概述
产品名称
beta Tubulin Recombinant Rabbit Monoclonal Antibody [SR25-04]
抗体类型
Recombinant Rabbit monoclonal Antibody
免疫原
Synthetic peptide within Human beta Tubulin aa 308-357 / 444.
种属反应性
Human, Mouse, Rat
验证应用
WB, IF-Cell, IHC-P, FC
分子量
Predicted band size: 50 kDa
阳性对照
HeLa cell lysate, 293T cell lysate, MCF7 cell lysate, SH-SY5Y cell lysate, U-2 OS cell lysate, Jurkat cell lysate, Neuro-2a cell lysate, NIH/3T3 cell lysate, PC-12 cell lysate, mouse brain tissue lysate, rat brain tissue lysate, A549, HeLa, NIH/3T3, PC-12, human fallopian tube tissue, human colon carcinoma tissue, rat kidney tissue, mouse large intestine tissue.
偶联
unconjugated
克隆号
SR25-04
RRID
产品特性
形态
Liquid
存放说明
Shipped at 4℃. Store at +4℃ short term (1-2 weeks). It is recommended to aliquot into single-use upon delivery. Store at -20℃ long term.
存储缓冲液
1*TBS (pH7.4), 0.05% BSA, 40% Glycerol. Preservative: 0.05% Sodium Azide.
亚型
IgG
纯化方式
Protein A affinity purified.
应用稀释度
-
WB
-
1:20,000-1:100,000
-
IF-Cell
-
1:200-1:1,000
-
IHC-P
-
1:400-1:1,000
-
FC
-
1:500-1:1,000
发表文章中的应用
| WB | 查看 51 篇文献如下 |
| IF-tissue | 查看 1 篇文献如下 |
| IF | 查看 1 篇文献如下 |
| IHC-P | 查看 1 篇文献如下 |
发表文章中的种属
| Human | 查看 26 篇文献如下 |
| Mouse | 查看 24 篇文献如下 |
| Rat | 查看 2 篇文献如下 |
| Pig | 查看 1 篇文献如下 |
| Spodoptera frugiperda | 查看 1 篇文献如下 |
| Fish | 查看 1 篇文献如下 |
| Zebrafish | 查看 1 篇文献如下 |
靶点
功能
Tubulin is one of several members of a small family of globular proteins. The most common members of the tubulin family are α-tubulin and β-tubulin. The beta-tubulin (relative molecular weight about 50 kDa) is counterpart of alpha-tubulin in tubulin heterodimer, it is coded by multiple tubulin genes and it is also posttranslationally modified. Heterogeneity of subunit is concentrated in C-terminal structural domain. Beta-Tubulin may have bound GTP or GDP. Under certain conditions β-tubulin can hydrolyze its bound GTP to GDP plus Pi, release the Pi, and exchange the GDP for GTP.
背景文献
1. "Tumoral and tissue-specific expression of the major human beta-tubulin isotypes."Leandro-Garcia L.J., Leskela S., Landa I., Montero-Conde C., Lopez-Jimenez E., Leton R., .Cytoskeleton 67:214-223(2010).
2. "Five mouse tubulin isotypes and their regulated expression during development."Lewis S.A., Lee M.G.-S., Cowan N.J.J. Cell Biol. 101:852-861(1985).
序列相似性
Belongs to the tubulin family.
组织特异性
Ubiquitously expressed with highest levels in spleen, thymus and immature brain.
翻译后修饰
Some glutamate residues at the C-terminus are polyglutamylated, resulting in polyglutamate chains on the gamma-carboxyl group. Polyglutamylation plays a key role in microtubule severing by spastin (SPAST). SPAST preferentially recognizes and acts on microtubules decorated with short polyglutamate tails: severing activity by SPAST increases as the number of glutamates per tubulin rises from one to eight, but decreases beyond this glutamylation threshold.; Some glutamate residues at the C-terminus are monoglycylated but not polyglycylated due to the absence of functional TTLL10 in human. Monoglycylation is mainly limited to tubulin incorporated into axonemes (cilia and flagella). Both polyglutamylation and monoglycylation can coexist on the same protein on adjacent residues, and lowering glycylation levels increases polyglutamylation, and reciprocally. The precise function of monoglycylation is still unclear (Probable).; Phosphorylated on Ser-172 by CDK1 during the cell cycle, from metaphase to telophase, but not in interphase. This phosphorylation inhibits tubulin incorporation into microtubules.
