ -induced excessive mitochondrial fission drives type H blood vessels injury to aggravate bone loss in APP/PS1 mice with Alzheimer's diseases
期刊: Aging Cell
DOI: 10.1111/acel.14374
IF: 8
应用:
反应种属:
发表时间: 2024 Oct
-
A Rat Model for Microimplant-assisted Rapid Palatal Expansion
期刊: Biochemical And Biophysical Research Communications
DOI:
IF: 2.5
应用: IHC-P
反应种属: Rat
发表时间: 2024 Nov
-
Plexin-B2 Mediates Orthodontic Tension-Induced Osteogenesis via the RhoA/F-Actin/YAP Pathway
期刊: Journal Of Periodontal Research
DOI: 10.1111/jre.13358
IF: 3.4
应用: WB
反应种属: Mouse
发表时间: 2024 Nov
-
Capsaicin attenuates Porphyromonas gingivalis-suppressed osteogenesis of periodontal ligament stem cells via regulating mitochondrial function and activating PI3K/AKT/mTOR pathway
期刊: Journal Of Periodontal Research
DOI: 10.1111/jre.13252
IF: 3.4
应用:
反应种属:
发表时间: 2024 May
-
PGC-1α/LDHA signaling facilitates glycolysis initiation to regulate mechanically induced bone remodeling under inflammatory microenvironment
期刊: Bone
DOI:
IF: 4.1
应用: WB,IHC-P
反应种属: Rat
发表时间: 2024 May
-
Microfluidic bone chip to study osteogenesis of porous substrate topographies in normal and osteoporotic microenvironments
期刊: European Cells And Materials
DOI:
IF: 3
应用: IF
反应种属: Mouse
发表时间: 2024 Jun
-
Mussel-inspired immunomodulatory and osteoinductive dual-functional hydroxyapatite nanoplatform for promoting bone regeneration
期刊: Journal Of Nanobiotechnology
DOI:
IF: 10.2
应用: WB
反应种属: Mouse
发表时间: 2024 Jun
-
Multifunctional surface of the nano-morphic PEEK implant with enhanced angiogenic, osteogenic, and antibacterial properties
期刊: Regenerative Biomaterials
DOI:
IF: 5.8
应用: IF
反应种属: Rat
发表时间: 2024 Jun
-
Osteoking prevents bone loss and enhances osteoblastic bone formation by modulating the AGEs/IGF‐1/β‐catenin/OPG pathway in type 2 diabetic db/db mice
期刊: Cell Biology International
DOI:
IF: 3.3
应用: WB
反应种属: Mouse
发表时间: 2024 Jul
-
ED-71 ameliorates bone regeneration in type 2 diabetes by reducing ferroptosis in osteoblasts via the HIF1α pathway
期刊: European Journal Of Pharmacology
DOI:
IF: 5
应用: WB
反应种属: Rat
发表时间: 2024 Jan
-
LepR-expressing cells are a critical population in periodontal healing post periodontitis
期刊: Journal Of Bone And Mineral Research
DOI:
IF: 6.4
应用: WB
反应种属: Mouse
发表时间: 2024 Jan
-
MicroRNA-29c-tetrahedral framework nucleic acids: Towards osteogenic differentiation of mesenchymal stem cells and bone regeneration in critical-sized calvarial defects
期刊: Cell Proliferation
DOI: 10.1111/cpr.13624
IF: 5.9
应用: IF,WB
反应种属: Rat
发表时间: 2024 Feb
-
Polydopamine-functionalized nanohydroxyapatite coated exosomes with enhanced cytocompatibility and osteogenesis for bone regeneration
期刊: SAGE Journals
DOI:
IF:
应用: WB
反应种属: Rat
发表时间: 2024 Dec
-
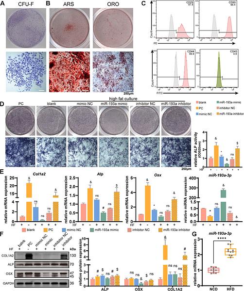
