Catalog# HA500518
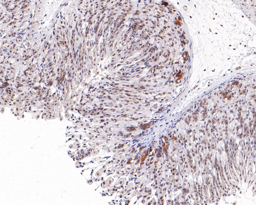
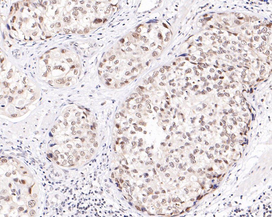
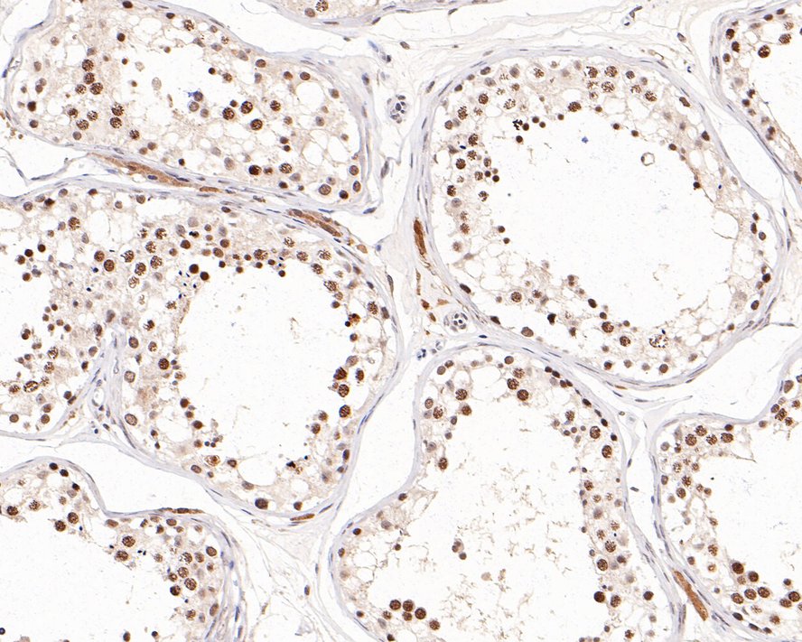
TATA binding protein TBP Rabbit Polyclonal Antibody
Application
-
WB
-
IHC-P
Reactivity
-
Human
-
Mouse
-
Rat
Conjugation
-
unconjugated
This product has been cited in peer reviewed publications, see list HERE

浙公网安备 33019202000643号