概述
产品名称
CD163 Recombinant Rabbit Monoclonal Antibody [PSH18-98]
抗体类型
Recombinant Rabbit monoclonal Antibody
种属反应性
Human, Mouse, Rat
验证应用
WB, IF-Cell, IHC-P
分子量
Predicted band size: 121 kDa
阳性对照
Mouse liver tissue lysate, Mouse spleen tissue lysate, Rat liver tissue lysate, rat spleen tissue lysates, mouse spleen cells, human liver tissue, human spleen tissue, mouse liver tissue, mouse spleen tissue, rat liver tissue, rat spleen tissue.
偶联
unconjugated
克隆号
PSH18-98
产品特性
形态
Liquid
存放说明
Shipped at 4℃. Store at +4℃ short term (1-2 weeks). It is recommended to aliquot into single-use upon delivery. Store at -20℃ long term.
存储缓冲液
PBS (pH7.4), 0.1% BSA, 40% Glycerol. Preservative: 0.05% Sodium Azide.
亚型
IgG
纯化方式
Protein A affinity purified.
应用稀释度
-
WB
-
1:5,000
-
IF-Cell
-
1:500
-
IHC-P
-
1:1,000
靶点
功能
CD163, also designated M130, is a macrophage-associated antigen that is a member of the scavenger receptor cysteine-rich (SRCR) superfamily. It is highly expressed on macrogphages and to a lesser extent on monocytes. The acute phase-regulated and signal-inducing macrophage protein, CD163, is a receptor that scavenges hemoglobin by mediating endocytosis of haptoglobin-hemoglobin complexes. CD163 binds only haptoglobin and hemoglobin in complex, which indicates the exposure of a receptor-binding neoepitope. The receptor-ligand interaction is calcium-dependent and of high affinity. The existence of several CD163 isoforms, which differ in the structure of their cytoplasmic domains and putative phosphorylation sites, suggests that these isoforms also differ in their signaling mechanism. The gene which encodes CD163 maps to human chromosome 12p13.31.
背景文献
1. Rowland RRR et al. Role of CD163 in PRRSV infection. Virology. 2024 Dec
2. Mori M et al. CD163(+) Macrophages Induce Endothelial-to-Mesenchymal Transition in Atheroma. Circ Res. 2024 Jul
亚细胞定位
Cell membrane; Secreted.
别名
C163A_HUMAN antibody
CD 163 antibody
CD163 antibody
CD163 antigen antibody
CD163 molecule antibody
Hemoglobin scavenger receptor antibody
M130 antibody
M130 antigen precursor antibody
Macrophage associated antigen antibody
MM130 antibody
展开C163A_HUMAN antibody
CD 163 antibody
CD163 antibody
CD163 antigen antibody
CD163 molecule antibody
Hemoglobin scavenger receptor antibody
M130 antibody
M130 antigen precursor antibody
Macrophage associated antigen antibody
MM130 antibody
OTTHUMP00000238617 antibody
OTTHUMP00000238618 antibody
OTTHUMP00000238619 antibody
OTTHUMP00000238620 antibody
SCARI1 antibody
Scavenger receptor cysteine rich type 1 protein M130 antibody
sCD163 antibody
Soluble CD163 antibody
折叠图片
-
☑ Relative expression (RE)
Western blot analysis of CD163 on different lysates with Rabbit anti-CD163 antibody (HA724034) at 1/5,000 dilution.
Lane 1: Mouse liver tissue lysate
Lane 2: Mouse kidney tissue lysate (negative)
Lane 3: Mouse spleen tissue lysate
Lane 4: Rat liver tissue lysate
Lysates/proteins at 20 µg/Lane.
Predicted band size: 121 kDa
Observed band size: 170 kDa
Exposure time: 1 minute 50 seconds; ECL: K1801;
4-20% SDS-PAGE gel.
Proteins were transferred to a PVDF membrane and blocked with 5% NFDM/TBST for 1 hour at room temperature. The primary antibody (HA724034) at 1/5,000 dilution was used in primary antibody dilution (K1803) at 4℃ overnight. Goat Anti-Rabbit IgG - HRP Secondary Antibody (HA1001) at 1/50,000 dilution was used for 1 hour at room temperature. -
Western blot analysis of CD163 on rat spleen tissue lysates with Rabbit anti-CD163 antibody (HA724034) at 1/5,000 dilution.
Lysates/proteins at 20 µg/Lane.
Predicted band size: 121 kDa
Observed band size: 170 kDa
Exposure time: 10 seconds; ECL: K1801;
4-20% SDS-PAGE gel.
