Skip to content

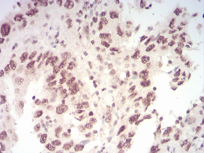
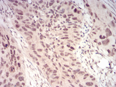
WTAP Mouse Monoclonal Antibody [B6-B6]

RMB: 1500

产品规格

Catalog# EM1706-68

WTAP Mouse Monoclonal Antibody [B6-B6]

Application
  • WB

  • IF-Cell

  • IHC-P

  • FC

Reactivity
  • Human

  • Monkey

Conjugation
  • unconjugated

Close (esc)

Popup

Use this popup to embed a mailing list sign up form. Alternatively use it as a simple call to action with a link to a product or a page.

Age verification

By clicking enter you are verifying that you are old enough to consume alcohol.

搜索