Catalog# ET1601-1
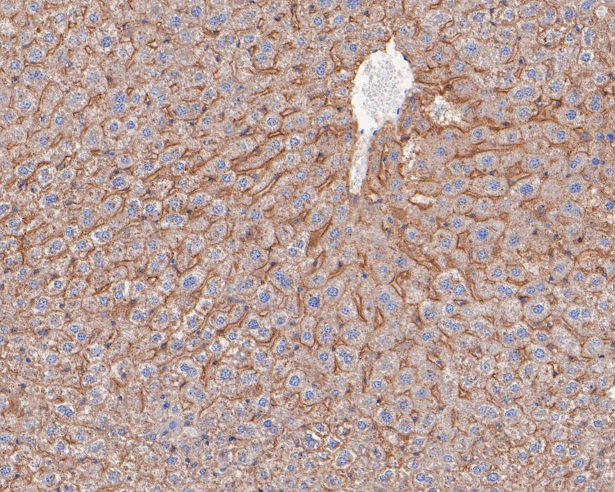
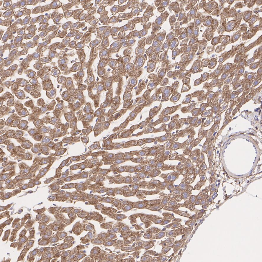
LRP1 Recombinant Rabbit Monoclonal Antibody [SA0290]
Application
-
WB
-
IF-Tissue
-
IHC-P
-
IP
-
IHC-Fr
Reactivity
-
Human
-
Mouse
-
Rat
Conjugation
-
unconjugated
This product has been cited in peer reviewed publications, see list HERE



浙公网安备 33019202000643号