Proteins were transferred to a PVDF membrane and blocked with 5% NFDM/TBST for 1 hour at room temperature. The primary antibody (HA724034) at 1/5,000 dilution was used in primary antibody dilution (K1803) at 4℃ overnight. Goat Anti-Rabbit IgG - HRP Secondary Antibody (HA1001) at 1/50,000 dilution was used for 1 hour at room temperature. -
Immunocytochemistry analysis of mouse spleen cells labeling CD163 with Rabbit anti-CD163 antibody (HA724034) at 1/500 dilution.
Cells were fixed in 4% paraformaldehyde for 15 minutes at room temperature, permeabilized with 0.1% Triton X-100 in PBS for 15 minutes at room temperature, then blocked with 1% BSA in 10% negative goat serum for 1 hour at room temperature. Cells were then incubated with Rabbit anti-CD163 antibody (HA724034) at 1/500 dilution in primary antibody dilution (K1803) overnight at 4 ℃. Goat Anti-Rabbit IgG H&L (iFluor™ 488, HA1121) was used as the secondary antibody at 1/1,000 dilution. PBS instead of the primary antibody was used as the secondary antibody only control. Nuclear DNA was labelled in blue with DAPI.
Beta tubulin (HA601187, red) was stained at 1/100 dilution overnight at +4℃. Goat Anti-Mouse IgG H&L (iFluor™ 594, HA1126) was used as the secondary antibody at 1/1,000 dilution. -
Immunohistochemical analysis of paraffin-embedded human liver tissue with Rabbit anti-CD163 antibody (HA724034) at 1/1,000 dilution.
The section was pre-treated using heat mediated antigen retrieval with Tris-EDTA buffer (pH 9.0) for 20 minutes. The tissues were blocked in 1% BSA for 20 minutes at room temperature, washed with ddH2O and PBS, and then probed with the primary antibody (HA724034) at 1/1,000 dilution for 1 hour at room temperature. The detection was performed using an HRP conjugated compact polymer system. DAB was used as the chromogen. Tissues were counterstained with hematoxylin and mounted with DPX. -
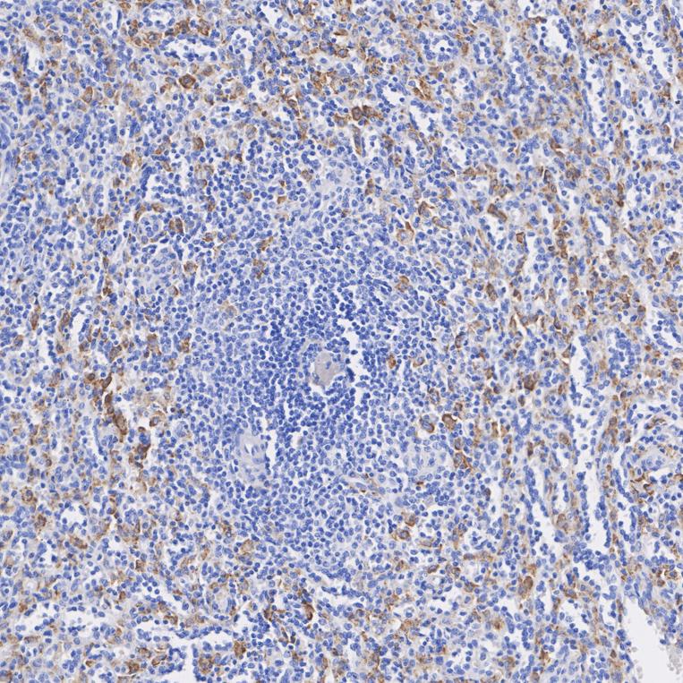
Immunohistochemical analysis of paraffin-embedded human spleen tissue with Rabbit anti-CD163 antibody (HA724034) at 1/1,000 dilution.