亚细胞定位
Cytoplasm
别名
Beta 4 tubulin antibody
Beta 5 tubulin antibody
BetaTubulin antibody
TBB5_HUMAN antibody
TUBB antibody
TUBB2 antibody
TUBB2A antibody
TUBB5 antibody
tubulin beta 2A antibody
Tubulin beta chain antibody
展开Beta 4 tubulin antibody
Beta 5 tubulin antibody
BetaTubulin antibody
TBB5_HUMAN antibody
TUBB antibody
TUBB2 antibody
TUBB2A antibody
TUBB5 antibody
tubulin beta 2A antibody
Tubulin beta chain antibody
Tubulin beta-5 chain antibody
折叠图片
-
Western blot analysis of beta Tubulin on different lysates with Rabbit anti-beta Tubulin antibody (ET1602-4) at 1/20,000 dilution.
Lane 1: HeLa cell lysate (15 µg/Lane)
Lane 2: 293T cell lysate (15 µg/Lane)
Lane 3: MCF7 cell lysate (15 µg/Lane)
Lane 4: SH-SY5Y cell lysate (15 µg/Lane)
Lane 5: U-2 OS cell lysate (15 µg/Lane)
Lane 6: Jurkat cell lysate (15 µg/Lane)
Lane 7: Neuro-2a cell lysate (15 µg/Lane)
Lane 8: NIH/3T3 cell lysate (15 µg/Lane)
Lane 9: PC-12 cell lysate (15 µg/Lane)
Lane 10: Mouse brain tissue lysate (20 µg/Lane)
Lane 11: Rat brain tissue lysate (20 µg/Lane)
Predicted band size: 50 kDa
Observed band size: 50 kDa
Exposure time: 1 minute 20 seconds; ECL: K1801;
4-20% SDS-PAGE gel.
Proteins were transferred to a PVDF membrane and blocked with 5% NFDM/TBST for 1 hour at room temperature. The primary antibody (ET1602-4) at 1/20,000 dilution was used in 5% NFDM/TBST at room temperature for 2 hours. Goat Anti-Rabbit IgG - HRP Secondary Antibody (HA1001) at 1:100,000 dilution was used for 1 hour at room temperature. -
Immunocytochemistry analysis of A549 cells labeling beta Tubulin with Rabbit anti-beta Tubulin antibody (ET1602-4) at 1/500 dilution.
Cells were fixed in 4% paraformaldehyde for 15 minutes at room temperature, permeabilized with 0.1% Triton X-100 in PBS for 15 minutes at room temperature, then blocked with 1% BSA in 10% negative goat serum for 1 hour at room temperature. Cells were then incubated with Rabbit anti-beta Tubulin antibody (ET1602-4) at 1/500 dilution in 1% BSA in PBST overnight at 4 ℃. Goat Anti-Rabbit IgG H&L (iFluor™ 488, HA1121) was used as the secondary antibody at 1/1,000 dilution. PBS instead of the primary antibody was used as the secondary antibody only control. Nuclear DNA was labelled in blue with DAPI.
Beta tubulin (HA601187, red) was stained at 1/100 dilution overnight at +4℃. Goat Anti-Mouse IgG H&L (iFluor™ 594, HA1126) was used as the secondary antibody at 1/1,000 dilution. -
Immunocytochemistry analysis of HeLa cells labeling beta Tubulin with Rabbit anti-beta Tubulin antibody (ET1602-4) at 1/500 dilution.
Cells were fixed in 4% paraformaldehyde for 15 minutes at room temperature, permeabilized with 0.1% Triton X-100 in PBS for 15 minutes at room temperature, then blocked with 1% BSA in 10% negative goat serum for 1 hour at room temperature. Cells were then incubated with Rabbit anti-beta Tubulin antibody (ET1602-4) at 1/500 dilution in 1% BSA in PBST overnight at 4 ℃. Goat Anti-Rabbit IgG H&L (iFluor™ 488, HA1121) was used as the secondary antibody at 1/1,000 dilution. PBS instead of the primary antibody was used as the secondary antibody only control. Nuclear DNA was labelled in blue with DAPI.
Beta tubulin (HA601187, red) was stained at 1/100 dilution overnight at +4℃. Goat Anti-Mouse IgG H&L (iFluor™ 594, HA1126) was used as the secondary antibody at 1/1,000 dilution. -
Immunocytochemistry analysis of NIH/3T3 cells labeling beta Tubulin with Rabbit anti-beta Tubulin antibody (ET1602-4) at 1/500 dilution.
Cells were fixed in 4% paraformaldehyde for 15 minutes at room temperature, permeabilized with 0.1% Triton X-100 in PBS for 15 minutes at room temperature, then blocked with 1% BSA in 10% negative goat serum for 1 hour at room temperature. Cells were then incubated with Rabbit anti-beta Tubulin antibody (ET1602-4) at 1/500 dilution in 1% BSA in PBST overnight at 4 ℃. Goat Anti-Rabbit IgG H&L (iFluor™ 488, HA1121) was used as the secondary antibody at 1/1,000 dilution. PBS instead of the primary antibody was used as the secondary antibody only control. Nuclear DNA was labelled in blue with DAPI.
