Catalog# ET1703-08
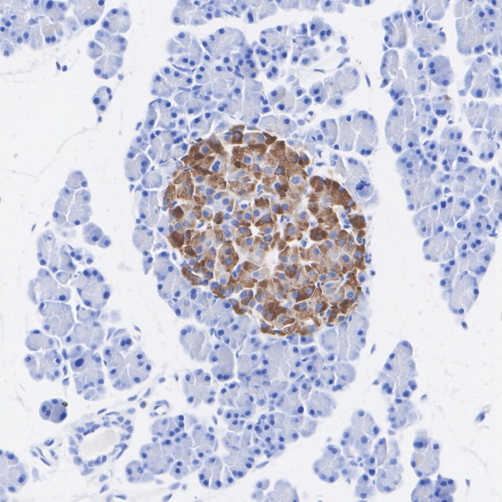
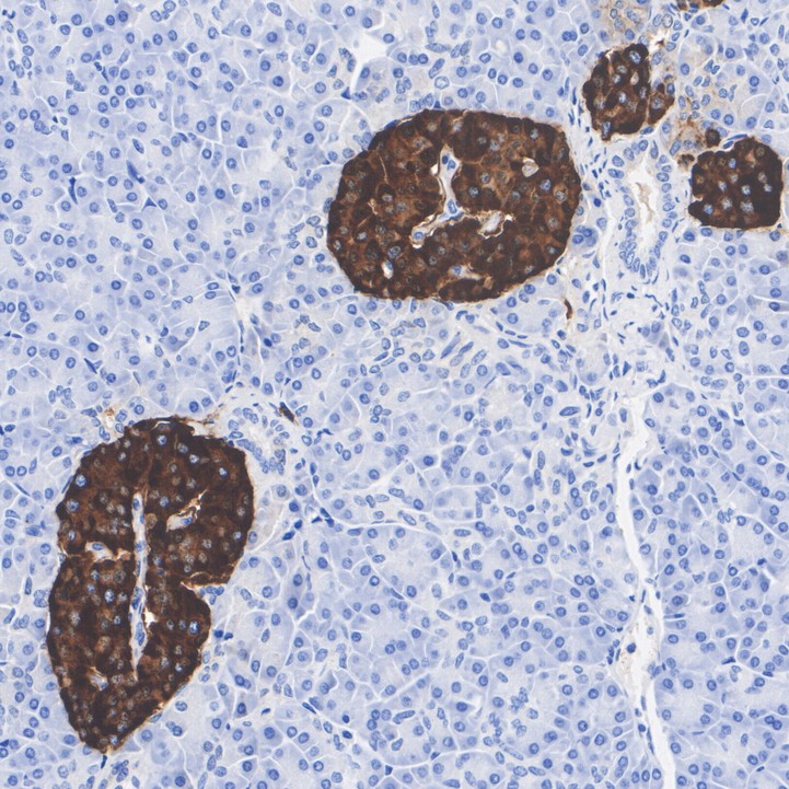
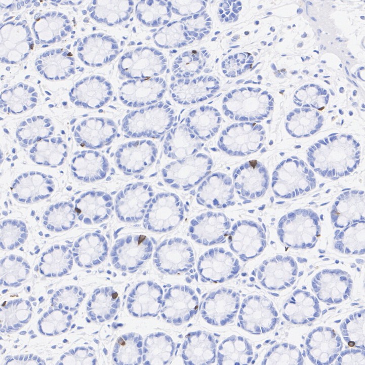
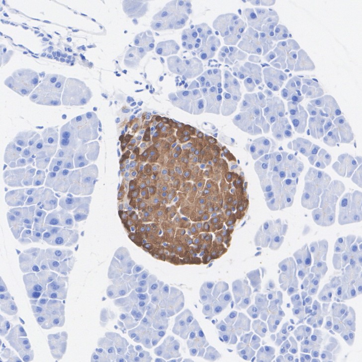
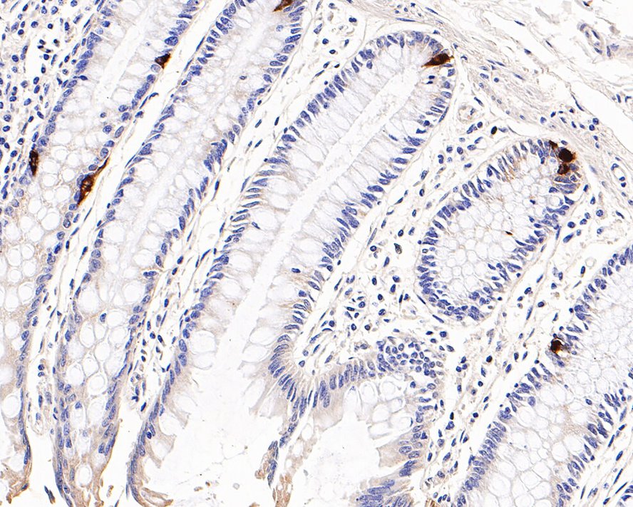
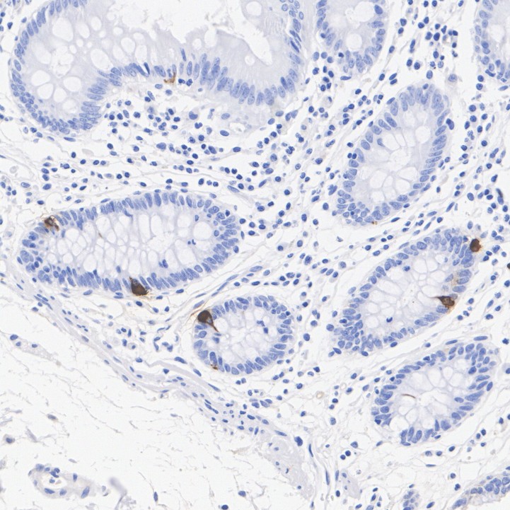
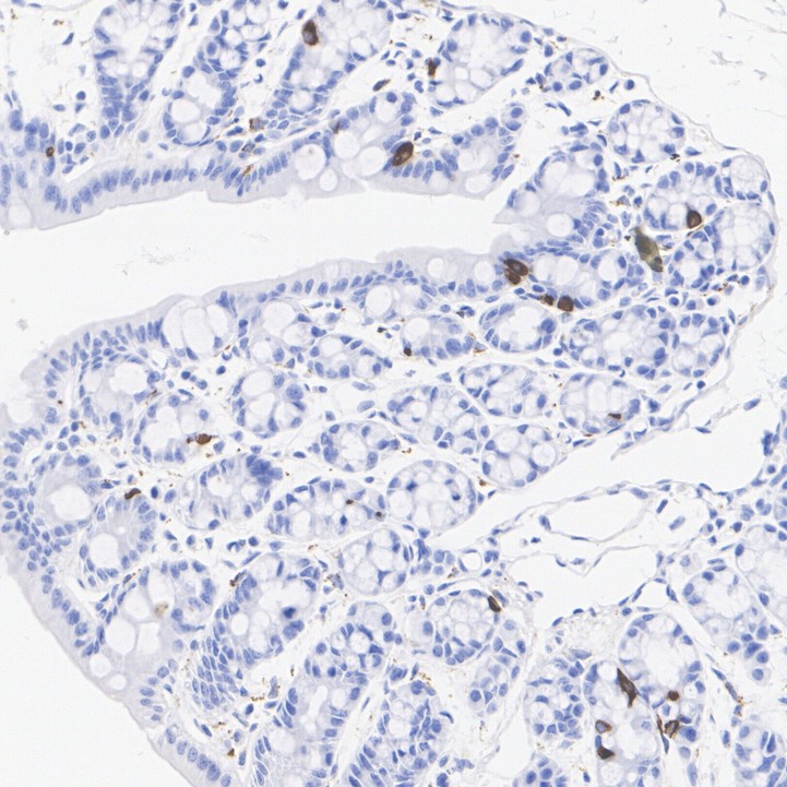
Chromogranin A Recombinant Rabbit Monoclonal Antibody [JM103-7]
Application
-
WB
-
IF-Cell
-
IF-Tissue
-
IHC-P
-
IHC-Fr
Reactivity
-
Human
-
Mouse
-
Rat
Conjugation
-
unconjugated
This product has been cited in peer reviewed publications, see list HERE

浙公网安备 33019202000643号