Catalog# ER1901-70
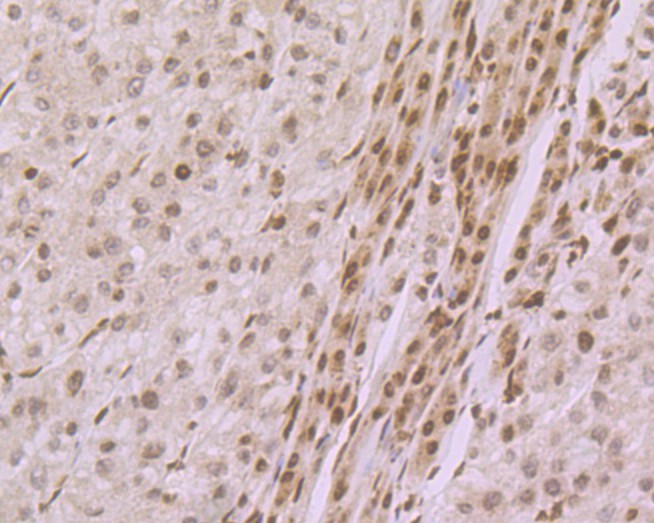
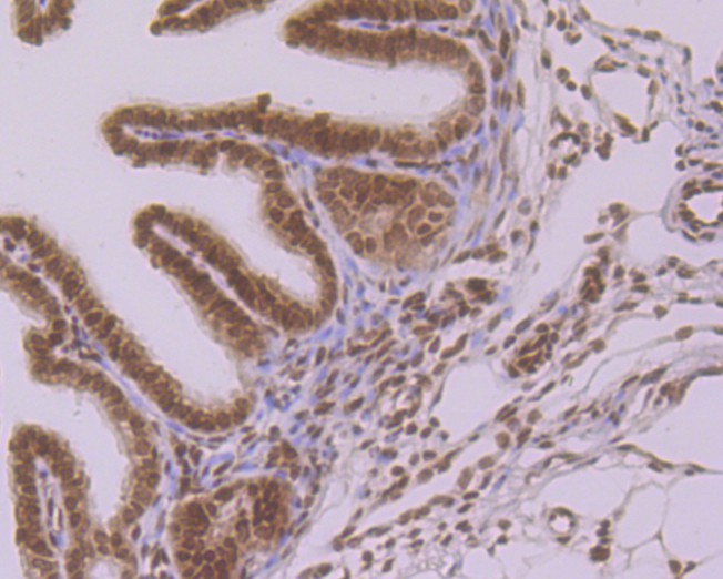
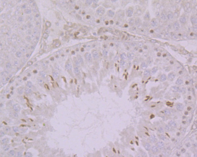
Histone H2A.x Rabbit Polyclonal Antibody
Application
-
WB
-
IHC-P
-
IF-Cell
-
IF-Tissue
-
FC
Reactivity
-
Human
-
Mouse
-
Rat
Conjugation
-
unconjugated
This product has been cited in peer reviewed publications, see list HERE

浙公网安备 33019202000643号