RMB: 699 特惠 1500 1500
产品规格
概述
产品名称
CD31 Recombinant Rabbit Monoclonal Antibody [PSH20-35]
抗体类型
Recombinant Rabbit monoclonal Antibody
种属反应性
Human, Mouse, Rat
验证应用
IHC-P
分子量
Predicted band size: 82 kDa
阳性对照
Human kidney tissue, human lung tissue, mouse kidney tissue, mouse liver tissue, mouse lung tissue, rat liver tissue, rat lung tissue.
偶联
unconjugated
克隆号
PSH20-35
反应性数据
Tested 已验证(内部验证通过)
Published 文献已报道(未内部验证,但有文献支持)
Predicted 预测可反应(基于高同源性)
Not recommended 不推荐(内部验证未通过)
| IHC-P | |
|---|---|
| Human |
|
| Mouse |
|
| Rat |
|
产品特性
形态
Liquid
存放说明
Shipped at 4℃. Store at +4℃ short term (1-2 weeks). It is recommended to aliquot into single-use upon delivery. Store at -20℃ long term.
存储缓冲液
PBS (pH7.4), 0.1% BSA, 40% Glycerol. Preservative: 0.05% Sodium Azide.
纯化方式
Protein A affinity purified.
应用稀释度
-
IHC-P
-
1:4,000-1:8,000
靶点
功能
Platelet endothelial cell adhesion molecule (PECAM-1) also known as cluster of differentiation 31 (CD31) is a protein that in humans is encoded by the PECAM1 gene found on chromosome17q23.3. PECAM-1 plays a key role in removing aged neutrophils from the body. PECAM-1 is found on the surface of platelets, monocytes, neutrophils, and some types of T-cells, and makes up a large portion of endothelial cell intercellular junctions. The encoded protein is a member of the immunoglobulin superfamily and is likely involved in leukocyte transmigration, angiogenesis, and integrin activation. CD31 on endothelial cells binds to the CD38 receptor on natural killer cells for those cells to attach to the endothelium.
背景文献
1. Fu T et al. Mechanotransduction via endothelial adhesion molecule CD31 initiates transmigration and reveals a role for VEGFR2 in diapedesis. Immunity. 2023 Oct
2. Cheung KC et al. CD31 orchestrates metabolic regulation in autophagy pathways of rheumatoid arthritis. Pharmacol Res. 2024 Sep
亚细胞定位
Cell junction. Cell membrane. Membrane.
别名
Adhesion molecule antibody
CD31 antibody
CD31 antigen antibody
CD31 EndoCAM antibody
EndoCAM antibody
FLJ34100 antibody
FLJ58394 antibody
GPIIA antibody
GPIIA' antibody
PECA1 antibody
展开Adhesion molecule antibody
CD31 antibody
CD31 antigen antibody
CD31 EndoCAM antibody
EndoCAM antibody
FLJ34100 antibody
FLJ58394 antibody
GPIIA antibody
GPIIA' antibody
PECA1 antibody
PECA1_HUMAN antibody
Pecam 1 antibody
PECAM 1 CD31 EndoCAM antibody
PECAM antibody
PECAM-1 antibody
Pecam1 antibody
Platelet and endothelial cell adhesion molecule 1 antibody
Platelet endothelial cell adhesion molecule antibody
Platelet/endothelial cell adhesion molecule 1 antibody
折叠图片
-
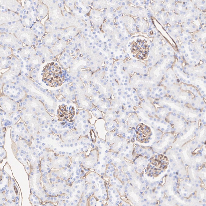
Immunohistochemical analysis of paraffin-embedded human kidney tissue with Rabbit anti-CD31 antibody (HA724146) at 1/8,000 dilution.
The section was pre-treated using heat mediated antigen retrieval with Tris-EDTA buffer (pH 9.0) for 20 minutes. The tissues were blocked in 1% BSA for 20 minutes at room temperature, washed with ddH2O and PBS, and then probed with the primary antibody (HA724146) at 1/8,000 dilution for 1 hour at room temperature. The detection was performed using an HRP conjugated compact polymer system. DAB was used as the chromogen. Tissues were counterstained with hematoxylin and mounted with DPX. -
Immunohistochemical analysis of paraffin-embedded human lung tissue with Rabbit anti-CD31 antibody (HA724146) at 1/4,000 dilution.
The section was pre-treated using heat mediated antigen retrieval with Tris-EDTA buffer (pH 9.0) for 20 minutes. The tissues were blocked in 1% BSA for 20 minutes at room temperature, washed with ddH2O and PBS, and then probed with the primary antibody (HA724146) at 1/4,000 dilution for 1 hour at room temperature. The detection was performed using an HRP conjugated compact polymer system. DAB was used as the chromogen. Tissues were counterstained with hematoxylin and mounted with DPX. -
Immunohistochemical analysis of paraffin-embedded mouse kidney tissue with Rabbit anti-CD31 antibody (HA724146) at 1/8,000 dilution.
