PI3 Kinase Antibody Sampler Kit
概述
Kit Components
| Product Includes | Specification | Application | Reactivity | Mw |
|---|---|---|---|---|
| Phospho-PI3K p85 (Y467) + PI3K p55 (Y199)[HA721672] | 20µl | WB,IF-Cell | Human,Mouse | Predicted band size: 84 kDa/55 kDa |
| PI 3 Kinase p85 alpha[ET1608-70] | 20µl | WB,IF-Cell,IF-Tissue,IHC-P,FC | Human,Mouse,Rat | Predicted band size: 84 kDa |
| PI3 Kinase p110α[ET1606-36] | 20µl | WB,IF-Cell,IF-Tissue,IP,IHC-P | Human,Mouse | Predicted band size: 124 kDa |
| PI3 Kinase p110 beta[HA722474] | 20µl | WB,IHC-P,IF-Tissue | Human,Mouse,Rat | Predicted band size: 110 kDa |
| VPS34[HA723229] | 20µl | WB | Human,Mouse,Rat | Predicted band size: 102 kDa |
| PI 3-Kinase p110γ[ER65965] | 20µl | WB,IHC,IF,ELISA | Human,Mouse | 120 kDa |
| Goat Anti-Rabbit IgG (H+L)[HA1001] | 100µl | WB,ELISA,IHC-P | Rabbit |
Product Description
The PI3 Kinase Sampler Kit provides an economical means of studying PI3 kinase subunits in cells. The kit contains enough primary and secondary antibodies to perform two Western blot experiments per primary antibody.
Product Features
Storage Buffer
1*TBS (pH7.4), 0.05% BSA, 40% Glycerol. Preservative: 0.05% Sodium Azide.
Storage Instructions
Store at +4℃ after thawing. Aliquot store at -20℃. Avoid repeated freeze / thaw cycles.
Background
Phosphoinositide 3-kinase (PI3K) catalyzes the production of phosphatidylinositol-3,4,5-triphosphate by phosphorylating phosphatidylinositol (PI), phosphatidylinositol-4-phosphate (PIP), and phosphatidylinositol-4,5-bisphosphate (PIP2). Growth factors and hormones trigger this phosphorylation event, which in turn coordinates cell growth, cell cycle entry, cell migration, and cell survival. PTEN reverses this process, and research studies have shown that the PI3K signaling pathway is constitutively activated in human cancers that have loss of function of PTEN . <BR>PI3Ks are composed of a catalytic subunit (p110) and a regulatory subunit. Various isoforms of the catalytic subunit (p110α, p110β, p110γ, and p110δ) have been isolated, and the regulatory subunits that associate with p110α, p110β, and p110δ are p85α and p85β. In contrast, p110γ associates with a p101 regulatory subunit that is unrelated to p85. Furthermore, p110γ is activated by βγ subunits of heterotrimeric G proteins.
Data Links
Background References
1. Cantley LC. The phosphoinositide 3-kinase pathway. Science. 2002 May 31;296(5573):1655-7.
2. Neri LM, Borgatti P, Capitani S, Martelli AM. The nuclear phosphoinositide 3-kinase/AKT pathway: a new second messenger system. Biochim Biophys Acta. 2002 Oct 10;1584(2-3):73-80.
图片
-
Western blot analysis of Phospho-PI3K p85 (Y467) + PI3K p55 (Y199) on different lysates with Rabbit anti-Phospho-PI3K p85 (Y467) + PI3K p55 (Y199) antibody (HA721672) at 1/1,000 dilution.
Lane 1: NIH/3T3 cell lysate
Lane 2: NIH/3T3 treated with 1mM sodium orthovanadate for 30 minutes cell lysate
Lysates/proteins at 30 µg/Lane.
Predicted band size: 84 kDa
Observed band size: 55/85 kDa
Exposure time: 3 minutes 10 seconds; ECL: K1801;
4-20% SDS-PAGE gel.
Proteins were transferred to a PVDF membrane and blocked with 5% NFDM/TBST for 1 hour at room temperature. The primary antibody (HA721672) at 1/1,000 dilution was used in 5% NFDM/TBST at room temperature for 2 hours. Goat Anti-Rabbit IgG - HRP Secondary Antibody (HA1001) at 1/100,000 dilution was used for 1 hour at room temperature. -
Immunocytochemistry analysis of NIH/3T3 cells treated with or without 1mM Sodium orthovanadate for 30 minutes labeling Phospho-PI3K p85 (Y467) + PI3K p55 (Y199) with Rabbit anti-Phospho-PI3K p85 (Y467) + PI3K p55 (Y199) antibody (HA721672) at 1/100 dilution.