Beta tubulin (HA601187, red) was stained at 1/100 dilution overnight at +4℃. Goat Anti-Mouse IgG H&L (iFluor™ 594, HA1126) was used as the secondary antibody at 1/1,000 dilution. -
Immunocytochemistry analysis of PC-12 cells labeling beta Tubulin with Rabbit anti-beta Tubulin antibody (ET1602-4) at 1/1,000 dilution.
Cells were fixed in 4% paraformaldehyde for 20 minutes at room temperature, permeabilized with 0.1% Triton X-100 in PBS for 5 minutes at room temperature, then blocked with 1% BSA in 10% negative goat serum for 1 hour at room temperature. Cells were then incubated with Rabbit anti-beta Tubulin antibody (ET1602-4) at 1/1,000 dilution in 1% BSA in PBST overnight at 4 ℃. Goat Anti-Rabbit IgG H&L (iFluor™ 594, HA1122) was used as the secondary antibody at 1/1,000 dilution. PBS instead of the primary antibody was used as the secondary antibody only control. Nuclear DNA was labelled in blue with DAPI. -
Immunohistochemical analysis of paraffin-embedded human colon carcinoma tissue with Rabbit anti-beta Tubulin antibody (ET1602-4) at 1/400 dilution.
The section was pre-treated using heat mediated antigen retrieval with Tris-EDTA buffer (pH 9.0) for 20 minutes. The tissues were blocked in 1% BSA for 20 minutes at room temperature, washed with ddH2O and PBS, and then probed with the primary antibody (ET1602-4) at 1/400 dilution for 1 hour at room temperature. The detection was performed using an HRP conjugated compact polymer system. DAB was used as the chromogen. Tissues were counterstained with hematoxylin and mounted with DPX. -
Immunohistochemical analysis of paraffin-embedded rat kidney tissue with Rabbit anti-beta Tubulin antibody (ET1602-4) at 1/400 dilution.
The section was pre-treated using heat mediated antigen retrieval with Tris-EDTA buffer (pH 9.0) for 20 minutes. The tissues were blocked in 1% BSA for 20 minutes at room temperature, washed with ddH2O and PBS, and then probed with the primary antibody (ET1602-4) at 1/400 dilution for 1 hour at room temperature. The detection was performed using an HRP conjugated compact polymer system. DAB was used as the chromogen. Tissues were counterstained with hematoxylin and mounted with DPX. -
Immunohistochemical analysis of paraffin-embedded mouse large intestine tissue with Rabbit anti-beta Tubulin antibody (ET1602-4) at 1/400 dilution.
The section was pre-treated using heat mediated antigen retrieval with Tris-EDTA buffer (pH 9.0) for 20 minutes. The tissues were blocked in 1% BSA for 20 minutes at room temperature, washed with ddH2O and PBS, and then probed with the primary antibody (ET1602-4) at 1/400 dilution for 1 hour at room temperature. The detection was performed using an HRP conjugated compact polymer system. DAB was used as the chromogen. Tissues were counterstained with hematoxylin and mounted with DPX. -
Flow cytometric analysis of NIH/3T3 cells labeling beta Tubulin.
Cells were fixed and permeabilized. Then stained with the primary antibody (ET1602-4, 1ug/ml) (red) compared with Rabbit IgG Isotype Control (green). After incubation of the primary antibody at +4℃ for an hour, the cells were stained with a iFluor™ 488 conjugate-Goat anti-Rabbit IgG Secondary antibody (HA1121) at 1/1,000 dilution for 30 minutes at +4℃. Unlabelled sample was used as a control (cells without incubation with primary antibody; black).
