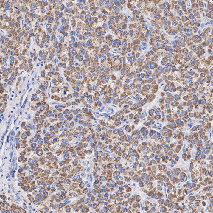
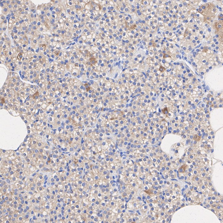
Catalog# HA500625
TMEM106C Rabbit Polyclonal Antibody
Application
-
IHC-P
Reactivity
-
Human
Conjugation
-
unconjugated


浙公网安备 33019202000643号