Hyperlipidemia impairs bone repair and regeneration via miR-193a-3p/STMN1/PI3K/Akt axis
期刊: Biochemical Pharmacology
DOI: 10.1016/j.bcp.2024.116693
IF: 5.3
应用: WB
反应种属: Rat
发表时间: 2024 Dec
-
A Multifunctional miRNA Delivery System Based on Tetrahedral Framework Nucleic Acids for Regulating Inflammatory Periodontal Ligament Stem Cells and Attenuating Periodontitis Bone Loss
期刊: ACS Applied Materials & Interfaces
DOI:
IF: 8.3
应用: WB
反应种属: Rat
发表时间: 2024 Dec
-
Mechanically induced M2 macrophages are involved in bone remodeling of the midpalatal suture during palatal expansion
期刊: Progress In Orthodontics
DOI:
IF: 3.5
应用: IHC-P
反应种属: Rat
发表时间: 2024 Aug
-
Ions incorporated titanium implant for staged regulation of antibacterial activity and immunoregulation-mediated osteogenesis
期刊: Nanoscale
DOI:
IF: 6.7
应用: IF
反应种属: Rat
发表时间: 2024 Apr
-
CDC42‑mediated Wnt signaling facilitates odontogenic differentiation of DPCs during tooth root elongation
期刊: Stem Cell Research & Therapy
DOI:
IF: 7.5
应用: WB
反应种属: Mouse,Rat
发表时间: 2023 Sept
-
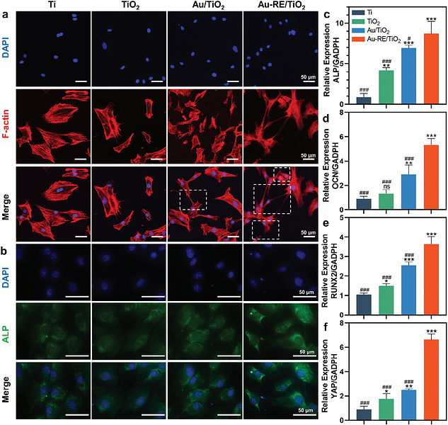
Photoelectrons Sequentially Regulate Antibacterial Activity and Osseointegration of Titanium Implants
期刊: Advanced Materials
DOI: 10.1002/adma.202307756
IF: 29.4
应用: IF
反应种属: Mouse
发表时间: 2023 Nov
-
Cyclic tensile force modifies calvarial osteoblast function via the interplay between ERK1/2 and STAT3
期刊: BMC Molecular and Cell Biology
DOI:
IF: 2.813
应用: WB
反应种属: Mouse
发表时间: 2023 Mar
-
Periodontal Ligament Stem Cell-Derived Extracellular Vesicles Enhance Tension-Induced Osteogenesis
期刊: ACS Biomaterials Science & Engineering
DOI:
IF:
应用: WB
反应种属: Human,Mouse
发表时间: 2023 Jan
-
Hyperlipidemia impacts osteogenesis via lipophagy
期刊: Bone
DOI:
IF:
应用: WB
反应种属: Mouse
发表时间: 2023 Feb
-
Cyclic di-adenosine monophosphate regulates the osteogenic and adipogenic differentiation of hPDLSCs via MAPK and NF-κB signaling
期刊: Acta Biochimica Et Biophysica Sinica
DOI:
IF: 3.511
应用: WB
反应种属: Human
发表时间: 2023 Feb
-
Diabetic and nondiabetic BMSC–derived exosomes affect bone regeneration via regulating miR-17-5p/SMAD7 axis
期刊: International Immunopharmacology
DOI:
IF: 5.6
应用: WB
反应种属: Rat
发表时间: 2023 Dec
-
Enzyme-Mineralized PVASA Hydrogels with Combined Toughness and Strength for Bone Tissue Engineering
期刊: ACS Applied Materials & Interfaces
DOI: 10.1021/acsami.3c14006
IF: 9.5
应用: IF
反应种属: Mouse
发表时间: 2023 Dec
-
Sinomenine Inhibits Orthodontic Tooth Movement and Root Resorption in Rats and Enhances Osteogenic Differentiation of PDLSCs
期刊: Drug Design Development And Therapy
DOI:
IF: 4.319
应用: WB
反应种属: Rat
发表时间: 2022 Sept
-
Involvement of PI3K/Akt signaling pathway in promoting osteogenesis on titanium implant surfaces modified with novel non-thermal atmospheric plasma
期刊: Frontiers In Bioengineering And Biotechnology
DOI:
IF: 6.064
应用: WB
反应种属: Mouse