请注意: All products are "FOR RESEARCH USE ONLY AND ARE NOT INTENDED FOR DIAGNOSTIC OR THERAPEUTIC USE"
引文
-
Sphingosine-1-phosphate signalling activates E-Syt1 to facilitate HDL-derived cholesterol transport
Author: Xu Zizhen, Meng Ying, St-Germain Jonathan, Afshari Arezoo, Dixon Charneal L., Heybrock Saskia, Zhao Qiang, Weng Xialian, Chen Jishun, Collins Richard, Hu Hu, Zhou Quan, Sun Qiming, Xu Pinglong, Liu Wei, Saftig Paul, Raught Brian, Fairn Gregory D., Neculai Dante
PMID: 40437229
期刊: Nature Cell Biology
应用: WB
反应种属: Human
发表时间: 2025 May
-
Citation
-
Comprehensive systems biology analysis reveals splicing factor contributions to cutaneous melanoma progression
Author: Zhu Shuting, Zhu Rui, Wang Yanna, Zhu Junru, Zong Yifan, Zhu Liucun, Guo Wenna
PMID: 40108329
期刊: Scientific Reports
应用: WB
反应种属: Human
发表时间: 2025 Mar
-
Citation
-
Targeting NEDD8 in pediatric acute myeloid leukemia: an integrated bioinformatics and experimental approach
Author: Jian Sun, Cui Liu, Guangli Yang, Qian Li, Yang An, Yin Zhu, Pingping Zhang, Yaning Guan, Chang Peng, Zuochen Du, Pei Huang, Yan Chen
PMID: 40103351
期刊: Hematology
应用: WB
反应种属: Human
发表时间: 2025 Mar
-
Citation
-
lnc15qD3 expression in the NAc shell regulates the reconsolidation of opioid reward memories
Author: Xiaojie Li, Bing Xie, Yixiao Luo, Yun Lu, Minglong Zhang, Xiaoli Wang, Hailei Yu, Ludi Zhang, Bin Cong, Di Wen, Chunling Ma
PMID: 40602655
期刊: Progress In Neuro-Psychopharmacology & Biological Psychiatry
应用: WB
反应种属: Mouse
发表时间: 2025 Jun
-
Citation
-
NSUN3-Mediated ROS Accumulation Promotes Hepatocellular Carcinoma Proliferation and Activates PI3K/AKT Pathway
Author: Liu Haodong, Liang Shijie, Peng Chunting, Yang Jiawei, Yang Zheng, Mo Wuning
PMID: 40549115
期刊: Biochemical Genetics
应用: WB
反应种属: Human
发表时间: 2025 Jun
-
Citation
-
Recombinant human collagen microneedle patch loaded with PRP for diabetic wound treatment
Author: Xinyue Wang, Xinyue Zhang, Yihan Zhao, Xue Zhan, Chen Hu, Haihang Li, Xiaoju Fan, Jie Liang, Yafang Chen, Yujiang Fan
PMID: 40665848
期刊: Journal Of Materials Chemistry B
应用: WB
反应种属: Rat,Mouse
发表时间: 2025 Jul
-
Citation
-
ATF7IP/SETDB1-mediated epigenetic programming regulates thymic homing and T lymphopoiesis of hematopoietic progenitors during embryogenesis
Author: Chen Wenqi, Wu Jiaxin, She Peilu, Li Juan, Lan Yuying, Hu Xueli, Huangfu Yangguo, Wu Chen, Jin Daqing, Xie Peng, Zhuang Guanglei, Wu Yuxuan, Zhang Yiyue, Zon Leonard I., Zhu Ping, Zhong Tao P.
PMID: 40670340
期刊: Nature Communications
应用: WB
反应种属: Zebrafish
发表时间: 2025 Jul
-
Citation
-
TIA1-mediated stress granules promote neurodegeneration by sequestering HSP70 mRNA in C9orf72 mice
Author: Wei Yan, Li Dongmei, Yang Rui, Liu Yanzhu, Luo Xuan, Zhao Weiqiao, Yang Hui, Chen Zhichao, Shen Chengyong, Wang Ying, Huang Zhihui
PMID: 40622676
期刊: Brain
应用: WB
反应种属: Mouse
发表时间: 2025 Jul
-
Citation
-
Astrocytic YAP prevents the glutamate neurotoxicity by upregulation of EAAT2 expression and promotes the gain of stemness in astrocytes in ischemic stroke mice
Author: Luo Xuan, Zhu Zhoule, Zheng Tianwen, Li Dongmei, Wei Yan, Yang Hui, Yu Hong, Han Jiaqi, Wang Ying, Wang Lipei, Huang Zhihui
PMID: 40739083
期刊: Cell Death & Disease
应用: WB
反应种属: Mouse
发表时间: 2025 Jul
-
Citation
-
ACNO hydrogel enhances diabetic wound healing by modulating the Bcl-2/Bax/Caspase-3/PARP pathway
Author: Penghui Ye, Xingqian Wu, Rifang Gu, Huan Zhu, Jitao Chen, Yuhe Dai, Qianbo Zhang, Ming Tang, Xuqiang Nie
PMID: 39787763
期刊: International Immunopharmacology
应用: WB
