Catalog# ET7106-72
ADAR Recombinant Rabbit Monoclonal Antibody [JU99-33]
Application
-
WB
-
IF-Cell
-
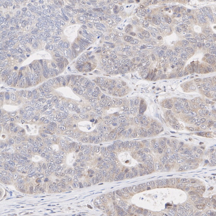
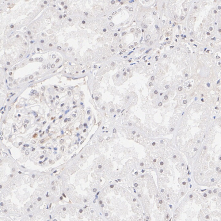
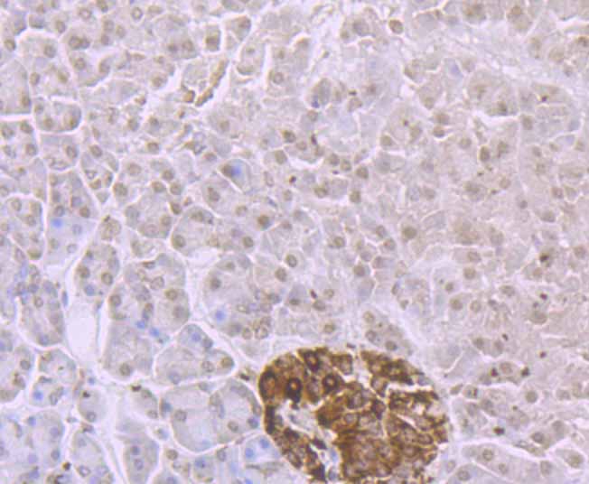
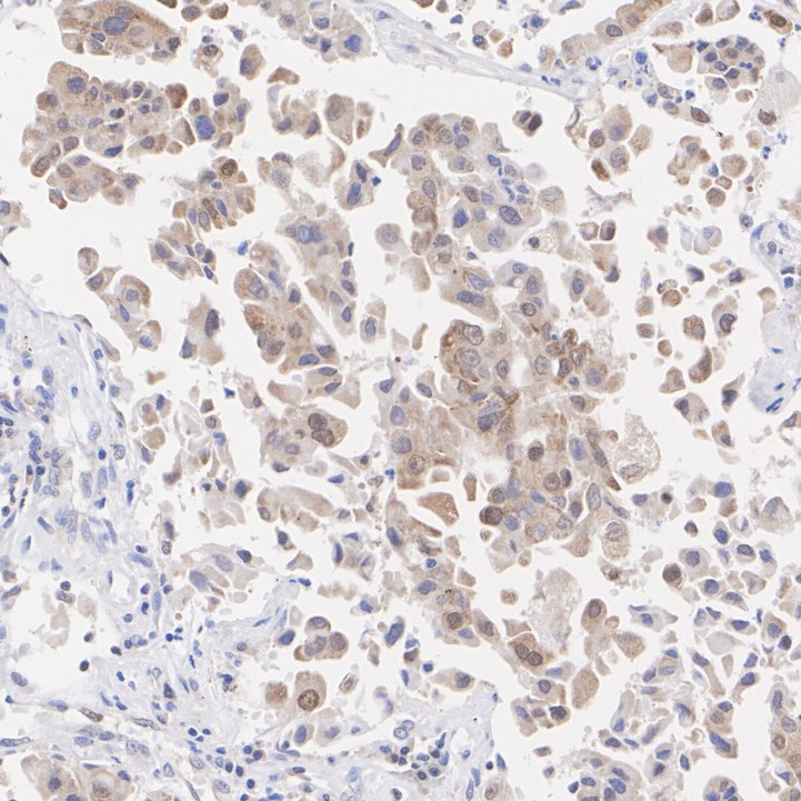
IHC-P
-
IF-Tissue
-
FC
Reactivity
-
Human
Conjugation
-
unconjugated

浙公网安备 33019202000643号