发表时间: 2022 Sept
-
miR-210-3p suppresses osteogenic differentiation of MC3T3-E1 by targeting brain derived neurotrophic factor (BDNF)
期刊: Journal Of Orthopaedic Surgery And Research
DOI:
IF: 2.677
应用: WB
反应种属: Mouse
发表时间: 2022 Sept
-
Stiff and Tough Hydrogels Prepared Through Integration of Ionic Cross-linking and Enzymatic Mineralization
期刊: Acta Biomaterialia
DOI:
IF: 9.7
应用: IF-cell
反应种属: Rat
发表时间: 2022 Sep
-
Lycium barbarum polysaccharide‐glycoprotein promotes osteogenesis in hPDLSCs via ERK activation
期刊: Oral Diseases
DOI:
IF: 3.8
应用: WB
反应种属: Human
发表时间: 2022 Oct
-
The role of ephrinB2-EphB4 signalling in bone remodelling during orthodontic tooth movement
期刊: Orthodontics & Craniofacial Research
DOI: 10.1111/ocr.12591
IF: 2.563
应用: IHC-P
反应种属: Rat
发表时间: 2022 May
-
Accelerated bone defect regeneration through sequential activation of the M1 and M2 phenotypes of macrophages by a composite BMP-2@SIS hydrogel: An immunomodulatory perspective
期刊: Composites Part B: Engineering
DOI: 10.1016/j.compositesb.2022.110149
IF: 11.322
应用: IHC-P
反应种属: Rat
发表时间: 2022 Jul
-
Quantitative Proteomics Revealed the Pharmacodynamic Network of Bugu Shengsui Decoction Promoting Osteoblast Proliferation
期刊: Frontiers In Endocrinology
DOI:
IF: 5.555
应用: WB
反应种属: Mouse
发表时间: 2022 Jan
-
Noncanonical Wnt5a Signaling Suppresses Hippo/TAZ-Mediated Osteogenesis Partly Through the Canonical Wnt Pathway in SCAPs
期刊: Drug Design Development And Therapy
DOI:
IF: 4.16
应用: WB
反应种属: Human
发表时间: 2022 Feb
-
Fluid Shear Stress Regulates Osteogenic Differentiation via AnnexinA6-Mediated Autophagy in MC3T3-E1 Cells
期刊: International Journal Of Molecular Sciences
DOI:
IF: 6.208
应用: WB
反应种属: Human
发表时间: 2022 Dec
-
Pasture intake protects against commercial diet-induced lipopolysaccharide production facilitated by gut microbiota through activating intestinal alkaline phosphatase enzyme in meat geese
期刊: Frontiers In Immunology
DOI:
IF: 8.786
应用: WB
反应种属: Human
发表时间: 2022 Dec
-
A grooved porous hydroxyapatite scaffold induces osteogenic differentiation via regulation of PKA activity by upregulating miR‐129‐5p expression
期刊: Journal Of Periodontal Research
DOI:
IF: 3.5
应用: IF-cell
反应种属: Mouse
发表时间: 2022 Dec
-
Distinct osteogenic effect of different periosteum derived cells via Hippo-YAP cascade signaling
期刊: Cell Cycle
DOI: 10.1080/15384101.2022.2111768
IF: 5.173
应用: IF
反应种属: Rat
发表时间: 2022 Aug
-
Maresin1 Suppresses High-Glucose-Induced Ferroptosis in Osteoblasts via NRF2 Activation in Type 2 Diabetic Osteoporosis
期刊: Cells
DOI:
IF: 7.666
应用: WB
反应种属: Rat
发表时间: 2022 Aug
-
METTL5 regulates cranial suture fusion via Wnt signaling
期刊: Fundamental Research
DOI:
IF: NA
应用: WB
反应种属: Mouse
发表时间: 2022 Apr
-
Bioswitchable Delivery of microRNA by Framework Nucleic Acids: Application to Bone Regeneration