反应种属: Mouse,Human
发表时间: 2025 Jan
-
Citation
-
ANKRD22 participates in the proinflammatory activities of macrophages in the colon cancer tumor microenvironment
Author: Wang Xiaoying, Yang Keqing, Yang Bin, Wang Rui, Zhu Yongliang, Pan Tianhui
PMID: 39891675
期刊: Cancer Immunology Immunotherapy
应用: WB
反应种属: Mouse
发表时间: 2025 Feb
-
Citation
-
Adropin-Driven Browning: Targeting M2 Macrophages to Combat PCOS
Author: Shuyu Zhang, Jinhong Li, Xiaoting Lv, Guobin Pan, Qicai Liu, Lin Zheng, Liangpu Xu
PMID: 39933360
期刊: International Immunopharmacology
应用: WB
反应种属: Mouse
发表时间: 2025 Feb
-
Citation
-
ERRγ Promotes Multiple Myeloma Survival by Coordinating NF-κB Signaling and Mitochondrial Apoptosis Regulation
Author: Xiaobing Zhou, Ying Li, Zizi Jing, Wei Yu, Jianbin Chen
PMID: 40918468
期刊: Oncology Research
应用: WB
反应种属: Human
发表时间: 2025 Aug
-
Citation
-
HDAC6/Trim21 aggravates macrophage inflammatory response and titanium-induced osteolysis via GSDMD signaling pathway
Author: Chen Junxi, Liu Taihe, Luo Jiankai, Chen Zhipeng, Yu Yifan, Sun Haopeng, Tan Muyun, Sun Yujun, Li Shixun, Li Changchuan, Ding Yue
PMID: 40751445
期刊: Journal Of Immunology
应用: WB
反应种属: Mouse
发表时间: 2025 Aug
-
Citation
-
Taurochenodeoxycholic acid suppresses the progression of glioblastoma via HMGCS1/HMGCR/GPX4 signaling pathway in vitro and in vivo
Author: Xue Xiumin, He Ziwan, Liu Furui, Wang Qian, Chen Zhichao, Lin Lin, Chen Danni, Yuan Yinfeng, Huang Zhihui, Wang Yongjie
PMID: 40264142
期刊: Cancer Cell International
应用: WB
反应种属: Mouse
发表时间: 2025 Apr
-
Citation
-
Evaluated NSUN3 in reticulocytes from HbH-CS disease that reflects cellular stress in erythroblasts
Author: Liu Haodong, Peng Chunting, Su Qisheng, Liang Shijie, Qiu Yuling, Mo Wuning, Yang Zheng
PMID: 40240513
期刊: Annals of Hematology
应用: WB
反应种属: Human
发表时间: 2025 Apr
-
Citation
-
Aerobic exercise prevents and improves cognitive dysfunction caused by morphine withdrawal via regulating endogenous opioid peptides in the brain
Author: Shanghua Dai,et al
PMID: 39417859
期刊: Psychopharmacology
应用: WB
反应种属: Mouse
发表时间: 2024 Oct
-
Citation
-
Structure-Activity Relationship Study of New Carbazole Sulfonamide Derivatives as Anticancer Agents with Dual-target Mechanism
Author: Yonghua Liu, Junyi Zhang, Jiaqi Tian, Chengxi Wang, Tianqi Wang, Jianhua Gong, Laixing Hu
PMID: 38781920
期刊: European Journal Of Medicinal Chemistry
应用: WB
反应种属: Human
发表时间: 2024 May
-
Citation
-
Discovery of LC-MI-3: A Potent and Orally Bioavailable Degrader of Interleukin-1 Receptor-Associated Kinase 4 for the Treatment of Inflammatory Diseases
Author: Chen Lingfeng,et al
PMID: 38722184
期刊: Journal Of Medicinal Chemistry
应用: WB
反应种属: Mouse
发表时间: 2024 May
-
Citation
-
Bone-derived PDGF-BB enhances hippocampal non-specific transcytosis through microglia-endothelial crosstalk in HFD-induced metabolic syndrome
Author: Liu Guanqiao,et al
PMID: 38685040
期刊: Journal Of Neuroinflammation
应用: WB
反应种属: Human,Mouse
发表时间: 2024 May
-
Citation
-
Oncogenic functions and therapeutic potentials of targeted inhibition of SMARCAL1 in small cell lung cancer
Author: Sun Beibei,et al
PMID: 38697461
期刊: Cancer Letters
应用: WB
反应种属: Human
发表时间: 2024 May
-
Citation
-
GCN2-eIF2α signaling pathway negatively regulates the growth of triploid crucian carp
Author: Xuejing Wang, Fangyuan Peng, Shuli Yuan, Zhen Huang, Lingwei Tang, Song Chen, Jinhui Liu, Wen Fu, Liangyue Peng, Wenbin Liu, Yamei Xiao
PMID: 38518898
期刊: Genomics
应用: WB
反应种属: Fish
发表时间: 2024 Mar
-
Citation
-
