Catalog# ET1704-03
Cathepsin B Recombinant Rabbit Monoclonal Antibody [JA11-02]
Application
-
WB
-
IF-Cell
-
IF-Tissue
-
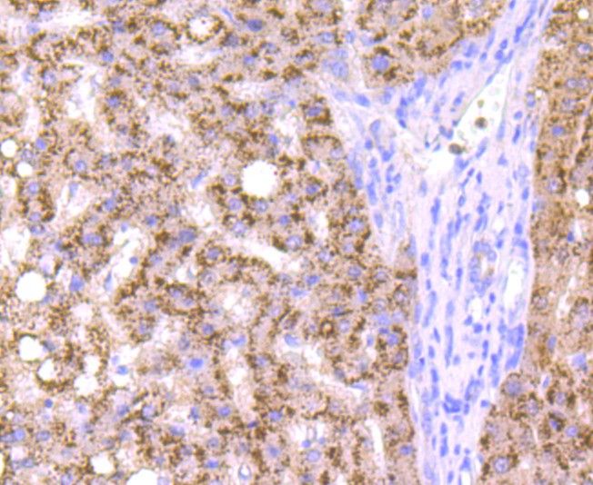
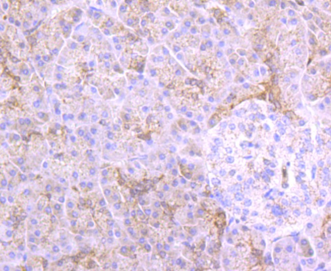
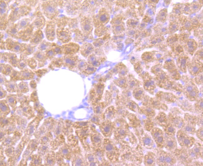
IHC-P
Reactivity
-
Human
Conjugation
-
unconjugated
This product has been cited in peer reviewed publications, see list HERE

浙公网安备 33019202000643号