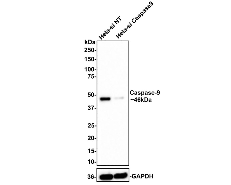
Active+Pro Caspase-9 Recombinant Rabbit Monoclonal Antibody [SC65-05] - BSA and Azide free
Catalog# HA750238
Active+Pro Caspase-9 Recombinant Rabbit Monoclonal Antibody [SC65-05] - BSA and Azide free
Application
-
WB
-
IP
Reactivity
-
Human
-
Mouse
With BSA and Azide
-
ET1610-95
含抗保成分
Conjugation
-
unconjugated
浙公网安备 33019202000643号