期刊: Small
DOI:
IF: 13.281
应用:
反应种属: Mouse
发表时间: 2021 Nov
-
Mechanosensitive Piezo1 in Periodontal Ligament Cells Promotes Alveolar Bone Remodeling During Orthodontic Tooth Movement
期刊: Front Physiology
DOI:
IF: 4.564
应用: IHC-P,WB
反应种属: Rat
发表时间: 2021 Nov
-
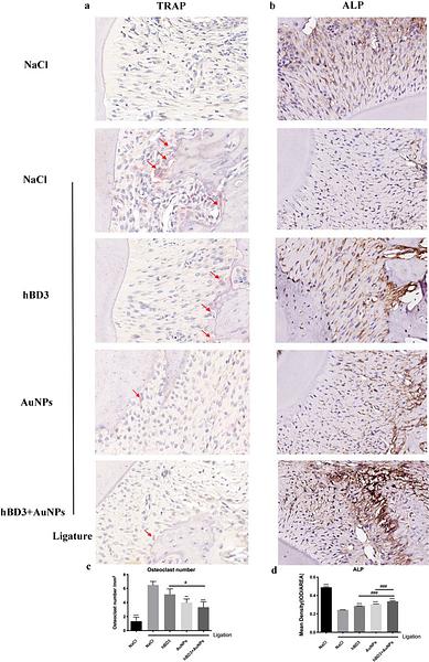
Effects of gold nanoparticles combined with human β-defensin 3 on the alveolar bone loss of periodontitis in rat
期刊: Biomedical Engineering Online
DOI:
IF: 2.812
应用: IHC-P
反应种属: Rat
发表时间: 2021 Nov
-
Lithium chloride promotes osteogenesis and suppresses apoptosis during orthodontic tooth movement in osteoporotic model via regulating autophagy. Bioactive materials, 6(10), 3074–3084.
期刊: Bioactive Materials
DOI:
IF: 8.724
应用: WB
反应种属: Mouse
发表时间: 2021 Mar
-
The role of EphB4/ephrinB2 signaling in root repair after orthodontically-induced root resorption. American journal of orthodontics and dentofacial orthopedics : official publication of the American Association of Orthodontists, its constituent societies, and the American Board of Orthodontics, 159(3), e217–e232.
期刊: American Journal Of Orthodontics And Dentofacial Orthopedics
DOI:
IF: 1.98
应用:
反应种属: Rat
发表时间: 2021 Mar
-
Intermittent parathyroid hormone improves orthodontic retention via insulin-like growth factor-1. Oral diseases, 27(2), 290–300.
期刊: Oral Diseases
DOI:
IF: 3.511
应用: WB
反应种属: Mouse
发表时间: 2021 Mar
-
The role of sphingosine-1-phosphate signaling pathway in cementocyte mechanotransduction. Biochemical and biophysical research communications, 523(3), 595–601.
期刊: Biochemical And Biophysical Research Communications
DOI:
IF: 2.709
应用: WB
反应种属: Mouse
发表时间: 2020 Mar
-
3D printing of metal-organic framework incorporated porous scaffolds to promote osteogenic differentiation and bone regeneration. Nanoscale, 12(48), 24437–24449.
期刊: Nanoscale
DOI:
IF: 6.895
应用: WB
反应种属: Rabbit
发表时间: 2020 Dec
-
Parathyroid hormone increases alveolar bone homoeostasis during orthodontic tooth movement in rats with periodontitis via crosstalk between STAT3 and β-catenin
期刊: International Journal Of Oral Science
DOI:
IF: 3.05
应用: WB,IHC-P
反应种属: Rat
发表时间: 2020 Dec
-
circAKT3 positively regulates osteogenic differentiation of human dental pulp stromal cells via miR-206/CX43 axis
期刊: Stem Cell Research & Therapy
DOI:
IF: 5.116
应用: WB
反应种属: Human
发表时间: 2020 Dec
-
Intermittent parathyroid hormone promotes cementogenesis in a PKA- and ERK1/2-dependent manner
期刊: Journal Of Periodontology
DOI:
IF: 2.77
应用: WB
反应种属: Mouse
发表时间: 2019 Sep
-
Quantitative label-free proteomic analysis reveals difffferentially expressed proteins in the digestive juice of resistant versus susceptible silkworm strains and their predicted impacts on BmNPV infection
期刊: Journal Of Proteomics
DOI:
IF: 3.537
应用: WB
反应种属: Silkworm
发表时间: 2019 Jan

浙公网安备 33019202000643号