概述
产品名称
Cofilin Recombinant Rabbit Monoclonal Antibody [PSH01-44]
抗体类型
Recombinant Rabbit monoclonal Antibody
免疫原
Synthetic peptide within human Cofilin aa 51-100 / 166.
种属反应性
Human, Mouse, Rat, Monkey
验证应用
WB, IHC-P, IF-Cell, FC
分子量
Predicted band size: 19 kDa
阳性对照
Hela cell lysate, HEK-293 cell lysate, MCF7 cell lysate, MDA-MB-468 cell lysate, SH-SY5Y cell lysate, HUVEC cell lysate, Jurkat cell lysate, COS-1 cell lysate, VERO cell lysate, NIH/3T3 cell lysate, PC-12 cell lysate, Neuro-2a cell lysate, K-562 cell lysate, A431 cell lysate, human breast carcinoma tissue, human lung carcinoma tissue, human stomach tissue, rat colon tissue, HeLa, NIH/3T3.
偶联
unconjugated
克隆号
PSH01-44
RRID
产品特性
形态
Liquid
存放说明
Shipped at 4℃. Store at +4℃ short term (1-2 weeks). It is recommended to aliquot into single-use upon delivery. Store at -20℃ long term.
存储缓冲液
PBS (pH7.4), 0.1% BSA, 40% Glycerol. Preservative: 0.05% Sodium Azide.
亚型
IgG
纯化方式
Protein A affinity purified.
应用稀释度
-
WB
-
1:1,000
-
IHC-P
-
1:100
-
IF-Cell
-
1:100
-
FC
-
1:500-1:1,000
靶点
功能
Cofilin 1 (non-muscle; n-cofilin), also known as CFL1, is a human gene, part of the ADF/cofilin family. Cofilin is a widely distributed intracellular actin-modulating protein that binds and depolymerizes filamentous F-actin and inhibits the polymerization of monomeric G-actin in a pH-dependent manner. It is involved in the translocation of actin-cofilin complex from cytoplasm to nucleus. One group reports that reelin signaling leads to serine3-phosphorylation of cofilin-1, and this interaction may play a role in the reelin-related regulation of neuronal migration. Cofilin 1 has been shown to interact with HSPH1 and LIMK1.
背景文献
1. Namme JN et al. Cofilin Signaling in the CNS Physiology and Neurodegeneration. Int J Mol Sci. 2021 Oct
2. Bamburg JR et al. Cofilin and Actin Dynamics: Multiple Modes of Regulation and Their Impacts in Neuronal Development and Degeneration. Cells. 2021 Oct
亚细胞定位
Nucleus matrix, Cytoplasm, Cytoskeleton, Cell projection.
别名
18 kDa phosphoprotein antibody
CFL 1 antibody
CFL antibody
CFL1 antibody
COF1_HUMAN antibody
Cofilin 1 antibody
Cofilin 1 non muscle antibody
Cofilin antibody
Cofilin non muscle isoform antibody
Cofilin-1 antibody
展开18 kDa phosphoprotein antibody
CFL 1 antibody
CFL antibody
CFL1 antibody
COF1_HUMAN antibody
Cofilin 1 antibody
Cofilin 1 non muscle antibody
Cofilin antibody
Cofilin non muscle isoform antibody
Cofilin-1 antibody
epididymis secretory protein Li 15 antibody
HEL-S-15 antibody
non-muscle isoform antibody
p18 antibody
折叠图片
-
Western blot analysis of Cofilin on different lysates with Rabbit anti-Cofilin antibody (HA721682) at 1/1,000 dilution.
Lane 1: Hela cell lysate (30 µg/Lane)
Lane 2: HEK-293 cell lysate (30 µg/Lane)
Lane 3: MCF7 cell lysate (30 µg/Lane)
Lane 4: MDA-MB-468 cell lysate (30 µg/Lane)
Lane 5: SH-SY5Y cell lysate (30 µg/Lane)
Lane 6: HUVEC cell lysate (30 µg/Lane)
Lane 7: Jurkat cell lysate (30 µg/Lane)
Lane 8: COS-1 cell lysate (30 µg/Lane)
Lane 9: VERO cell lysate (30 µg/Lane)
Lane 10: NIH/3T3 cell lysate (30 µg/Lane)
Lane 11: PC-12 cell lysate (30 µg/Lane)
Lane 12: Neuro-2a cell lysate (30 µg/Lane)
Lane 13: K-562 cell lysate (30 µg/Lane)
Lane 14: A431 cell lysate (30 µg/Lane)
Predicted band size: 19 kDa
Observed band size: 19 kDa
Exposure time: 2 minutes 37 seconds;
4-20% SDS-PAGE gel.
