图片
-
Western blot analysis of Chromogranin A on PC-12 cell lysates using anti-Chromogranin A antibody at 1/500 dilution.
Predicted band size: 51 kDa
Observed band size: 86 kDa
-
Immunocytochemistry analysis of PC-12 cells labeling Chromogranin A (C-term) with Mouse anti-Chromogranin A (C-term) antibody (EM0407-24) at 1/100 dilution.
Cells were fixed in 4% paraformaldehyde for 15 minutes at room temperature, permeabilized with 0.1% Triton X-100 in PBS for 15 minutes at room temperature, then blocked with 1% BSA in 10% negative goat serum for 1 hour at room temperature. Cells were then incubated with Mouse anti-Chromogranin A (C-term) antibody (EM0407-24) at 1/100 dilution in 1% BSA in PBST overnight at 4 ℃. Goat Anti-Mouse IgG H&L (iFluor™ 488, HA1125) was used as the secondary antibody at 1/1,000 dilution. PBS instead of the primary antibody was used as the secondary antibody only control. Nuclear DNA was labelled in blue with DAPI.
beta Tubulin (ET1602-4, red) was stained at 1/100 dilution overnight at +4℃. Goat Anti-Rabbit IgG H&L (iFluor™ 594, HA1122) was used as the secondary antibody at 1/1,000 dilution.
-
ICC staining Chromogranin A(red) in Hela cells. The nuclear counter stain is DAPI(blue). Cells were fixed in paraformaldehyde, permeabilised with 0.25% Triton X100/PBS.
-
ICC staining Chromogranin A(red) in LOVO cells. Cells were fixed in paraformaldehyde, permeabilised with 0.25% Triton X100/PBS.
-
ICC staining Chromogranin A(red) in PANC-1 cells. Cells were fixed in paraformaldehyde, permeabilised with 0.25% Triton X100/PBS.
-
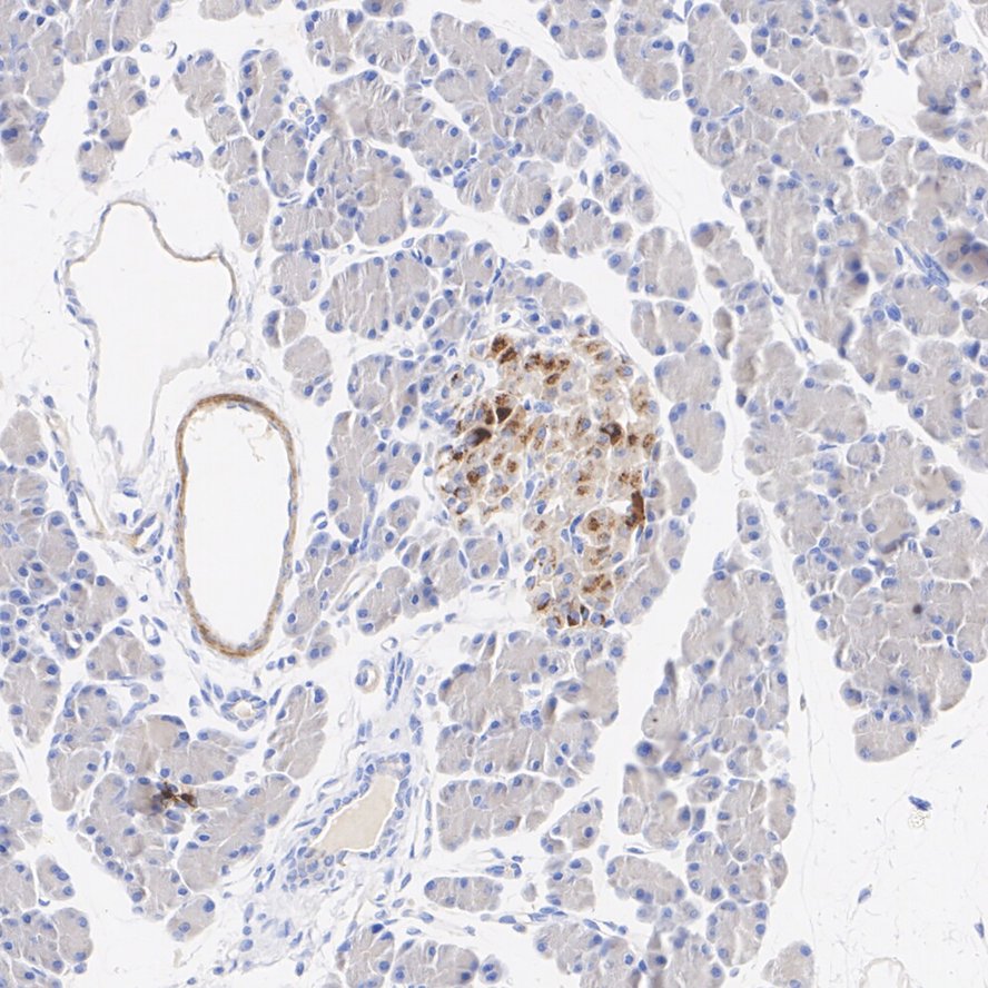
Immunohistochemical analysis of paraffin-embedded mouse pancreas tissue with Mouse anti-Chromogranin A (C-term) antibody (EM0407-24) at 1/1,000 dilution.
