概述
产品名称
ERK2 Rabbit Polyclonal Antibody
抗体类型
Rabbit Polyclonal Antibody
免疫原
Synthetic peptide within C-terminal human ERK2.
种属反应性
Human, Mouse, Rat
验证应用
WB, IF-Cell, IHC-P, FC
分子量
Predicted band size: 41 kDa
阳性对照
A549 cell lysate, A431 cell lysate, C6 cell lysate, mouse brain tissue lysate, rat brain tissue lysate, A549, mouse testis tissue, rat colon tissue, human breast cancer tissue, human kidney tissue, Hela.
偶联
unconjugated
RRID
产品特性
形态
Liquid
存放说明
Shipped at 4℃. Store at +4℃ short term (1-2 weeks). It is recommended to aliquot into single-use upon delivery. Store at -20℃ long term.
存储缓冲液
1*PBS (pH7.4), 0.2% BSA, 40% Glycerol. Preservative: 0.05% Sodium Azide.
亚型
IgG
纯化方式
Immunogen affinity purified.
应用稀释度
-
WB
-
1:5,000
-
IF-Cell
-
1:200
-
IHC-P
-
1:200
-
FC
-
1:100-1:200
发表文章中的应用
| WB | 查看 3 篇文献如下 |
发表文章中的种属
| Human | 查看 2 篇文献如下 |
| Rat | 查看 1 篇文献如下 |
靶点
功能
Serine/threonine kinase which acts as an essential component of the MAP kinase signal transduction pathway. MAPK1/ERK2 and MAPK3/ERK1 are the 2 MAPKs which play an important role in the MAPK/ERK cascade. They participate also in a signaling cascade initiated by activated KIT and KITLG/SCF. Depending on the cellular context, the MAPK/ERK cascade mediates diverse biological functions such as cell growth, adhesion, survival and differentiation through the regulation of transcription, translation, cytoskeletal rearrangements. The MAPK/ERK cascade plays also a role in initiation and regulation of meiosis, mitosis, and postmitotic functions in differentiated cells by phosphorylating a number of transcription factors.
背景文献
1. Wortzel I et al. The ERK cascade: distinct functions within various subcellular organelles. Genes Cancer 2:195-209 (2011).
2. Ohori M et al. Role of a cysteine residue in the active site of ERK and the MAPKK family. Biochem Biophys Res Commun 353:633-637 (2007).
3. Ohori M et al. Identification of a selective ERK inhibitor and structural determination of the inhibitor-ERK2 complex. Biochem Biophys Res Commun 336:357-363 (2005).
序列相似性
Belongs to the protein kinase superfamily. CMGC Ser/Thr protein kinase family. MAP kinase subfamily.
翻译后修饰
Phosphorylated upon KIT and FLT3 signaling (By similarity). Dually phosphorylated on Thr-185 and Tyr-187, which activates the enzyme. Undergoes regulatory phosphorylation on additional residues such as Ser-246 and Ser-248 in the kinase insert domain (KID) These phosphorylations, which are probably mediated by more than one kinase, are important for binding of MAPK1/ERK2 to importin-7 (IPO7) and its nuclear translocation. In addition, autophosphorylation of Thr-190 was shown to affect the subcellular localization of MAPK1/ERK2 as well. Ligand-activated ALK induces tyrosine phosphorylation. Dephosphorylated by PTPRJ at Tyr-187. Phosphorylation on Ser-29 by SGK1 results in its activation by enhancing its interaction with MAP2K1/MEK1 and MAP2K2/MEK2. DUSP3 and DUSP6 dephosphorylate specifically MAPK1/ERK2 and MAPK3/ERK1 whereas DUSP9 dephosphorylates a broader range of MAPKs. Dephosphorylated by DUSP1 at Thr-185 and Tyr-187.; ISGylated.
亚细胞定位
Cytoplasm, Nucleus, Membrane, Cytoskeleton.
别名
ERK 2 antibody
ERK-2 antibody
ERT1 antibody
Extracellular Signal Regulated Kinase 2 antibody
Extracellular signal-regulated kinase 2 antibody
MAP kinase 1 antibody
MAP kinase 2 antibody
MAP kinase isoform p42 antibody
MAPK 1 antibody
MAPK 2 antibody
展开ERK 2 antibody
ERK-2 antibody
ERT1 antibody
Extracellular Signal Regulated Kinase 2 antibody
Extracellular signal-regulated kinase 2 antibody
MAP kinase 1 antibody
MAP kinase 2 antibody
MAP kinase isoform p42 antibody
MAPK 1 antibody
MAPK 2 antibody
Mapk1 antibody
MAPK2 antibody
Mitogen-activated protein kinase 1 antibody
Mitogen-activated protein kinase 2 antibody
MK01_HUMAN antibody
P38 antibody
P40 antibody
P41 antibody
p42-MAPK antibody
P42MAPK antibody
PRKM1 antibody
PRKM2 antibody
protein kinase, mitogen-activated, 1 antibody
protein kinase, mitogen-activated, 2 antibody
protein tyrosine kinase ERK2 antibody
折叠图片
-
☑ Knockdown (KD)
Western blot analysis of ERK2 on different lysates with Rabbit anti-ERK2 antibody (ER131218) at 1/2,000 dilution.