Cells were fixed in 4% paraformaldehyde for 20 minutes at room temperature, permeabilized with 0.1% Triton X-100 in PBS for 5 minutes at room temperature, then blocked with 1% BSA in 10% negative goat serum for 1 hour at room temperature. Cells were then incubated with Rabbit anti-Phospho-PI3K p85 (Y467) + PI3K p55 (Y199) antibody (HA721672) at 1/100 dilution in 1% BSA in PBST overnight at 4 ℃. Goat Anti-Rabbit IgG H&L (iFluor™ 488, HA1121) was used as the secondary antibody at 1/1,000 dilution. PBS instead of the primary antibody was used as the secondary antibody only control. Nuclear DNA was labelled in blue with DAPI.
Beta tubulin (M1305-2, red) was stained at 1/100 dilution overnight at +4℃. Goat Anti-Mouse IgG H&L (iFluor™ 594, HA1126) was used as the secondary antibody at 1/1,000 dilution. -
Western blot analysis of Phospho-PI3K p85 (Y467) + PI3K p55 (Y199) on different lysates with Rabbit anti-Phospho-PI3K p85 (Y467) + PI3K p55 (Y199) antibody (HA721672) at 1/1,000 dilution.
Lane 1: 293T overexpress Src cell lysate
Lane 2: 293T overexpress Src treated with 1mM sodium orthovanadate for 30 minutes cell lysate
Lane 3: 293T overexpress Src cell lysate, the membrane treated with λpp for 1 hour
Lane 4: 293T overexpress Src treated with 1mM sodium orthovanadate for 30 minutes cell lysate, then the membrane treated with λpp for 1 hour
Lysates/proteins at 20 µg/Lane.
Predicted band size: 84 kDa
Observed band size: 55 kDa
Exposure time: 28 seconds; ECL: K1801;
4-20% SDS-PAGE gel.
Proteins were transferred to a PVDF membrane and blocked with 5% NFDM/TBST for 1 hour at room temperature. The primary antibody (HA721672) at 1/1,000 dilution was used in 5% NFDM/TBST at room temperature for 2 hours. Goat Anti-Rabbit IgG - HRP Secondary Antibody (HA1001) at 1/100,000 dilution was used for 1 hour at room temperature. -
Immunohistochemical analysis of paraffin-embedded human brain tissue with Rabbit anti-PI 3 Kinase p85 alpha antibody (ET1608-70) at 1/200 dilution.
The section was pre-treated using heat mediated antigen retrieval with Tris-EDTA buffer (pH 9.0) for 20 minutes. The tissues were blocked in 1% BSA for 20 minutes at room temperature, washed with ddH2O and PBS, and then probed with the primary antibody (ET1608-70) at 1/200 dilution for 1 hour at room temperature. The detection was performed using an HRP conjugated compact polymer system. DAB was used as the chromogen. Tissues were counterstained with hematoxylin and mounted with DPX. -
Immunohistochemical analysis of paraffin-embedded human brain tissue with Rabbit anti-PI3 Kinase p110α antibody (ET1606-36) at 1/50 dilution.
The section was pre-treated using heat mediated antigen retrieval with Tris-EDTA buffer (pH 9.0) for 20 minutes. The tissues were blocked in 1% BSA for 20 minutes at room temperature, washed with ddH2O and PBS, and then probed with the primary antibody (ET1606-36) at 1/50 dilution for 1 hour at room temperature. The detection was performed using an HRP conjugated compact polymer system. DAB was used as the chromogen. Tissues were counterstained with hematoxylin and mounted with DPX. -
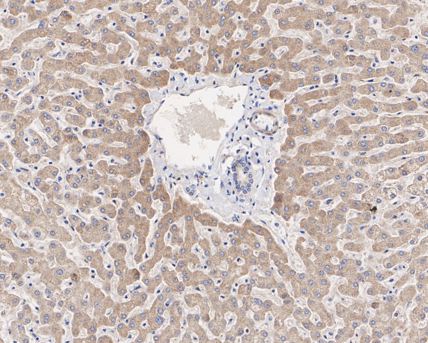
Immunohistochemical analysis of paraffin-embedded human liver tissue with Rabbit anti-PI3 Kinase p110α antibody (ET1606-36) at 1/50 dilution.
The section was pre-treated using heat mediated antigen retrieval with Tris-EDTA buffer (pH 9.0) for 20 minutes. The tissues were blocked in 1% BSA for 20 minutes at room temperature, washed with ddH2O and PBS, and then probed with the primary antibody (ET1606-36) at 1/50 dilution for 1 hour at room temperature. The detection was performed using an HRP conjugated compact polymer system. DAB was used as the chromogen. Tissues were counterstained with hematoxylin and mounted with DPX. -
Immunofluorescence analysis of paraffin-embedded rat colon tissue labeling PI3 Kinase p110 beta with Rabbit anti-PI3 Kinase p110 beta antibody (HA722474) at 1/50 dilution.
The section was pre-treated using heat mediated antigen retrieval with sodium citrate buffer (pH 6.0) (high pressure) for 2 minutes. The tissues were blocked in 10% negative goat serum for 1 hour at room temperature, washed with PBS, and then probed with the primary antibody (HA722474, green) at 1/50 dilution overnight at 4 ℃, washed with PBS. Goat Anti-Rabbit IgG H&L (iFluor™ 488, HA1121) was used as the secondary antibody at 1/1,000 dilution. Nuclei were counterstained with DAPI (blue). -
Western blot analysis of VPS34 on different lysates with Rabbit anti-VPS34 antibody (HA723229) at 1/5,000 dilution.
