Skip to content

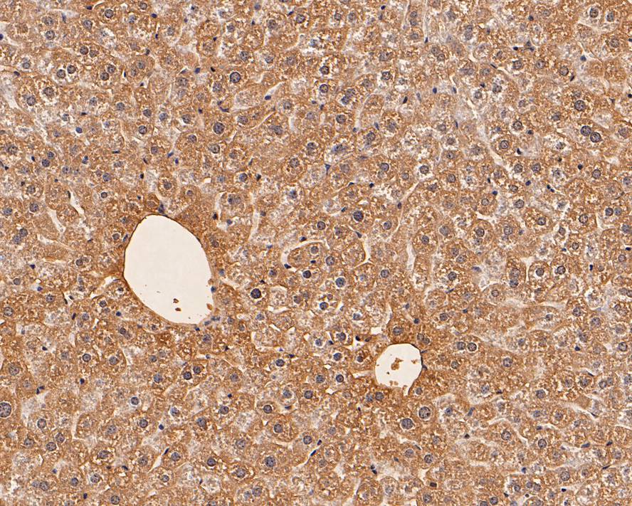
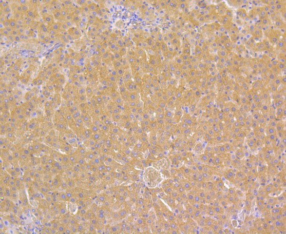
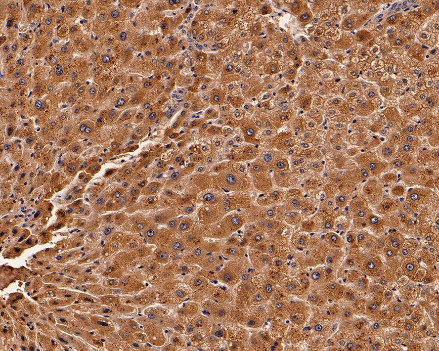
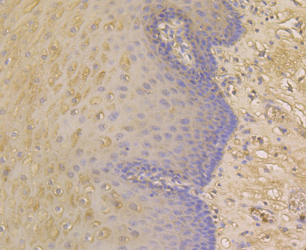
Alpha 1 Acid Glycoprotein Mouse Monoclonal Antibody [A2-B10]

本产品已停产

Catalog# EM1510-41

Alpha 1 Acid Glycoprotein Mouse Monoclonal Antibody [A2-B10]

Application
  • WB

  • IHC-P

  • FC

Reactivity
  • Human

  • Mouse

  • Rat

Conjugation
  • unconjugated

Close (esc)

Popup

Use this popup to embed a mailing list sign up form. Alternatively use it as a simple call to action with a link to a product or a page.

Age verification

By clicking enter you are verifying that you are old enough to consume alcohol.

搜索