The section was pre-treated using heat mediated antigen retrieval with Tris-EDTA buffer (pH 9.0) for 20 minutes. The tissues were blocked in 1% BSA for 20 minutes at room temperature, washed with ddH2O and PBS, and then probed with the primary antibody (HA724146) at 1/8,000 dilution for 1 hour at room temperature. The detection was performed using an HRP conjugated compact polymer system. DAB was used as the chromogen. Tissues were counterstained with hematoxylin and mounted with DPX. -
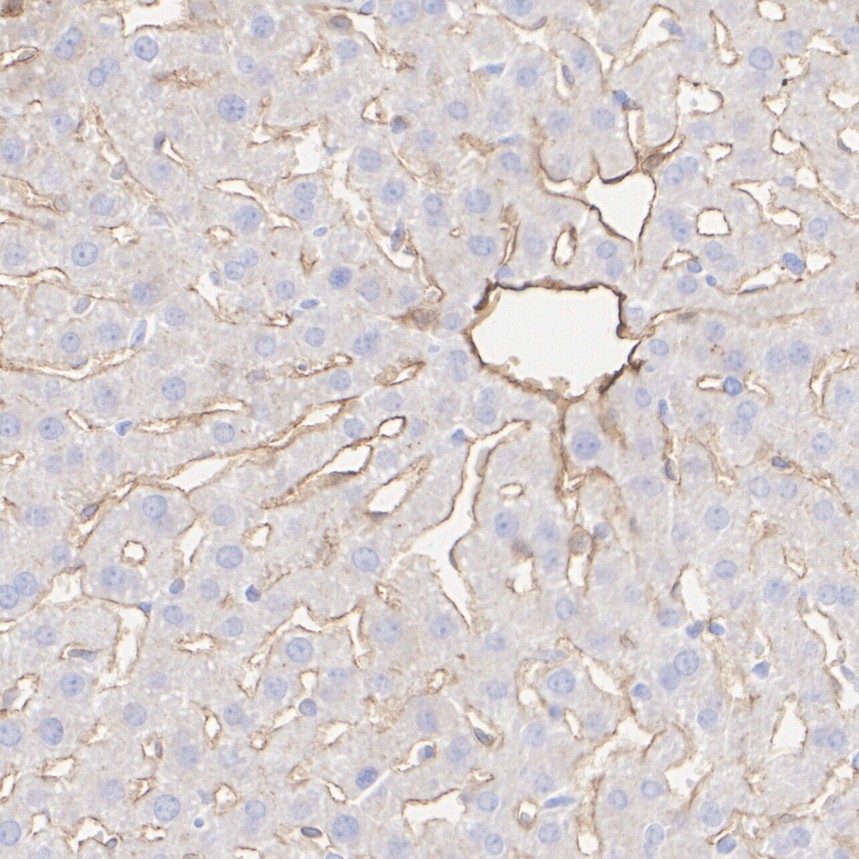
Immunohistochemical analysis of paraffin-embedded mouse liver tissue with Rabbit anti-CD31 antibody (HA724146) at 1/4,000 dilution.
The section was pre-treated using heat mediated antigen retrieval with Tris-EDTA buffer (pH 9.0) for 20 minutes. The tissues were blocked in 1% BSA for 20 minutes at room temperature, washed with ddH2O and PBS, and then probed with the primary antibody (HA724146) at 1/4,000 dilution for 1 hour at room temperature. The detection