Catalog# EM1701-15
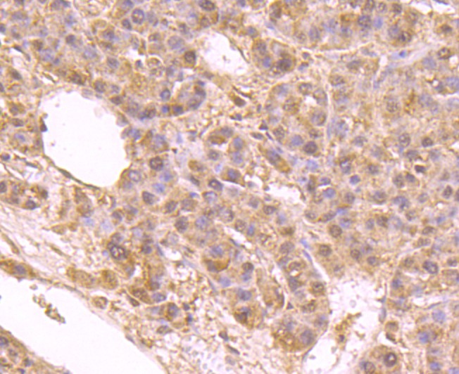
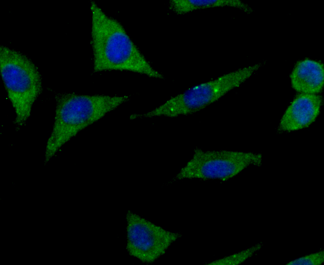
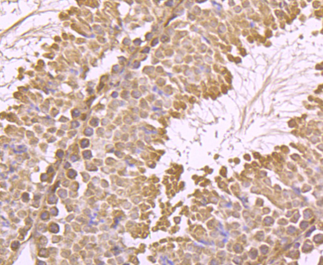
IMP3 Mouse Monoclonal Antibody [C2-E4]
Application
-
WB
-
IHC-P
-
IF-Cell
-
FC
-
IP
Reactivity
-
Human
-
Mouse
-
Rat
Conjugation
-
unconjugated
This product has been cited in peer reviewed publications, see list HERE


浙公网安备 33019202000643号