Skip to content

CYR61 / CCN1 Recombinant Rabbit Monoclonal Antibody [PSH09-12]

RMB: 699 特惠 1500

产品规格

Catalog# HA723070

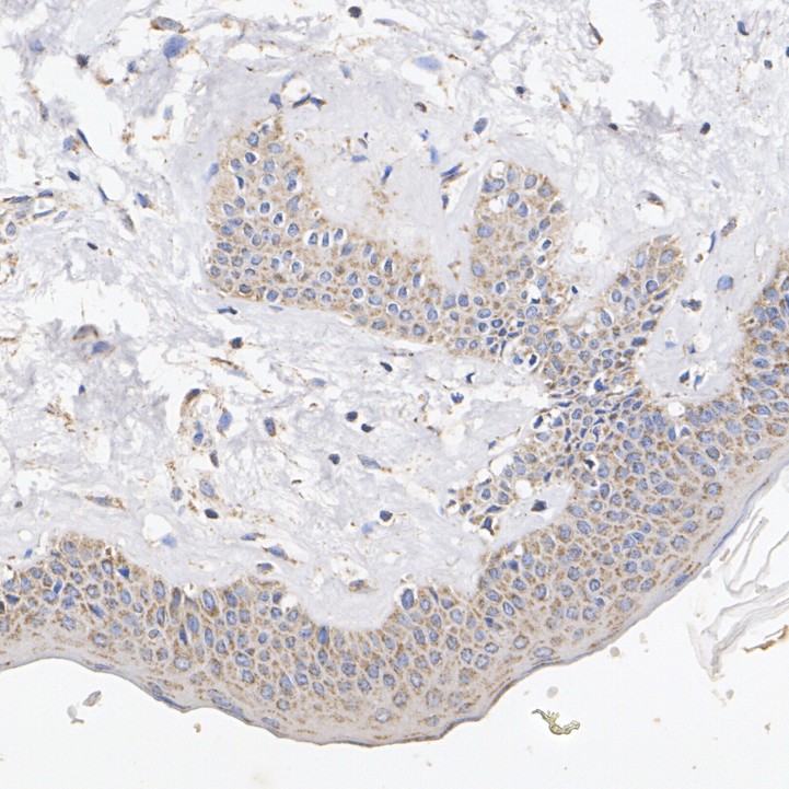
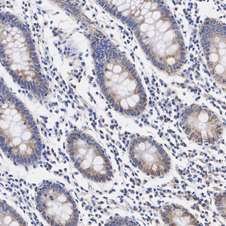
CYR61 / CCN1 Recombinant Rabbit Monoclonal Antibody [PSH09-12]

Application
  • WB

  • IF-Cell

  • IHC-P

  • IF-Tissue

Reactivity
  • Human

BSA and Azide free
Conjugation
  • unconjugated

Close (esc)

Popup

Use this popup to embed a mailing list sign up form. Alternatively use it as a simple call to action with a link to a product or a page.

Age verification

By clicking enter you are verifying that you are old enough to consume alcohol.

搜索