ATP-citrate synthase, also designated ATP-citrate lyase or citrate cleavage enzyme, is a cytoplasmic homotetramer belonging to the succinate/malate CoA ligase family. The gene coding for this protein maps against chromosome 17q12-q21. ATP-citrate synthase catalyses the formation of acetyl-CoA and oxaloacetate from citrate and CoA. This product, Acetyl-CoA, is necessary for both fatty acid and cholesterol biosynthesis. ATP citrate-lyase is important in the biosynthesis of acetylcholine in nervous tissue.
背景文献
1. Walsh J et al. Identification and quantification of the basal and inducible Nrf2-dependent proteomes in mouse liver: biochemical, pharmacological and toxicological implications. J Proteomics 108:171-87 (2014).
2. Dani ls VW et al. Cancer cells differentially activate and thrive on de novo lipid synthesis pathways in a low-lipid environment. PLoS One 9:e106913 (2014).
序列相似性
In the N-terminal section; belongs to the succinate/malate CoA ligase beta subunit family.; In the C-terminal section; belongs to the succinate/malate CoA ligase alpha subunit family.
翻译后修饰
Phosphorylated by PKA and GSK3 in a sequential manner; phosphorylation results in activation of its activity. Phosphorylation on Thr-447 and Ser-451 depends on the phosphorylation state of Ser-455 (By similarity). Phosphorylation on Ser-455 is decreased by prior phosphorylation on the other 2 residues (By similarity).; ISGylated.; Acetylated at Lys-540, Lys-546 and Lys-554 by KAT2B/PCAF. Acetylation is promoted by glucose and stabilizes the protein, probably by preventing ubiquitination at the same sites. Acetylation promotes de novo lipid synthesis. Deacetylated by SIRT2.; Ubiquitinated at Lys-540, Lys-546 and Lys-554 by UBR4, leading to its degradation. Ubiquitination is probably inhibited by acetylation at same site (Probable).
Western blot analysis of ATP citrate lyase with anti-ATP citrate lyase antibody [ST51-07] (ET1609-37) at 1/1,000 dilution. Lane 1: Wild-type A549 whole cell lysate (20 µg). Lane 2: ATP citrate lyase knockout A549 whole cell lysate (20 µg).
ET1609-37 was shown to specifically react with ATP citrate lyase in wild-type A549 cells. No band was observed when ATP citrate lyase knockout sample was tested. Wild-type and ATP citrate lyase knockout samples were subjected to SDS-PAGE. Proteins were transferred to a PVDF membrane and blocked with 5% NFDM in TBST for 1 hour at room temperature. The primary antibody (ET1609-37, 1/1,000) and Loading control antibody (Rabbit anti-HSP90, ET1605-56, 1/10,000)was used in 5% BSA at room temperature for 2 hours. Goat Anti-Rabbit IgG-HRP Secondary Antibody (HA1001) at 1:200,000 dilution was used for 1 hour at room temperature.
Western blot analysis of ATP citrate lyase on different lysates with Rabbit anti-ATP citrate lyase antibody (ET1609-37) at 1/5,000 dilution.
Lane 1: HeLa cell lysate (20 µg/Lane) Lane 2: A549 cell lysate (20 µg/Lane) Lane 3: NIH/3T3 cell lysate (20 µg/Lane) Lane 4: Mouse liver tissue lysate (40 µg/Lane) Lane 5: Rat liver tissue lysate (40 µg/Lane)
Predicted band size: 121 kDa Observed band size: 121 kDa
Exposure time: 10 seconds; ECL: K1801;
4-20% SDS-PAGE gel.
Proteins were transferred to a PVDF membrane and blocked with 5% NFDM/TBST for 1 hour at room temperature. The primary antibody (ET1609-37) at 1/5,000 dilution was used in primary antibody dilution (K1803) at 4℃ overnight. Goat Anti-Rabbit IgG - HRP Secondary Antibody (HA1001) at 1/50,000 dilution was used for 1 hour at room temperature.
Western blot analysis of ATP citrate lyase on different lysates with Rabbit anti-ATP citrate lyase antibody (ET1609-37) at 1/1,000 dilution.
Lane 1: HeLa cell lysate Lane 2: NIH/3T3 cell lysate Lane 3: C6 cell lysate
Lysates/proteins at 10 µg/Lane.
Predicted band size: 121 kDa Observed band size: 121 kDa
Exposure time: 10 seconds; ECL: K1801;
4-20% SDS-PAGE gel.
Proteins were transferred to a PVDF membrane and blocked with 5% NFDM/TBST for 1 hour at room temperature. The primary antibody (ET1609-37) at 1/1,000 dilution was used in 5% NFDM/TBST at 4℃ overnight. Goat Anti-Rabbit IgG - HRP Secondary Antibody (HA1001) at 1/50,000 dilution was used for 1 hour at room temperature.