The section was pre-treated using heat mediated antigen retrieval with Tris-EDTA buffer (pH 9.0) for 20 minutes. The tissues were blocked in 1% BSA for 20 minutes at room temperature, washed with ddH2O and PBS, and then probed with the primary antibody (HA724034) at 1/1,000 dilution for 1 hour at room temperature. The detection was performed using an HRP conjugated compact polymer system. DAB was used as the chromogen. Tissues were counterstained with hematoxylin and mounted with DPX. -
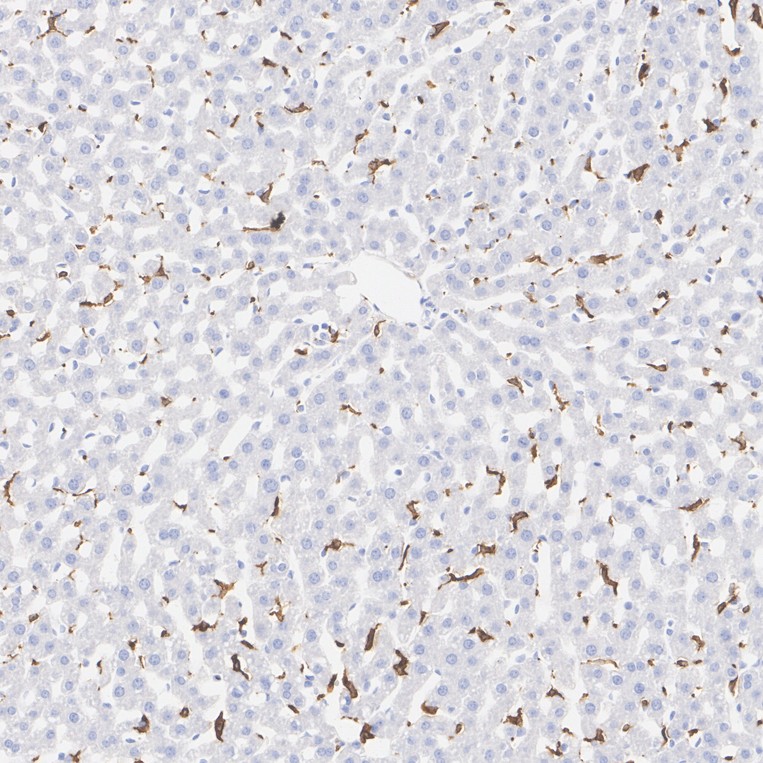
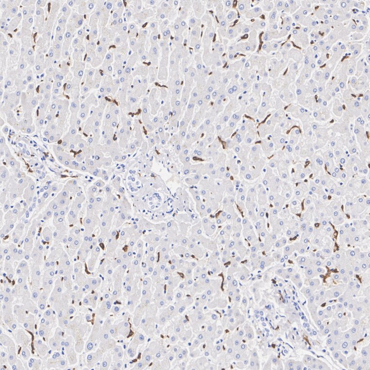
Immunohistochemical analysis of paraffin-embedded mouse liver tissue with Rabbit anti-CD163 antibody (HA724034) at 1/1,000 dilution.
The section was pre-treated using heat mediated antigen retrieval with Tris-EDTA buffer (pH 9.0) for 20 minutes. The tissues were blocked in 1% BSA for 20 minutes at room temperature, washed with ddH2O and PBS, and then probed with the primary antibody (HA724034) at 1/1,000 dilution for 1 hour at room temperature. The detection was performed using an HRP conjugated compact polymer system. DAB was used as the chromogen. Tissues were counterstained with hematoxylin and mounted with DPX. -
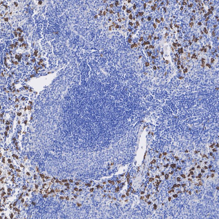
Immunohistochemical analysis of paraffin-embedded mouse spleen tissue with Rabbit anti-CD163 antibody (HA724034) at 1/1,000 dilution.
The section was pre-treated using heat mediated antigen retrieval with Tris-EDTA buffer (pH 9.0) for 20 minutes. The tissues were blocked in 1% BSA for 20 minutes at room temperature, washed with ddH2O and PBS, and then probed with the primary antibody (HA724034) at 1/1,000 dilution for 1 hour at room temperature. The detection was performed using an HRP conjugated compact polymer system. DAB was used as the chromogen. Tissues were counterstained with hematoxylin and mounted with DPX. -
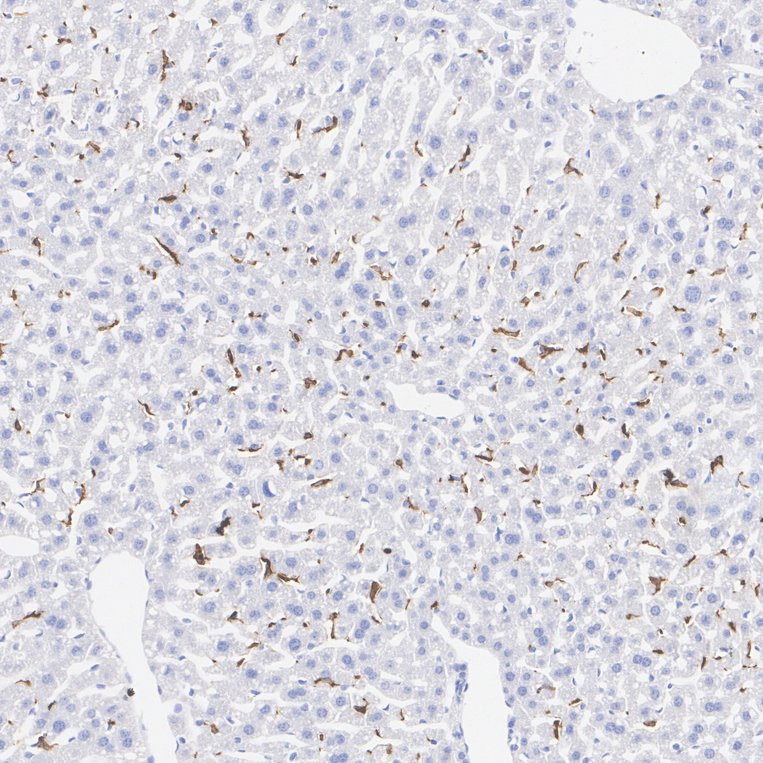
Immunohistochemical analysis of paraffin-embedded rat liver tissue with Rabbit anti-CD163 antibody (HA724034) at 1/1,000 dilution.
