Catalog# EM1801-07
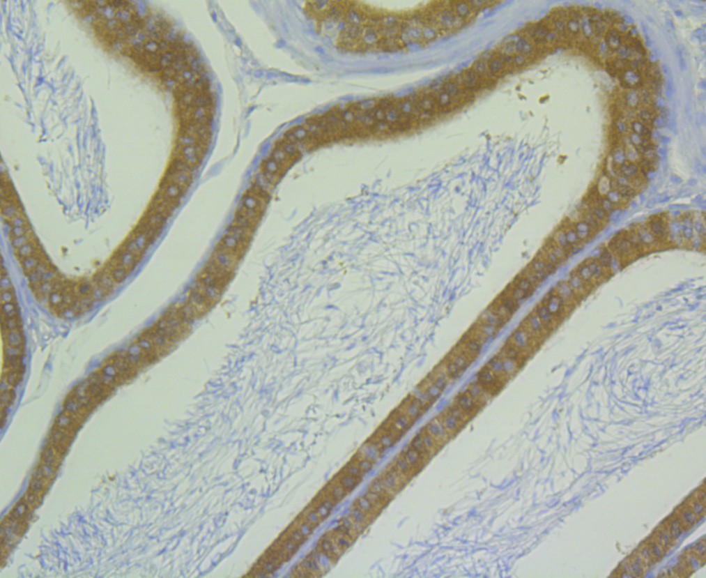
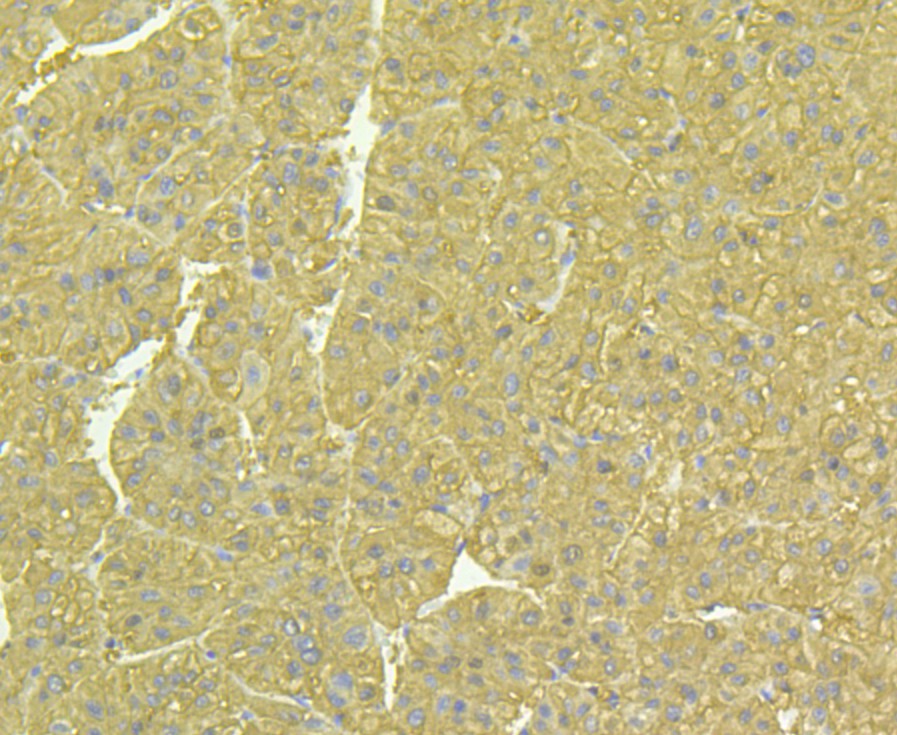
ALDH1A1 Mouse Monoclonal Antibody [8F1]
Application
-
WB
-
IHC-P
-
IF-Cell
-
FC
-
IHC-Fr
Reactivity
-
Human
-
Rat
-
Mouse