was performed using an HRP conjugated compact polymer system. DAB was used as the chromogen. Tissues were counterstained with hematoxylin and mounted with DPX. -
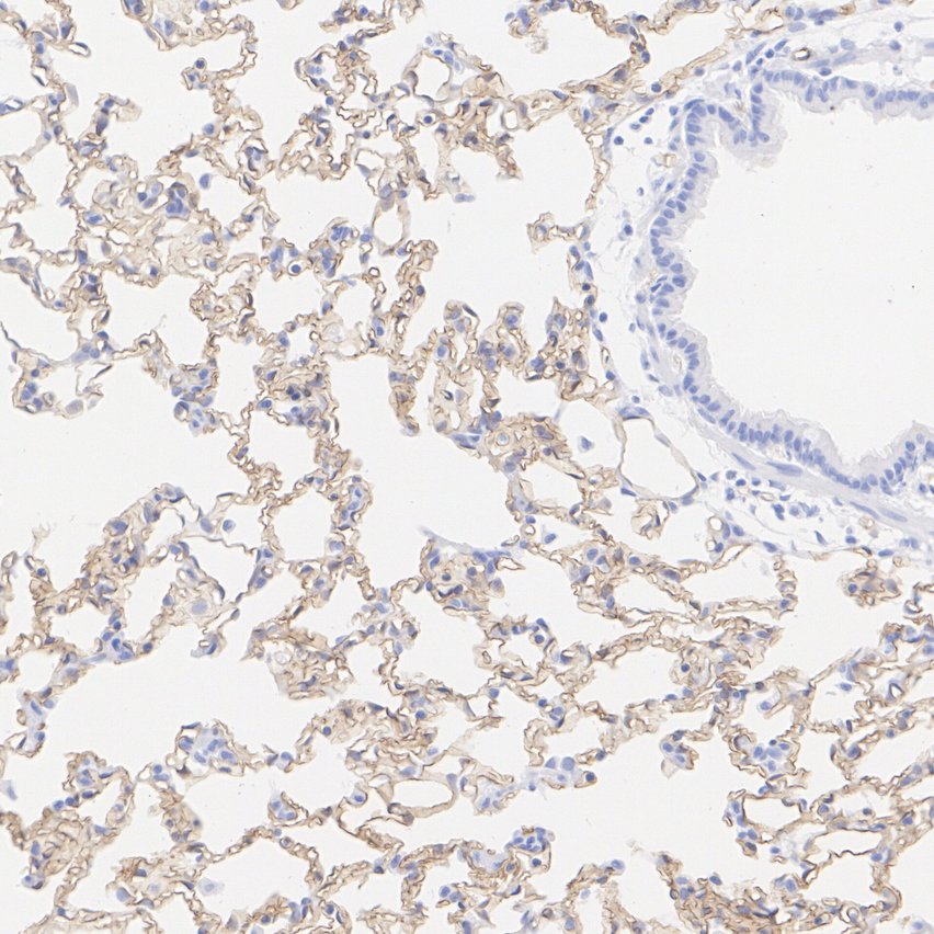
Immunohistochemical analysis of paraffin-embedded mouse lung tissue with Rabbit anti-CD31 antibody (HA724146) at 1/4,000 dilution.
The section was pre-treated using heat mediated antigen retrieval with Tris-EDTA buffer (pH 9.0) for 20 minutes. The tissues were blocked in 1% BSA for 20 minutes at room temperature, washed with ddH2O and PBS, and then probed with the primary antibody (HA724146) at 1/4,000 dilution for 1 hour at room temperature. The detection was performed using an HRP conjugated compact polymer system. DAB was used as the chromogen. Tissues were counterstained with hematoxylin and mounted with DPX. -
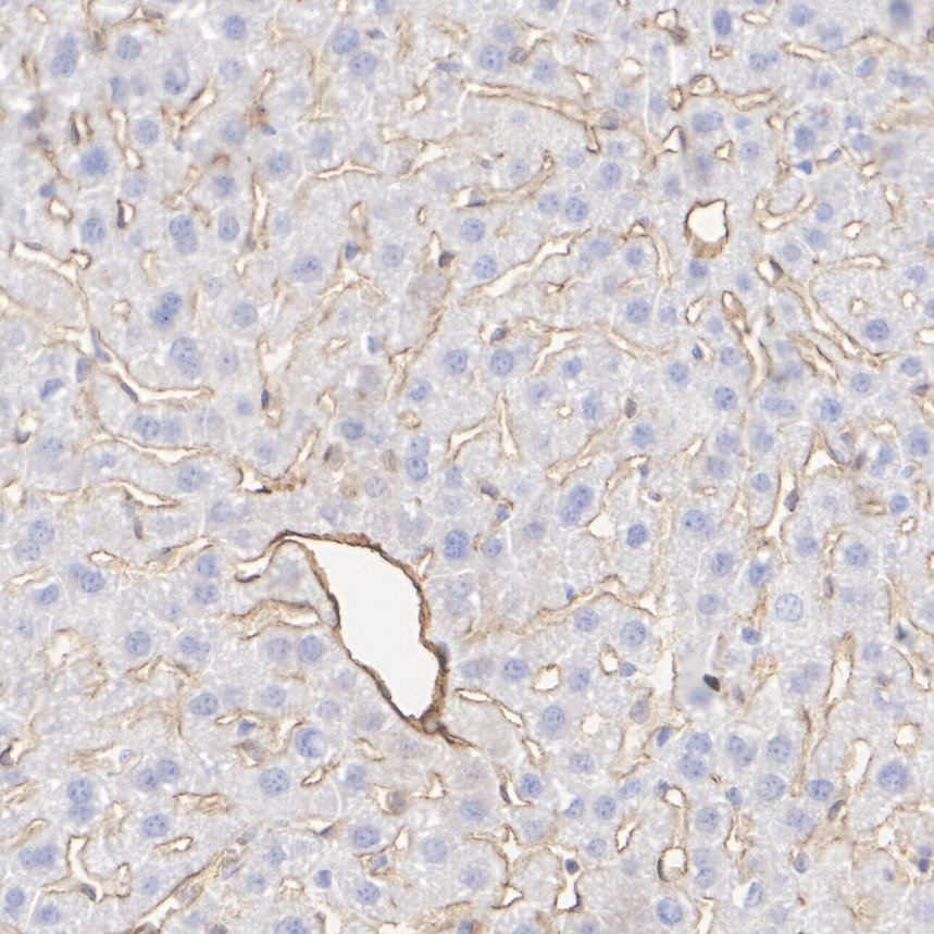
Immunohistochemical analysis of paraffin-embedded rat liver tissue with Rabbit anti-CD31 antibody (HA724146) at 1/4,000 dilution.