The section was pre-treated using heat mediated antigen retrieval with Tris-EDTA buffer (pH 9.0) for 20 minutes. The tissues were blocked in 1% BSA for 20 minutes at room temperature, washed with ddH2O and PBS, and then probed with the primary antibody (HA724034) at 1/1,000 dilution for 1 hour at room temperature. The detection was performed using an HRP conjugated compact polymer system. DAB was used as the chromogen. Tissues were counterstained with hematoxylin and mounted with DPX. -
Immunohistochemical analysis of paraffin-embedded rat spleen tissue with Rabbit anti-CD163 antibody (HA724034) at 1/1,000 dilution.
The section was pre-treated using heat mediated antigen retrieval with Tris-EDTA buffer (pH 9.0) for 20 minutes. The tissues were blocked in 1% BSA for 20 minutes at room temperature, washed with ddH2O and PBS, and then probed with the primary antibody (HA724034) at 1/1,000 dilution for 1 hour at room temperature. The detection was performed using an HRP conjugated compact polymer system. DAB was used as the chromogen. Tissues were counterstained with hematoxylin and mounted with DPX.
请注意: All products are "FOR RESEARCH USE ONLY AND ARE NOT INTENDED FOR DIAGNOSTIC OR THERAPEUTIC USE"
同靶点 & 同通路的产品
CD163 Mouse Monoclonal Antibody [A3B5]
Application: IHC-P,FC
Reactivity: Human
Conjugate: unconjugated
Human CD163 Recombinant Rabbit Monoclonal Antibody [PSH13-79] - BSA and Azide free (Detector)
Application: ELISA(Det)
Reactivity: Human
Conjugate: unconjugated
CD163 Recombinant Rabbit Monoclonal Antibody [JA51-30]
Application: WB,IHC-P,mIHC,IF-Tissue,IP
Reactivity: Human
Conjugate: unconjugated
CD163 Mouse Monoclonal Antibody [A3B3]
Application: WB,IHC-P,FC
Reactivity: Human
Conjugate: unconjugated
Biotin Conjugated Human CD163 Recombinant Rabbit Monoclonal Antibody [PSH13-79] - Detector
Application: ELISA(Det),ELISA
Reactivity: Human
Conjugate: Biotin
CD163 Recombinant Rabbit Monoclonal Antibody [JA51-30] - BSA and Azide free
Application: WB,IHC-P,IF-Tissue,IP
Reactivity: Human
Conjugate: unconjugated
CD163 Recombinant Antibody [JA51-30] - Rat IgG1 (Chimeric)
Application: IHC-P
Reactivity: Human
Conjugate: unconjugated
CD163 Recombinant Antibody - Rat IgG1 (Chimeric)
Application: mIHC
Reactivity: Human
Conjugate: unconjugated
Human CD163 Recombinant Rabbit Monoclonal Antibody [PSH13-80] - BSA and Azide free (Capture)
Application: ELISA(Cap)
Reactivity: Human
Conjugate: unconjugated
Human CD163 Recombinant Rabbit Monoclonal Antibody [PSH13-78] - BSA and Azide free (Capture)
Application: ELISA(Cap)
Reactivity: Human
Conjugate: unconjugated
CD163 Recombinant Rabbit Monoclonal Antibody [PSH15-06]
Application: IHC-P,WB
Reactivity: Human
Conjugate: unconjugated
CD163 Recombinant Antibody [JA51-30] - Rat IgG1 (Chimeric) - BSA and Azide free
Application: IHC-P
Reactivity: Human
Conjugate: unconjugated
CD163 Recombinant Rabbit Monoclonal Antibody
Application: mIHC
Reactivity: Human
Conjugate: unconjugated
CD163 Rabbit Polyclonal Antibody
Application: WB,IHC-P
Reactivity: Human,Mouse,Rat
Conjugate: unconjugated


