Catalog# EM1902-15
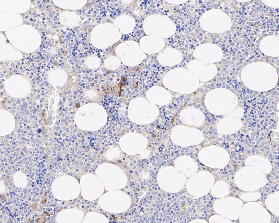
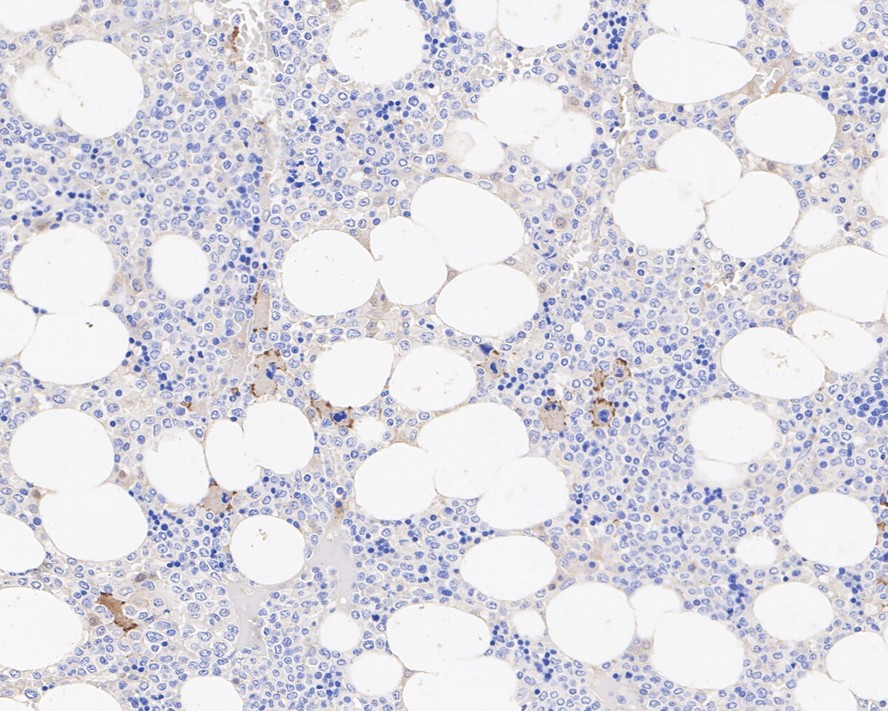
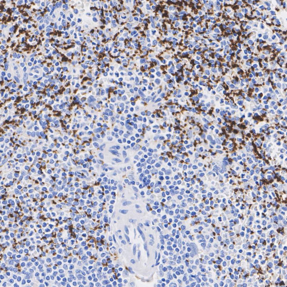
CD42b Mouse Monoclonal Antibody [13G2]
Application
-
IHC-P
-
FC
Reactivity
-
Human
Conjugation
-
unconjugated

浙公网安备 33019202000643号