Proteins were transferred to a PVDF membrane and blocked with 5% NFDM/TBST for 1 hour at room temperature. The primary antibody (HA721682) at 1/1,000 dilution was used in 5% NFDM/TBST at room temperature for 2 hours. Goat Anti-Rabbit IgG - HRP Secondary Antibody (HA1001) at 1:100,000 dilution was used for 1 hour at room temperature. -
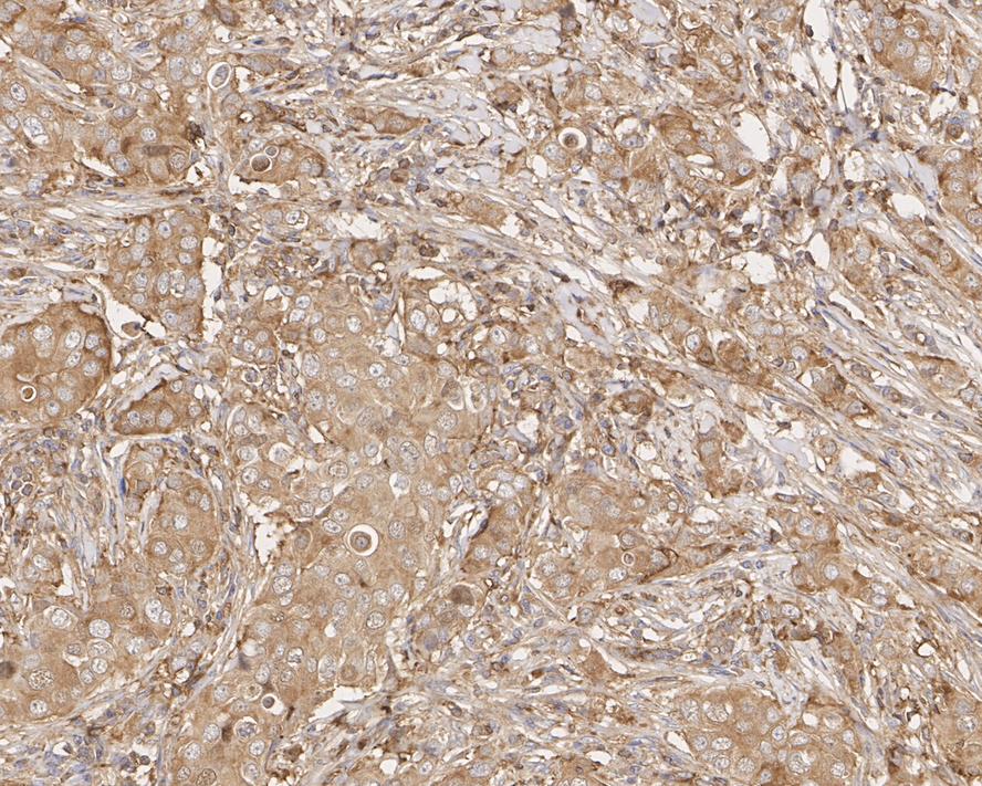
Immunohistochemical analysis of paraffin-embedded human breast carcinoma tissue with Rabbit anti-Cofilin antibody (HA721682) at 1/100 dilution.
The section was pre-treated using heat mediated antigen retrieval with sodium citrate buffer (pH 6.0) (high pressure) for 2 minutes. The tissues were blocked in 1% BSA for 20 minutes at room temperature, washed with ddH2O and PBS, and then probed with the primary antibody (HA721682) at 1/100 dilution for 1 hour at room temperature. The detection was performed using an HRP conjugated compact polymer system. DAB was used as the chromogen. Tissues were counterstained with hematoxylin and mounted with DPX. -
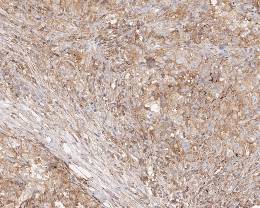
Immunohistochemical analysis of paraffin-embedded human lung carcinoma tissue with Rabbit anti-Cofilin antibody (HA721682) at 1/100 dilution.