IKIP downregulates THBS1/FAK signaling to suppress migration and invasion by glioblastoma cells
Author: Zhu Zhaoying,et al
PMID: 38948026
期刊: Oncology Research
应用: WB
反应种属: Human
发表时间: 2024 Jul
-
Citation
-
NUAK1 activates STAT5/GLI1/SOX2 signaling to enhance cancer cell expansion and drives chemoresistance in gastric cancer
Author: Longlong Cao, Guangtan Lin, Denghui Fan, Kai Weng, Yujing Chen, Jiabin Wang, Ping Li, Chaohui Zheng, Changming Huang, Jianwei Xie
PMID: 38996065
期刊: Cell Reports
应用: WB
反应种属: Mouse
发表时间: 2024 Jul
-
Citation
-
Apigenin improves testosterone synthesis by regulating endoplasmic reticulum stress
Author: Liling Wu, Jiayuan Qu, Li Mou, Changjiang Liu
PMID: 38964181
期刊: Biomedicine & Pharmacotherapy
应用: WB
反应种属: Mouse
发表时间: 2024 Jul
-
Citation
-
Tryptanthrin promotes pressure ulcers healing in mice by inhibiting macrophage-mediated inflammation via cGAS/STING pathways
Author: He Yaozhi,et al
PMID: 38382260
期刊: International Immunopharmacology
应用: WB
反应种属: Mouse
发表时间: 2024 Feb
-
Citation
-
Tenacissoside H repressed the progression of glioblastoma by inhibiting the PI3K/Akt/mTOR signaling pathway
Author: Dong Jianhong,et al
PMID: 38331340
期刊: European Journal Of Pharmacology
应用: WB
反应种属: Mouse
发表时间: 2024 Feb
-
Citation
-
Fatty Acid Oxidation‐Glycolysis Metabolic Transition Affects ECM Homeostasis in Silica‐Induced Pulmonary Fibrosis
Author: Wenqing Sun,et al
PMID: 39721015
期刊: Advanced Science
应用: WB
反应种属: Mouse
发表时间: 2024 Dec
-
Citation
-
Pyroptosis-related gene GSDMC indicates poor prognosis and promotes tumor progression by activating the AKT/mTOR pathway in lung squamous cell carcinoma
Author: Yi Zhang, Yuzhi Wang, Jiamiao Weng, Jianlin Chen, Yue Zheng, Yu Xia, Zhixin Huang, Lilan Zhao, Xiongfeng Chen, Haijun Tang, Yi Huang
PMID: 39136610
期刊: Molecular Carcinogenesis
应用: WB
反应种属: Mouse
发表时间: 2024 Aug
-
Citation
-
Sophocarpine inhibits the progression of glioblastoma via PTEN/PI3K/Akt signaling pathway
Author: Shuqiao Xing, Zhenrong Xiong, Mengmeng Wang, Yifan Li, Jiali Shi, Yiming Qian, Jia Lei, Jiamei Jia, Weiquan Zeng, Zhihui Huang, Yuanyuan Jiang
PMID: 39267674
期刊: American Journal Of Cancer Research
应用: WB
反应种属: Human
发表时间: 2024 Aug
-
Citation
-
Gallic Acid Can Promote Low-Density Lipoprotein Uptake in HepG2 Cells via Increasing Low-Density Lipoprotein Receptor Accumulation
Author: Dongying Zhang, Qixing Zhou, Xiangxuan Yang, Zhen Zhang, Dongxue Wang, Dandan Hu, Yewei Huang, Jun Sheng, Xuanjun Wang
PMID: 38731489
期刊: Molecules
应用: WB
反应种属: Human
发表时间: 2024 Apr
-
Citation
-
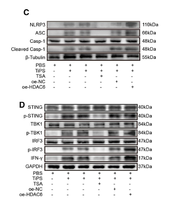
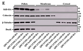
Salmonella Enteritidis T1SS protein SiiD inhibits NLRP3 inflammasome activation via repressing the mtROS-ASC dependent pathway
Author:
PMID: 37155697
期刊: PLoS Pathogens
应用: WB
反应种属: Mouse
发表时间: 2023 May
-
Citation
-
Sirt3 improves monosodium urate crystal-induced inflammation by suppressing Acod1 expression
Author: Linxi Lv , Hui Jiang , Dianze Song ,et al
PMID: 37468929
期刊: Arthritis Research & Therapy
应用: WB
反应种属: Mouse
发表时间: 2023 Jul
-
Citation
-
Boosting ferroptosis and microtubule inhibition for antitumor therapy via a carrier-free supermolecule nanoreactor
Author:
PMID: 36816538
期刊: Journal Of Pharmaceutical Analysis
应用: IF-tissue
反应种属: Mouse
发表时间: 2023 Jan
-
Citation
-
Rab31 promotes metastasis and cisplatin resistance in stomach adenocarcinoma through Twist1-mediated EMT
Author: Chen, K., Xu, J., Tong, Y. L., Yan, J. F., Pan, Y., Wang, W. J., Zheng, L., Zheng, X. X., Hu, C., Hu, X., Shen, X., & Chen, W.
