Catalog# HA721729
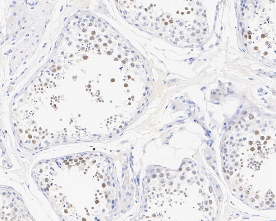
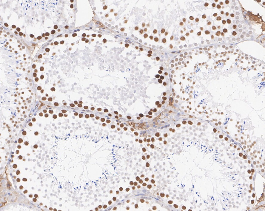
KDM3A / JHDM2A Recombinant Rabbit Monoclonal Antibody [PSH01-77]
Application
-
WB
-
IHC-P
Reactivity
-
Human
-
Mouse
BSA and Azide free
-
HA750751
不含抗保成分
Conjugation
-
unconjugated


浙公网安备 33019202000643号