The section was pre-treated using heat mediated antigen retrieval with sodium citrate buffer (pH 6.0) (high pressure) for 2 minutes. The tissues were blocked in 1% BSA for 20 minutes at room temperature, washed with ddH2O and PBS, and then probed with the primary antibody (HA721682) at 1/100 dilution for 1 hour at room temperature. The detection was performed using an HRP conjugated compact polymer system. DAB was used as the chromogen. Tissues were counterstained with hematoxylin and mounted with DPX. -
Immunohistochemical analysis of paraffin-embedded human stomach tissue with Rabbit anti-Cofilin antibody (HA721682) at 1/100 dilution.
The section was pre-treated using heat mediated antigen retrieval with sodium citrate buffer (pH 6.0) (high pressure) for 2 minutes. The tissues were blocked in 1% BSA for 20 minutes at room temperature, washed with ddH2O and PBS, and then probed with the primary antibody (HA721682) at 1/100 dilution for 1 hour at room temperature. The detection was performed using an HRP conjugated compact polymer system. DAB was used as the chromogen. Tissues were counterstained with hematoxylin and mounted with DPX. -
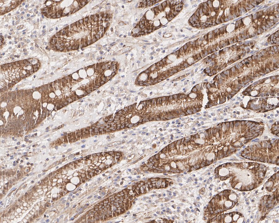
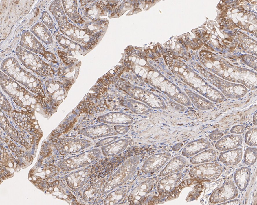
Immunohistochemical analysis of paraffin-embedded rat colon tissue with Rabbit anti-Cofilin antibody (HA721682) at 1/100 dilution.
The section was pre-treated using heat mediated antigen retrieval with sodium citrate buffer (pH 6.0) (high pressure) for 2 minutes. The tissues were blocked in 1% BSA for 20 minutes at room temperature, washed with ddH2O and PBS, and then probed with the primary antibody (HA721682) at 1/100 dilution for 1 hour at room temperature. The detection was performed using an HRP conjugated compact polymer system. DAB was used as the chromogen. Tissues were counterstained with hematoxylin and mounted with DPX. -
Immunocytochemistry analysis of HeLa cells labeling Cofilin with Rabbit anti-Cofilin antibody (HA721682) at 1/100 dilution.
Cells were fixed in 4% paraformaldehyde for 20 minutes at room temperature, permeabilized with 0.1% Triton X-100 in PBS for 5 minutes at room temperature, then blocked with 1% BSA in 10% negative goat serum for 1 hour at room temperature. Cells were then incubated with Rabbit anti-Cofilin antibody (HA721682) at 1/100 dilution in 1% BSA in PBST overnight at 4 ℃. Goat Anti-Rabbit IgG H&L (iFluor™ 488, HA1121) was used as the secondary antibody at 1/1,000 dilution. PBS instead of the primary antibody was used as the secondary antibody only control. Nuclear DNA was labelled in blue with DAPI.
Beta tubulin (M1305-2, red) was stained at 1/100 dilution overnight at +4℃. Goat Anti-Mouse IgG H&L (iFluor™ 594, HA1126) was used as the secondary antibody at 1/1,000 dilution. -
Immunocytochemistry analysis of NIH/3T3 cells labeling Cofilin with Rabbit anti-Cofilin antibody (HA721682) at 1/100 dilution.
Cells were fixed in 4% paraformaldehyde for 20 minutes at room temperature, permeabilized with 0.1% Triton X-100 in PBS for 5 minutes at room temperature, then blocked with 1% BSA in 10% negative goat serum for 1 hour at room temperature. Cells were then incubated with Rabbit anti-Cofilin antibody (HA721682) at 1/100 dilution in 1% BSA in PBST overnight at 4 ℃. Goat Anti-Rabbit IgG H&L (iFluor™ 488, HA1121) was used as the secondary antibody at 1/1,000 dilution. PBS instead of the primary antibody was used as the secondary antibody only control. Nuclear DNA was labelled in blue with DAPI.