Lane 1: A549-si NT cell lysate (10 µg/Lane)
Lane 2: A549-si ERK2 cell lysate (10 µg/Lane)
Predicted band size: 41 kDa
Observed band size: 41 kDa
Exposure time: 17 seconds; ECL: K1801;
4-20% SDS-PAGE gel.
Proteins were transferred to a PVDF membrane and blocked with 5% NFDM/TBST for 1 hour at room temperature. The primary antibody (ER131218) at 1/2,000 dilution was used in 5% NFDM/TBST at room temperature for 2 hours. Goat Anti-Rabbit IgG - HRP Secondary Antibody (HA1001) at 1/50,000 dilution was used for 1 hour at room temperature. -
Western blot analysis of ERK2 on different lysates with Rabbit anti-ERK2 antibody (ER131218) at 1/5,000 dilution.
Lane 1: A431 cell lysate (20 µg/Lane)
Lane 2: C6 cell lysate (20 µg/Lane)
Lane 3: Mouse brain tissue lysate (40 µg/Lane)
Lane 4: Rat brain tissue lysate (40 µg/Lane)
Predicted band size: 41 kDa
Observed band size: 41 kDa
Exposure time: 2 seconds; ECL: K1801;
4-20% SDS-PAGE gel.
Proteins were transferred to a PVDF membrane and blocked with 5% NFDM/TBST for 1 hour at room temperature. The primary antibody (ER131218) at 1/5,000 dilution was used in primary antibody dilution (K1803) at 4℃ overnight. Goat Anti-Rabbit IgG - HRP Secondary Antibody (HA1001) at 1/50,000 dilution was used for 1 hour at room temperature. -
Immunocytochemistry analysis of A549 cells labeling ERK2 with Rabbit anti-ERK2 antibody (ER131218) at 1/200 dilution.
Cells were fixed in 4% paraformaldehyde for 15 minutes at room temperature, permeabilized with 0.1% Triton X-100 in PBS for 15 minutes at room temperature, then blocked with 1% BSA in 10% negative goat serum for 1 hour at room temperature. Cells were then incubated with Rabbit anti-ERK2 antibody (ER131218) at 1/200 dilution in 1% BSA in PBST overnight at 4 ℃. Goat Anti-Rabbit IgG H&L (iFluor™ 488, HA1121) was used as the secondary antibody at 1/1,000 dilution. PBS instead of the primary antibody was used as the secondary antibody only control. Nuclear DNA was labelled in blue with DAPI.
Beta tubulin (HA601187, red) was stained at 1/100 dilution overnight at +4℃. Goat Anti-Mouse IgG H&L (iFluor™ 594, HA1126) was used as the secondary antibody at 1/1,000 dilution. -
Immunohistochemical analysis of paraffin-embedded mouse testis tissue with Rabbit anti-ERK2 antibody (ER131218) at 1/200 dilution.
The section was pre-treated using heat mediated antigen retrieval with Tris-EDTA buffer (pH 9.0) for 20 minutes. The tissues were blocked in 1% BSA for 20 minutes at room temperature, washed with ddH2O and PBS, and then probed with the primary antibody (ER131218) at 1/200 dilution for 1 hour at room temperature. The detection was performed using an HRP conjugated compact polymer system. DAB was used as the chromogen. Tissues were counterstained with hematoxylin and mounted with DPX. -
Immunohistochemical analysis of paraffin-embedded rat colon tissue with Rabbit anti-ERK2 antibody (ER131218) at 1/200 dilution.
The section was pre-treated using heat mediated antigen retrieval with Tris-EDTA buffer (pH 9.0) for 20 minutes. The tissues were blocked in 1% BSA for 20 minutes at room temperature, washed with ddH2O and PBS, and then probed with the primary antibody (ER131218) at 1/200 dilution for 1 hour at room temperature. The detection was performed using an HRP conjugated compact polymer system. DAB was used as the chromogen. Tissues were counterstained with hematoxylin and mounted with DPX. -
Immunohistochemical analysis of paraffin-embedded human breast cancer tissue using anti-ERK2 antibody. The section was pre-treated using heat mediated antigen retrieval with Tris-EDTA buffer (pH 8.0-8.4) for 20 minutes.The tissues were blocked in 5% BSA for 30 minutes at room temperature, washed with ddH2O and PBS, and then probed with the antibody (ER131218) at 1/100 dilution, for 30 minutes at room temperature and detected using an HRP conjugated compact polymer system. DAB was used as the chrogen. Counter stained with hematoxylin and mounted with DPX.
