Catalog# HA721228
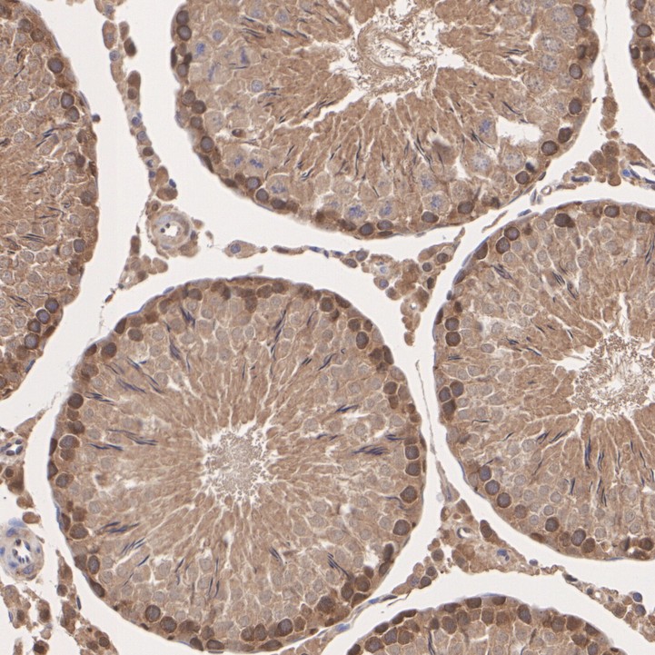
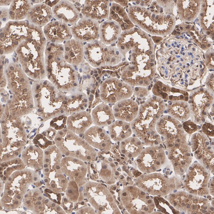
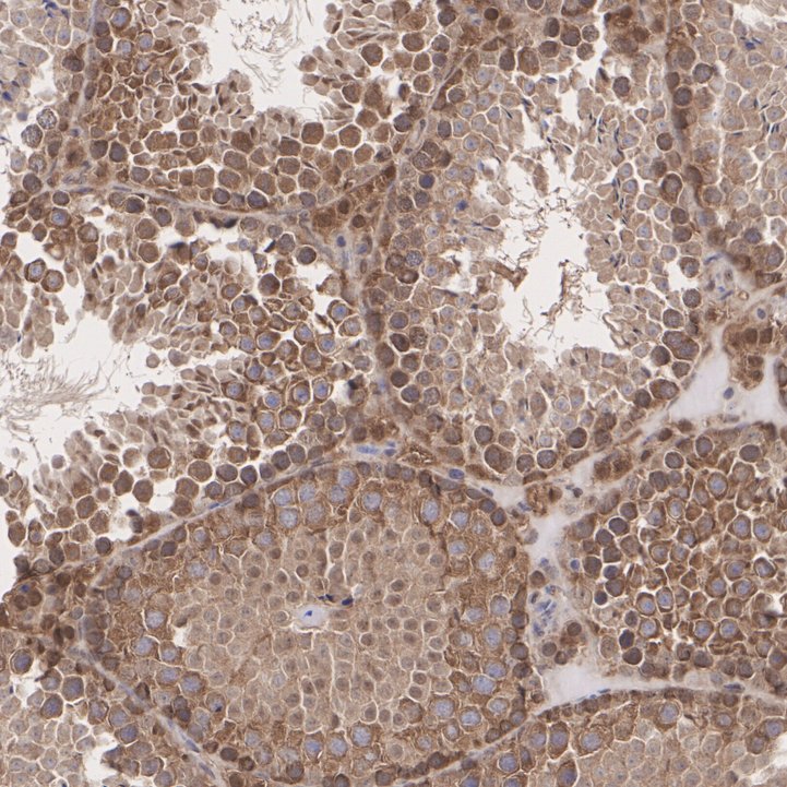
Ube1L Recombinant Rabbit Monoclonal Antibody [JE50-55]
Application
-
WB
-
IHC-P
Reactivity
-
Human
-
Mouse
-
Rat
This product has been cited in peer reviewed publications, see list HERE