Immunocytochemistry analysis of HeLa cells labeling ATP citrate lyase with Rabbit anti-ATP citrate lyase antibody (ET1609-37) at 1/1,000 dilution.
Cells were fixed in 4% paraformaldehyde for 20 minutes at room temperature, permeabilized with 0.1% Triton X-100 in PBS for 5 minutes at room temperature, then blocked with 1% BSA in 10% negative goat serum for 1 hour at room temperature. Cells were then incubated with Rabbit anti-ATP citrate lyase antibody (ET1609-37) at 1/1,000 dilution in 1% BSA in PBST overnight at 4 ℃. Goat Anti-Rabbit IgG H&L (iFluor™ 488, HA1121) was used as the secondary antibody at 1/1,000 dilution. PBS instead of the primary antibody was used as the secondary antibody only control. Nuclear DNA was labelled in blue with DAPI.
Beta tubulin (M1305-2, red) was stained at 1/100 dilution overnight at +4℃. Goat Anti-Mouse IgG H&L (iFluor™ 594, HA1126) was used as the secondary antibody at 1/1,000 dilution.
Immunocytochemistry analysis of NIH/3T3 cells labeling ATP citrate lyase with Rabbit anti-ATP citrate lyase antibody (ET1609-37) at 1/1,000 dilution.
Cells were fixed in 4% paraformaldehyde for 20 minutes at room temperature, permeabilized with 0.1% Triton X-100 in PBS for 5 minutes at room temperature, then blocked with 1% BSA in 10% negative goat serum for 1 hour at room temperature. Cells were then incubated with Rabbit anti-ATP citrate lyase antibody (ET1609-37) at 1/1,000 dilution in 1% BSA in PBST overnight at 4 ℃. Goat Anti-Rabbit IgG H&L (iFluor™ 488, HA1121) was used as the secondary antibody at 1/1,000 dilution. PBS instead of the primary antibody was used as the secondary antibody only control. Nuclear DNA was labelled in blue with DAPI.
Beta tubulin (M1305-2, red) was stained at 1/100 dilution overnight at +4℃. Goat Anti-Mouse IgG H&L (iFluor™ 594, HA1126) was used as the secondary antibody at 1/1,000 dilution.
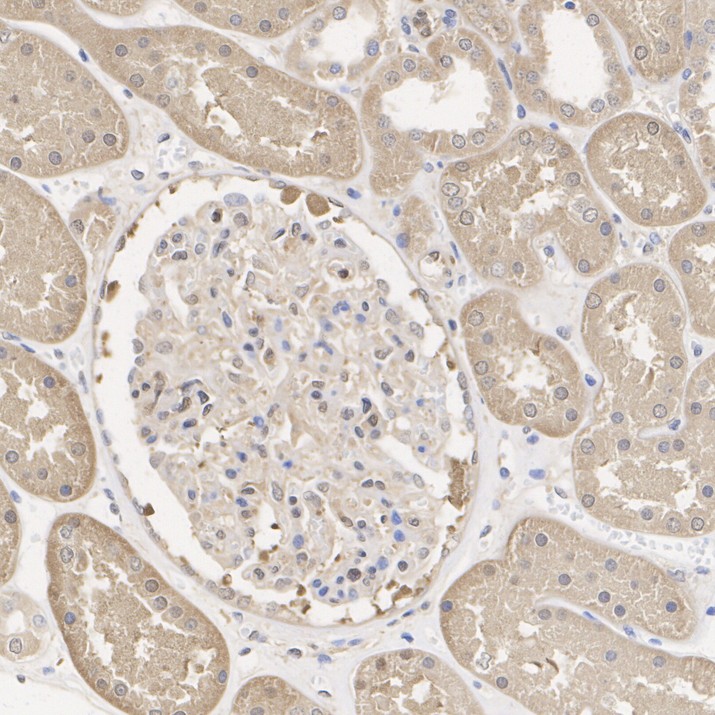
Immunohistochemical analysis of paraffin-embedded human kidney tissue with Rabbit anti-ATP citrate lyase antibody (ET1609-37) at 1/1,000 dilution.
The section was pre-treated using heat mediated antigen retrieval with Tris-EDTA buffer (pH 9.0) for 20 minutes. The tissues were blocked in 1% BSA for 20 minutes at room temperature, washed with ddH2O and PBS, and then probed with the primary antibody (ET1609-37) at 1/1,000 dilution for 1 hour at room temperature. The detection was performed using an HRP conjugated compact polymer system. DAB was used as the chromogen. Tissues were counterstained with hematoxylin and mounted with DPX.
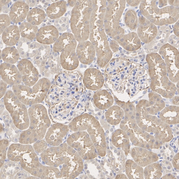
Immunohistochemical analysis of paraffin-embedded mouse kidney tissue with Rabbit anti-ATP citrate lyase antibody (ET1609-37) at 1/1,000 dilution.