The section was pre-treated using heat mediated antigen retrieval with Tris-EDTA buffer (pH 9.0) for 20 minutes. The tissues were blocked in 1% BSA for 20 minutes at room temperature, washed with ddH2O and PBS, and then probed with the primary antibody (EM0407-24) at 1/1,000 dilution for 1 hour at room temperature. The detection was performed using an HRP conjugated compact polymer system. DAB was used as the chromogen. Tissues were counterstained with hematoxylin and mounted with DPX.
-
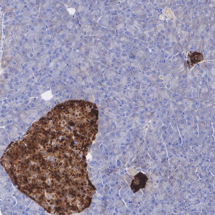
Immunohistochemical analysis of paraffin-embedded rat pancreas tissue with Mouse anti-Chromogranin A (C-term) antibody (EM0407-24) at 1/1,000 dilution.
The section was pre-treated using heat mediated antigen retrieval with Tris-EDTA buffer (pH 9.0) for 20 minutes. The tissues were blocked in 1% BSA for 20 minutes at room temperature, washed with ddH2O and PBS, and then probed with the primary antibody (EM0407-24) at 1/1,000 dilution for 1 hour at room temperature. The detection was performed using an HRP conjugated compact polymer system. DAB was used as the chromogen. Tissues were counterstained with hematoxylin and mounted with DPX.
-
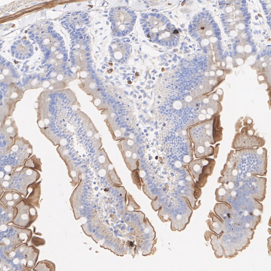
Immunohistochemical analysis of paraffin-embedded rat small intestine tissue with Mouse anti-Chromogranin A (C-term) antibody (EM0407-24) at 1/1,000 dilution.
The section was pre-treated using heat mediated antigen retrieval with Tris-EDTA buffer (pH 9.0) for 20 minutes. The tissues were blocked in 1% BSA for 20 minutes at room temperature, washed with ddH2O and PBS, and then probed with the primary antibody (EM0407-24) at 1/1,000 dilution for 1 hour at room temperature. The detection was performed using an HRP conjugated compact polymer system. DAB was used as the chromogen. Tissues were counterstained with hematoxylin and mounted with DPX.
请注意: All products are "FOR RESEARCH USE ONLY AND ARE NOT INTENDED FOR DIAGNOSTIC OR THERAPEUTIC USE"