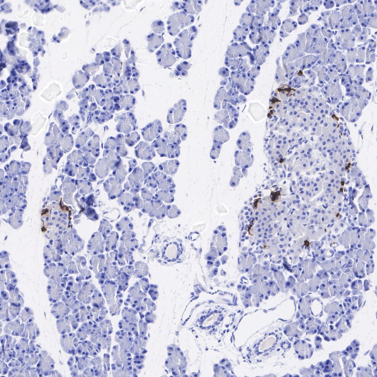
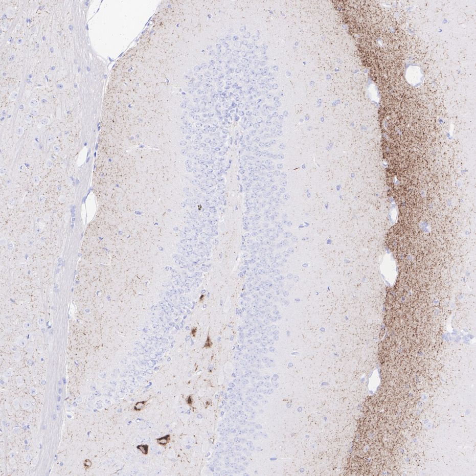
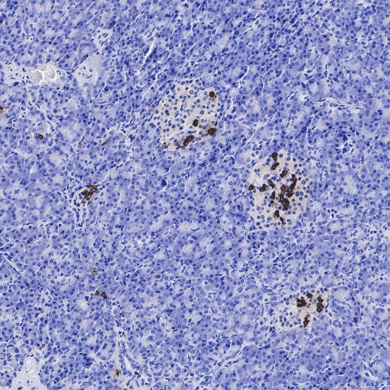
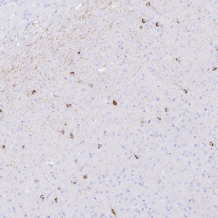
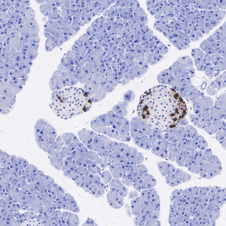
SST/Somatostatin 28 Recombinant Rabbit Monoclonal Antibody [JE43-52] - BSA and Azide free
Catalog# HA750648
SST/Somatostatin 28 Recombinant Rabbit Monoclonal Antibody [JE43-52] - BSA and Azide free
Application
-
IHC-P
-
IHC-Fr
-
IF-Tissue
Reactivity
-
Human
-
Mouse
-
Rat
With BSA and Azide
-
HA721460
含抗保成分
Predicted reactivity
预测的种属支持售后
-
Cynomolgus monkey
-
Pig
Conjugation
-
unconjugated
浙公网安备 33019202000643号