The section was pre-treated using heat mediated antigen retrieval with Tris-EDTA buffer (pH 9.0) for 20 minutes. The tissues were blocked in 1% BSA for 20 minutes at room temperature, washed with ddH2O and PBS, and then probed with the primary antibody (ET1609-37) at 1/1,000 dilution for 1 hour at room temperature. The detection was performed using an HRP conjugated compact polymer system. DAB was used as the chromogen. Tissues were counterstained with hematoxylin and mounted with DPX.
Immunohistochemical analysis of paraffin-embedded rat kidney tissue with Rabbit anti-ATP citrate lyase antibody (ET1609-37) at 1/1,000 dilution.
The section was pre-treated using heat mediated antigen retrieval with Tris-EDTA buffer (pH 9.0) for 20 minutes. The tissues were blocked in 1% BSA for 20 minutes at room temperature, washed with ddH2O and PBS, and then probed with the primary antibody (ET1609-37) at 1/1,000 dilution for 1 hour at room temperature. The detection was performed using an HRP conjugated compact polymer system. DAB was used as the chromogen. Tissues were counterstained with hematoxylin and mounted with DPX.
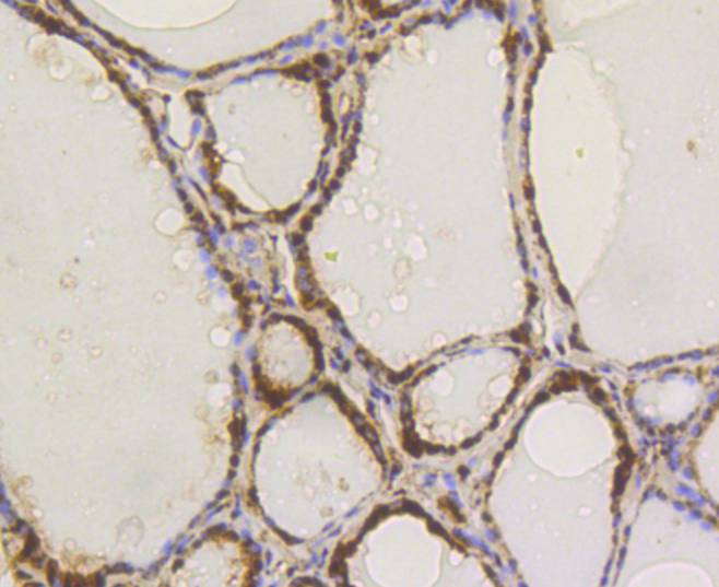
Immunohistochemical analysis of paraffin-embedded human thyroid tissue using anti-ATP citrate lyase antibody. The section was pre-treated using heat mediated antigen retrieval with Tris-EDTA buffer (pH 8.0-8.4) for 20 minutes.The tissues were blocked in 5% BSA for 30 minutes at room temperature, washed with ddH2O and PBS, and then probed with the primary antibody (ET1609-37, 1/50) for 30 minutes at room temperature. The detection was performed using an HRP conjugated compact polymer system. DAB was used as the chromogen. Tissues were counterstained with hematoxylin and mounted with DPX.
Flow cytometric analysis of HeLa cells labeling ATP citrate lyase.
Cells were fixed and permeabilized. Then stained with the primary antibody (ET1609-37, 1/1,000) (red) compared with Rabbit IgG Isotype Control (green). After incubation of the primary antibody at +4℃ for an hour, the cells were stained with a iFluor™ 488 conjugate-Goat anti-Rabbit IgG Secondary antibody (HA1121) at 1/1,000 dilution for 30 minutes at +4℃. Unlabelled sample was used as a control (cells without incubation with primary antibody; black).
Flow cytometric analysis of NIH/3T3 cells labeling ATP citrate lyase.
Cells were fixed and permeabilized. Then stained with the primary antibody (ET1609-37, 1/1,000) (red) compared with Rabbit IgG Isotype Control (green). After incubation of the primary antibody at +4℃ for an hour, the cells were stained with a iFluor™ 488 conjugate-Goat anti-Rabbit IgG Secondary antibody (HA1121) at 1/1,000 dilution for 30 minutes at +4℃. Unlabelled sample was used as a control (cells without incubation with primary antibody; black).
ATP citrate lyase was immunoprecipitated from 0.2 mg NIH/3T3 cell lysate with ET1609-37 at 2 µg/10 µl beads. Western blot was performed from the immunoprecipitate using ET1609-37 at 1/1,000 dilution. HRP Conjugated Anti-Rabbit IgG for IP Nano-secondary antibody at 1/5,000 dilution was used for 1 hour at room temperature.
Lane 1: NIH/3T3 cell lysate (input) Lane 2: ET1609-37 IP in NIH/3T3 cell lysate Lane 3: Rabbit IgG instead of ET1609-37 in NIH/3T3 cell lysate