Catalog# HA721700
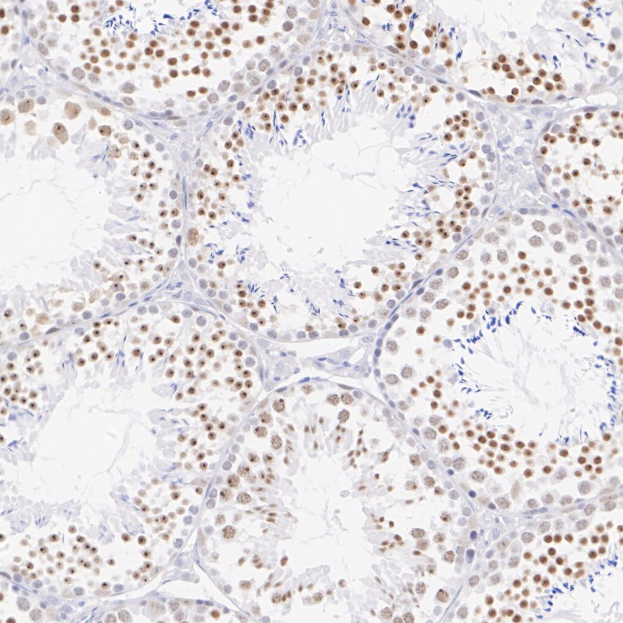
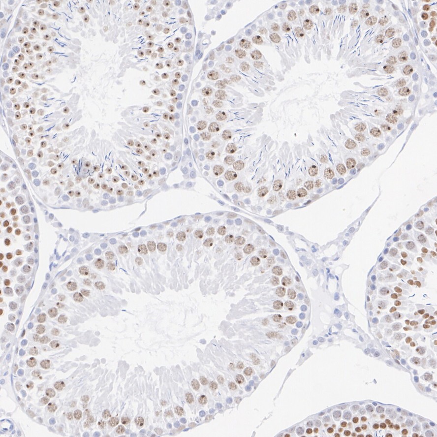
DOT1L Recombinant Rabbit Monoclonal Antibody [PSH01-57]
Application
-
WB
-
IHC-P
Reactivity
-
Human
-
Mouse
-
Rat


