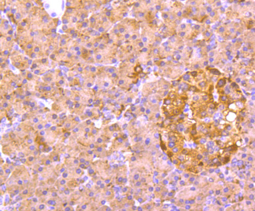
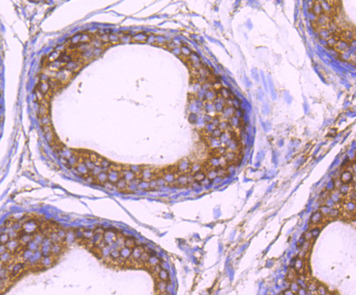
Catalog# R1706-9
ALDH1A1 Rabbit Polyclonal Antibody
Application
-
WB
-
IF-Cell
-
IHC-P
Reactivity
-
Human
-
Mouse
-
Rat