PMID: 36781842
期刊: Cell Death & Disease
应用: WB
反应种属: Human
发表时间: 2023 Feb
-
Citation
-
Daurisoline suppresses esophageal squamous cell carcinoma growth in vitro and in vivo by targeting MEK1/2 kinase
Author:
PMID: 36645220
期刊: Molecular Carcinogenesis
应用:
反应种属:
发表时间: 2023 Apr
-
Citation
-
Dynamin-Related Protein 1 Is Involved in Mitochondrial Damage, Defective Mitophagy, and NLRP3 Inflammasome Activation Induced by MSU Crystals
Author: Jiang, H., Chen, F., Song, D., Zhou, X., Ren, L., & Zeng, M.
PMID: 36338340
期刊: Oxidative Medicine And Cellular Longevity
应用: WB
反应种属: Mouse
发表时间: 2022 Oct
-
Citation
-
Toward a Treatment of Cancer: Design and In Vitro/In Vivo Evaluation of Uncharged Pyrazoline Derivatives as a Series of Novel SHP2 Inhibitors
Author: Dai, J., Zhang, Y., Gao, Y., Bai, X., Liu, F., Li, S., Yu, Y., Hu, W., Shi, T., Shi, D., & Li, X.
PMID: 35408869
期刊: International Journal Of Molecular Sciences
应用: WB
反应种属: Human
发表时间: 2022 Mar
-
Citation
-
Porcine Circovirus Type 2 Hijacks Host IPO5 to Sustain the Intracytoplasmic Stability of Its Capsid Protein
Author: Lin, C., Hu, J., Dai, Y., Zhang, H., Xu, K., Dong, W., Yan, Y., Peng, X., Zhou, J., & Gu, J.
PMID: 36409110
期刊: Journal Of Virology
应用: WB
反应种属: Pig
发表时间: 2022 Dec
-
Citation
-
Nestin Is Required for Spindle Assembly and Cell-Cycle Progression in Glioblastoma Cells
Author:
PMID: 34158391
期刊: Molecular Cancer Research
应用: WB,IHC-P
反应种属: Human
发表时间: 2021 Oct
-
Citation
-
Marine Bromophenol Bis(2,3,6-Tribromo-4,5-Dihydroxybenzyl)ether Inhibits Angiogenesis in Human Umbilical Vein Endothelial Cells and Reduces Vasculogenic Mimicry in Human Lung Cancer A549 Cells
Author:
PMID: 34822512
期刊: Marine Drugs
应用: WB
反应种属: Human
发表时间: 2021 Nov
-
Citation
-
CDK9 Inhibitor Induces the Apoptosis of B-Cell Acute Lymphocytic Leukemia by Inhibiting c-Myc-Mediated Glycolytic Metabolism
Author: Huang Wen-Li, Abudureheman Tuersunayi, Xia Jing, Chu Lei, Zhou Hang, Zheng Wei-Wei, Zhou Neng, Shi Rong-Yi, Li Ming-Hao, Zhu Jian-Min, Qing Kai, Ji Chao, Liang Kai-Wei, Guo Sa, Yin Gang, Duan Cai-Wen
PMID: 33748130
期刊: Frontiers In Cell And Developmental Biology
应用: WB
反应种属: Human
发表时间: 2021 Mar
-
Citation
-
PNSA, a Novel C-Terminal Inhibitor of HSP90, Reverses Epithelial–Mesenchymal Transition and Suppresses Metastasis of Breast Cancer Cells In Vitro
Author:
PMID: 33672529
期刊: Marine Drugs
应用: WB
反应种属: Human
发表时间: 2021 Feb
-
Citation
-
CDK7 Inhibitor THZ1 Induces the Cell Apoptosis of B-Cell Acute Lymphocytic Leukemia by Perturbing Cellular Metabolism
Author: Abudureheman Tuersunayi, Xia Jing, Li Ming-Hao, Zhou Hang, Zheng Wei-Wei, Zhou Neng, Shi Rong-Yi, Zhu Jian-Min, Yang Li-Ting, Chen Li, Zheng Liang, Xue Kai, Qing Kai, Duan Cai-Wen
PMID: 33889549
期刊: Frontiers In Oncology
应用: WB
反应种属: Human
发表时间: 2021 Apr
-
Citation
-
Iron Oxide Nanoparticles as Autophagy Intervention Agents Suppress Hepatoma Growth by Enhancing Tumoricidal Autophagy
Author:
PMID: 32832347
期刊: Advanced Science
应用: WB
反应种属: Human
发表时间: 2020 Jun
-
Citation
-
SUV39H1 is a New Client Protein of Hsp90 Degradated by Chaetocin as a Novel C-Terminal Inhibitor of Hsp90
Author:
PMID: 33162400
期刊: Biomolecules & Therapeutics
应用: WB
反应种属: Human
发表时间: 2020 Jan
-
Citation
-
ANKRD22, a novel tumor microenvironment-induced mitochondrial protein promotes metabolic reprogramming of colorectal cancer cells
Author:
PMID: 31903135
期刊: Theranostics
应用: WB
反应种属: Human
发表时间: 2020 Jan
-
Citation
-
Discovery of novel 2-aryl-3-sulfonamido-pyridines (HoAns) as microtubule polymerization inhibitors with potent antitumor activities
Author: Heping Zhu, Shilong Ying, Bingluo Zhou, Xiao Liang, Quan He, Ping Song, Xinyang Hu, Keqiang Shi, Mingteng Xiong, Hongchuan Jin, Yuanjiang Pan
PMID: 33360794
期刊: European Journal Of Medicinal Chemistry
应用: WB,IF
反应种属: Human
发表时间: 2020 Dec
-
Citation
-
Antidepressant activity of crocin-I is associated with amelioration of neuroinflammation and attenuates oxidative damage induced by corticosterone in mice.