The section was pre-treated using heat mediated antigen retrieval with Tris-EDTA buffer (pH 9.0) for 20 minutes. The tissues were blocked in 1% BSA for 20 minutes at room temperature, washed with ddH2O and PBS, and then probed with the primary antibody (HA724146) at 1/4,000 dilution for 1 hour at room temperature. The detection was performed using an HRP conjugated compact polymer system. DAB was used as the chromogen. Tissues were counterstained with hematoxylin and mounted with DPX. -
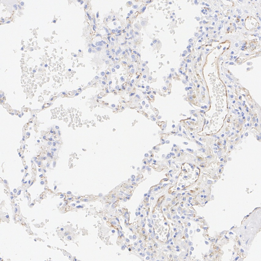
Immunohistochemical analysis of paraffin-embedded rat lung tissue with Rabbit anti-CD31 antibody (HA724146) at 1/4,000 dilution.
The section was pre-treated using heat mediated antigen retrieval with Tris-EDTA buffer (pH 9.0) for 20 minutes. The tissues were blocked in 1% BSA for 20 minutes at room temperature, washed with ddH2O and PBS, and then probed with the primary antibody (HA724146) at 1/4,000 dilution for 1 hour at room temperature. The detection was performed using an HRP conjugated compact polymer system. DAB was used as the chromogen. Tissues were counterstained with hematoxylin and mounted with DPX.
请注意: All products are "FOR RESEARCH USE ONLY AND ARE NOT INTENDED FOR DIAGNOSTIC OR THERAPEUTIC USE"
同靶点 & 同通路的产品
CD31 Recombinant Antibody [7-A1-R] - Rat IgG1 (Chimeric) - BSA and Azide free
Application: IHC-P
Reactivity: Human
Conjugate: unconjugated
CD31 Recombinant Antibody [7-A1-R] - Rabbit IgG (Chimeric) - BSA and Azide free
Application: WB,IF-Cell,IHC-P,FC
Reactivity: Human
Conjugate: unconjugated
CD31 Recombinant Antibody - Rabbit IgG (Chimeric)
Application: mIHC
Reactivity: Human
Conjugate: unconjugated
CD31 Recombinant Antibody [7-A1-R] - Rabbit IgG (Chimeric)
Application: WB,IF-Cell,IHC-P,FC,mIHC
Reactivity: Human
Conjugate: unconjugated
CD31 Recombinant Rabbit Monoclonal Antibody [SU03-59]
Application: WB,IHC-P,FC,IP,IF-Cell,IF-Tissue
Reactivity: Human
Conjugate: unconjugated
CD31 Recombinant Rabbit Monoclonal Antibody [SU03-59] - BSA and Azide free
Application: WB,IHC-P,FC,IP,IF-Cell,IF-Tissue
Reactivity: Human
Conjugate: unconjugated
CD31 Recombinant Mouse Monoclonal Antibody [7-A1-R] - BSA and Azide free
Application: WB,IF-Cell,IHC-P
Reactivity: Human
Conjugate: unconjugated
CD31 Mouse Monoclonal Antibody
Application: mIHC
Reactivity: Human
Conjugate: unconjugated
CD31 Recombinant Antibody [7-A1-R] - Rat IgG1 (Chimeric)
Application: IHC-P
Reactivity: Human
Conjugate: unconjugated
CD31 Rabbit Polyclonal Antibody
Application: WB,IF-Cell,FC,IHC-P
Reactivity: Human,Mouse,Rat
Conjugate: unconjugated
iFluor™ 488 Conjugated CD31 Recombinant Rabbit Monoclonal Antibody [SU03-59]
Application: IF-Tissue
Reactivity: Human
Conjugate: iFluor™ 488
CD31 Mouse Monoclonal Antibody [7-A1]
Application: WB,IF-Cell,IHC-P,mIHC
Reactivity: Human,Mouse
Conjugate: unconjugated
CD31 Recombinant Mouse Monoclonal Antibody [7-A1-R]
Application: WB,IF-Cell,IHC-P
Reactivity: Human
Conjugate: unconjugated

浙公网安备 33019202000643号