Lane 1: HeLa cell lysate (20 µg/Lane)
Lane 2: PC-3 cell lysate (20 µg/Lane)
Lane 3: C2C12 cell lysate (20 µg/Lane)
Lane 4: C6 cell lysate (20 µg/Lane)
Lane 5: Mouse heart tissue lysate (40 µg/Lane)
Lane 6: Mouse brain tissue lysate (40 µg/Lane)
Lane 7: Rat heart tissue lysate (40 µg/Lane)
Predicted band size: 102 kDa
Observed band size: 98 kDa
Exposure time: 15 seconds; ECL: K1801;
4-20% SDS-PAGE gel.
Proteins were transferred to a PVDF membrane and blocked with 5% NFDM/TBST for 1 hour at room temperature. The primary antibody (HA723229) at 1/5,000 dilution was used in 5% NFDM/TBST at 4℃ overnight. Goat Anti-Rabbit IgG - HRP Secondary Antibody (HA1001) at 1/50,000 dilution was used for 1 hour at room temperature. -
Western blot analysis of PI 3 Kinase p85 alpha on different lysates with Rabbit anti-PI 3 Kinase p85 alpha antibody (ET1608-70) at 1/1,000 dilution.
Lane 1: Raji cell lysate
Lane 2: NIH/3T3 cell lysate
Lane 3: C6 cell lysate
Lane 4: Mouse brain tissue lysate
Lysates/proteins at 20(cell lysate),40(tissue lysate) µg/Lane.
Predicted band size: 85 kDa
Observed band size: 85 kDa
Exposure time: 2 minutes;
4-20% SDS-PAGE gel.
Proteins were transferred to a PVDF membrane and blocked with 5% NFDM/TBST for 1 hour at room temperature. The primary antibody (ET1608-70) at 1/1,000 dilution was used in 5% NFDM/TBST at 4℃ overnight. Goat Anti-Rabbit IgG - HRP Secondary Antibody (HA1001) at 1/50,000 dilution was used for 1 hour at room temperature. -
Western blot analysis of PI3 Kinase p110α on different lysates with Rabbit anti-PI3 Kinase p110α antibody (ET1606-36) at 1/1,000 dilution.
Lane 1: HepG2 cell lysate
Lane 2: Hela cell lysate
Lane 3: Jurkat cell lysate
Lane 4: NIH/3T3 cell lysate
Lane 5: mouse brain tissue lysate(20 µg/Lane)
Lane 6: mouse liver tissue lysate(20 µg/Lane)
Lysates/proteins at 10 µg/Lane.
Predicted band size: 124 kDa
Observed band size: 110 kDa
Exposure time: 3 minutes;
4-20% SDS-PAGE gel.
Proteins were transferred to a PVDF membrane and blocked with 5% NFDM/TBST for 1 hour at room temperature. The primary antibody (ET1606-36) at 1/1,000 dilution was used in 5% NFDM/TBST at 4℃ overnight. Goat Anti-Rabbit IgG - HRP Secondary Antibody (HA1001) at 1/50,000 dilution was used for 1 hour at room temperature.
请注意: All products are "FOR RESEARCH USE ONLY AND ARE NOT INTENDED FOR DIAGNOSTIC OR THERAPEUTIC USE"
Related Products
PI 3 Kinase p85 alpha/gamma Rabbit Polyclonal Antibody
Application: WB,IHC-P,IF-Tissue
Reactivity: Human,Mouse,Rat,Monkey
Conjugate: unconjugated
PI 3 Kinase p85 alpha Mouse Monoclonal Antibody [L3-D6]
Application: WB,IHC-P,IF-Cell,IF-Tissue
Reactivity: Human,Mouse,Rat
Conjugate: unconjugated
PI 3 Kinase p85 alpha Recombinant Mouse Monoclonal Antibody [A3-D0-R]
Application: WB,IF-Cell
Reactivity: Human
Conjugate: unconjugated
PI 3 Kinase p85 alpha Recombinant Rabbit Monoclonal Antibody [SU04-07] - BSA and Azide free
Application: WB,IF-Cell,IF-Tissue,IHC-P,FC
Reactivity: Human,Mouse,Rat
Conjugate: unconjugated
PI 3 Kinase p85 alpha Recombinant Rabbit Monoclonal Antibody [SU04-07]
Application: WB,IF-Cell,IF-Tissue,IHC-P,FC
Reactivity: Human,Mouse,Rat
Conjugate: unconjugated
PI 3 Kinase p85 alpha Recombinant Rabbit Monoclonal Antibody [JE04-11]
Application: WB
Reactivity: Human,Mouse,Rat
Conjugate: unconjugated
浙公网安备 33019202000643号