Beta tubulin (M1305-2, red) was stained at 1/100 dilution overnight at +4℃. Goat Anti-Mouse IgG H&L (iFluor™ 594, HA1126) was used as the secondary antibody at 1/1,000 dilution. -
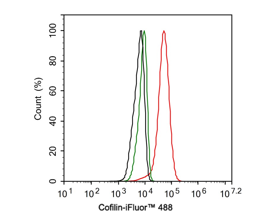
Flow cytometric analysis of HeLa cells labeling Cofilin.
Cells were fixed and permeabilized. Then stained with the primary antibody (HA721682, 1ug/ml) (red) compared with Rabbit IgG Isotype Control (green). After incubation of the primary antibody at +4℃ for an hour, the cells were stained with a iFluor™ 488 conjugate-Goat anti-Rabbit IgG Secondary antibody (HA1121) at 1/1,000 dilution for 30 minutes at +4℃. Unlabelled sample was used as a control (cells without incubation with primary antibody; black). -
Flow cytometric analysis of NIH/3T3 cells labeling Cofilin.
Cells were fixed and permeabilized. Then stained with the primary antibody (HA721682, 1ug/ml) (red) compared with Rabbit IgG Isotype Control (green). After incubation of the primary antibody at +4℃ for an hour, the cells were stained with a iFluor™ 488 conjugate-Goat anti-Rabbit IgG Secondary antibody (HA1121) at 1/1,000 dilution for 30 minutes at +4℃. Unlabelled sample was used as a control (cells without incubation with primary antibody; black).
请注意: All products are "FOR RESEARCH USE ONLY AND ARE NOT INTENDED FOR DIAGNOSTIC OR THERAPEUTIC USE"
同靶点 & 同通路的产品
Cofilin Recombinant Rabbit Monoclonal Antibody [PSH0-38] - BSA and Azide free
Application: WB,FC
Reactivity: Human,Mouse,Rat,Monkey
Conjugate: unconjugated
Cofilin Recombinant Rabbit Monoclonal Antibody [PSH0-34]
Application: WB,FC
Reactivity: Human,Mouse,Rat,Monkey
Conjugate: unconjugated
Phospho-Cofilin (S3) Recombinant Rabbit Monoclonal Antibody [PSH07-18]
Application: WB
Reactivity: Human,Rat,Monkey
Conjugate: unconjugated
Cofilin Recombinant Rabbit Monoclonal Antibody [PSH0-33] - BSA and Azide free
Application: WB,IF-Cell,FC
Reactivity: Human,Mouse,Rat,Monkey
Conjugate: unconjugated
Cofilin Recombinant Rabbit Monoclonal Antibody [PSH0-34] - BSA and Azide free
Application: WB,FC
Reactivity: Human,Mouse,Rat,Monkey
Conjugate: unconjugated
Cofilin Recombinant Rabbit Monoclonal Antibody [PSH01-44] - BSA and Azide free
Application: WB,IHC-P,IF-Cell,FC
Reactivity: Human,Mouse,Rat,Monkey
Conjugate: unconjugated
Cofilin Recombinant Rabbit Monoclonal Antibody [PSH0-33]
Application: WB,IF-Cell,FC
Reactivity: Human,Mouse,Rat,Monkey
Conjugate: unconjugated
Cofilin Rabbit Polyclonal Antibody
Application: WB,IF-Cell,FC
Reactivity: Human,Mouse,Rat,Monkey
Conjugate: unconjugated
Phospho-Cofilin (S3) Recombinant Rabbit Monoclonal Antibody [PSH07-18] - BSA and Azide free
Application: WB
Reactivity: Human,Rat,Monkey
Conjugate: unconjugated
Cofilin Rabbit Polyclonal Antibody
Application: WB,IHC-P
Reactivity: Human,Mouse,Rat
Conjugate: unconjugated
Cofilin Recombinant Rabbit Monoclonal Antibody [PSH0-38]
Application: WB,FC
Reactivity: Human,Mouse,Rat,Monkey
Conjugate: unconjugated