-
Immunohistochemical analysis of paraffin-embedded human kidney tissue using anti-ERK2 antibody. The section was pre-treated using heat mediated antigen retrieval with Tris-EDTA buffer (pH 8.0-8.4) for 20 minutes.The tissues were blocked in 5% BSA for 30 minutes at room temperature, washed with ddH2O and PBS, and then probed with the antibody (ER131218) at 1/100 dilution, for 30 minutes at room temperature and detected using an HRP conjugated compact polymer system. DAB was used as the chrogen. Counter stained with hematoxylin and mounted with DPX.
-
Flow cytometric analysis of ERK2 was done on Hela cells. The cells were fixed, permeabilized and stained with ERK2 antibody at 1/100 dilution (blue) compared with an unlabelled control (cells without incubation with primary antibody; red). After incubation of the primary antibody on room temperature for an hour, the cells was stained with FITC-conjugated goat anti-rabbit IgG Secondary antibody at 1/500 dilution.
请注意: All products are "FOR RESEARCH USE ONLY AND ARE NOT INTENDED FOR DIAGNOSTIC OR THERAPEUTIC USE"
引文
-
A network pharmacology approach to discover action mechanisms of Yangxinshi Tablet for improving energy metabolism in chronic ischemic heart failure.
Author:
PMID: 31509780
期刊: Journal Of Ethnopharmacology
应用: WB
反应种属: Rat
发表时间: 2019 Jan
-
Citation
-
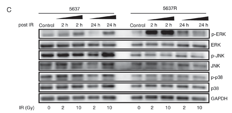
Long term exposure to γ‑rays induces radioresistance and enhances the migration ability of bladder cancer cells
Author: Guangmin Mao, Ye Yao, Zhaolu Kong
PMID: 30365074
期刊: Molecular Medicine Reports
应用: WB
反应种属: Human
发表时间: 2018 Oct
-
Citation
-
ATM mediates DAB2IP-deficient bladder cancer cell resistance to ionizing radiation through the p38MAPK and NF-κB signaling pathway
Author: Zhaolu Kong
PMID: 28586028
期刊: Molecular Medicine Reports
应用: WB
反应种属: Human
发表时间: 2017 Aug
-
Citation
Alternative Products
ERK2 Recombinant Rabbit Monoclonal Antibody [SZ25-01]
Application: WB,IF-Cell,IF-Tissue,IHC-P,IP,FC,IHC-Fr
Reactivity: Human,Mouse,Rat
Conjugate: unconjugated
同靶点 & 同通路的产品
ERK2 Recombinant Mouse Monoclonal Antibody [C3B12-R]
Application: WB
Reactivity: Human,Mouse,Rat
Conjugate: unconjugated
ERK2 Mouse Monoclonal Antibody [B10-8]
Application: WB,IHC-P,FC
Reactivity: Human,Mouse,Rat
Conjugate: unconjugated
ERK2 Mouse Monoclonal Antibody [A10D2]
Application: WB,IHC-P,FC
Reactivity: Human,Mouse,Rat
Conjugate: unconjugated
ERK2 Recombinant Mouse Monoclonal Antibody [5-D2-R] - BSA and Azide free
Application: WB
Reactivity: Human,Mouse,Rat
Conjugate: unconjugated
ERK2 Recombinant Mouse Monoclonal Antibody [C3B12-R] - BSA and Azide free
Application: WB
Reactivity: Human,Mouse,Rat
Conjugate: unconjugated
ERK2 Recombinant Mouse Monoclonal Antibody [5-D2-R]
Application: WB
Reactivity: Human,Mouse,Rat
Conjugate: unconjugated
ERK2 Mouse Monoclonal Antibody [5-D2]
Application: WB,IF-Cell,IHC-P,FC
Reactivity: Human,Mouse,Rat
Conjugate: unconjugated
ERK2 Mouse Monoclonal Antibody [C3B12]
Application: WB,IHC-P,FC
Reactivity: Human,Mouse,Rat
Conjugate: unconjugated
ERK2 Recombinant Rabbit Monoclonal Antibody [SZ25-01]
Application: WB,IF-Cell,IF-Tissue,IHC-P,IP,FC,IHC-Fr
Reactivity: Human,Mouse,Rat
Conjugate: unconjugated