Author:
PMID: 31614158
期刊: Physiology & Behavior
应用: WB
反应种属: Mouse
发表时间: 2019 Dec
-
Citation
-
Structural basis for the interaction of diapause hormone with its receptor in the silkworm, Bombyx mori
Author:
PMID: 29101222
期刊: FASEB Journal
应用: WB
反应种属: Spodoptera frugiperda
发表时间: 2018 Mar
-
Citation
-
Chronic N-acetylcysteine treatment alleviates acute lipopolysaccharide-induced working memory deficit through upregulating caveolin-1 and synaptophysin in mice
Author: Shen Xianzhi, Sun Yanyun, Wang Mengwei, Shu Hui, Zhu Li-Juan, Yan Pei-Yun, Zhang Jun-Fang, Jin Xinchun
PMID: 29058042
期刊: Psychopharmacology
应用: WB
反应种属: Mouse
发表时间: 2017 Oct
-
Citation
-
The profiles of gamma-H2AX along with ATM/DNA-PKcs activation in the lymphocytes and granulocytes of rat and human blood exposed to gamma rays
Author: Wang Jing, Yin Lina, Zhang Junxiang, Zhang Yaping, Zhang Xuxia, Ding Defang, Gao Yun, Li Qiang, Chen Honghong
PMID: 27260225
期刊: Radiation And Environmental Biophysics
应用: WB
反应种属: Human,Rat
发表时间: 2016 Jun
-
Citation
-
MicroRNA-223 Enhances Radiation Sensitivity of U87MG Cells In Vitro and In Vivo by Targeting Ataxia Telangiectasia Mutated
Author: Zhang Z
PMID: 24606854
期刊: International Journal Of Radiation Oncology, Biology, And Physics
应用: WB
反应种属: Human
发表时间: 2014 Mar
-
Citation
同靶点 & 同通路的产品
beta Tubulin Mouse Monoclonal Antibody [A1-A4]
Application: WB,IF-Cell,IHC-P,FC
Reactivity: Human,Mouse,Rat
Conjugate: unconjugated
beta Tubulin Recombinant Mouse Monoclonal Antibody [1-B11-R]
Application: WB,IF-Cell,IHC-P
Reactivity: Human,Mouse,Rat
Conjugate: unconjugated
beta Tubulin Mouse Monoclonal Antibody [1-B11]
Application: WB,IF-Cell,IHC-P,FC,IF-Tissue
Reactivity: Human,Mouse,Rat,Zebrafish
Conjugate: unconjugated
beta Tubulin Recombinant Mouse Monoclonal Antibody [A1-A4-R] - BSA and Azide free
Application: WB,IF-Cell,FC,IHC-P
Reactivity: Human,Mouse,Rat,Monkey
Conjugate: unconjugated
HRP Conjugated beta Tubulin Mouse Monoclonal Antibody [1-B11]
Application: WB,IHC-P
Reactivity: Human,Mouse,Rat,Zebrafish
Conjugate: HRP
beta Tubulin Recombinant Rabbit Monoclonal Antibody [SR25-04] - BSA and Azide free
Application: WB,IF-Cell,IHC-P,FC
Reactivity: Human,Mouse,Rat
Conjugate: unconjugated
iFluor™ 594 Conjugated beta Tubulin Recombinant Mouse Monoclonal Antibody [A1-A4-R]
Application: IF-Cell,IF-Tissue,FC
Reactivity: Human,Mouse
Conjugate: iFluor™ 594
beta Tubulin Recombinant Mouse Monoclonal Antibody [1-B11-R] - BSA and Azide free
Application: WB,IF-Cell,IHC-P
Reactivity: Human,Mouse,Rat
Conjugate: unconjugated
HRP Conjugated beta Tubulin Recombinant Rabbit Monoclonal Antibody [JF41-50]
Application: WB
Reactivity: Human,Mouse,Rat
Conjugate: HRP
beta Tubulin Recombinant Mouse Monoclonal Antibody [A1-A4-R]
Application: WB,IF-Cell,FC,IHC-P
Reactivity: Human,Mouse,Rat,Monkey
Conjugate: unconjugated

